Mouse anti-Human NF kappaB P50 Monoclonal Antibody | anti-NFkappaB antibody
NF kappaB P50 Mouse mAb (5D2)
Gene Names
NFKB1; p50; KBF1; p105; EBP-1; NF-kB1; NFKB-p50; NFkappaB; NF-kappaB; NFKB-p105; NF-kappa-B
Reactivity
Human
Applications
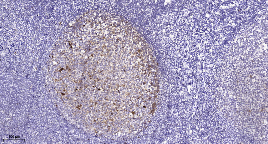
Western Blot, Immunohistochemistry
Purity
The antibody was affinity-purified from mouse ascites by affinity-chromatography using specific immunogen.
Synonyms
NF kappaB P50, Antibody; NF kappaB P50 Mouse mAb (5D2); NF kappaB P50; Nuclear factor NF-kappa-B p105 subunit (DNA-binding factor KBF1)(EBP-1)(Nuclear factor of kappa light polypeptide gene enhancer in B-cells 1)[Cleaved into: Nuclear factor NF-kappa-B p50 subunit]; anti-NFkappaB antibody
Host
Mouse
Reactivity
Human
Clonality
Monoclonal
Clone Number
5D2
Specificity
This antibody detects endogenous levels of NF kappaB P50 at Human
Purity/Purification
The antibody was affinity-purified from mouse ascites by affinity-chromatography using specific immunogen.
Form/Format
Liquid in PBS containing 50% glycerol, 0.5% BSA and 0.02% sodium azide.
Concentration
1mg/ml (varies by lot)
Applicable Applications for anti-NFkappaB antibody
WB (Western Blot), IHC (Immunohistochemistry)
Immunogen
Synthesized peptide derived from human NF ?B P50
Modification
Unmodified/Total
Preparation and Storage
Store at -20 degree C/1 year
Related Product Information for anti-NFkappaB antibody
nuclear factor kappa B subunit 1(NFKB1) Homo sapiens This gene encodes a 105 kD protein which can undergo cotranslational processing by the 26S proteasome to produce a 50 kD protein. The 105 kD protein is a Rel protein-specific transcription inhibitor and the 50 kD protein is a DNA binding subunit of the NF-kappa-B (NFKB) protein complex. NFKB is a transcription regulator that is activated by various intra- and extra-cellular stimuli such as cytokines, oxidant-free radicals,ultraviolet irradiation, and bacterial or viral products. Activated NFKB translocates into the nucleus and stimulates the expression of genes involved in a wide variety of biological functions. Inappropriate activation of NFKB has been associated with a number of inflammatory diseases while persistent inhibition of NFKB leads to inappropriate immune cell development or delayed cell growth. Alternative splicing results in multiple transcript variants encoding different isof
Product Categories/Family for anti-NFkappaB antibody
NCBI and Uniprot Product Information
NCBI GI #
NCBI GeneID
NCBI Accession #
NCBI GenBank Nucleotide #
Molecular Weight
105,356 Da
NCBI Official Full Name
nuclear factor NF-kappa-B p105 subunit isoform 2
NCBI Official Synonym Full Names
nuclear factor of kappa light polypeptide gene enhancer in B-cells 1
NCBI Official Symbol
NFKB1
NCBI Official Synonym Symbols
p50; KBF1; p105; EBP-1; NF-kB1; NFKB-p50; NFkappaB; NF-kappaB; NFKB-p105; NF-kappa-B
NCBI Protein Information
nuclear factor NF-kappa-B p105 subunit; NF-kappabeta; DNA binding factor KBF1; DNA-binding factor KBF1; nuclear factor NF-kappa-B p50 subunit; nuclear factor kappa-B DNA binding subunit
UniProt Protein Name
Nuclear factor NF-kappa-B p105 subunit
UniProt Gene Name
NFKB1
UniProt Entry Name
NFKB1_HUMAN
Customer Reviews
Loading reviews...
Share Your Experience
Similar Products
Product Notes
The NFkappaB nfkb1 (Catalog #AAA320477) is an Antibody produced from Mouse and is intended for research purposes only. The product is available for immediate purchase. The NF kappaB P50 Mouse mAb (5D2) reacts with Human and may cross-react with other species as described in the data sheet. AAA Biotech's NF kappaB P50 can be used in a range of immunoassay formats including, but not limited to, WB (Western Blot), IHC (Immunohistochemistry). Researchers should empirically determine the suitability of the NFkappaB nfkb1 for an application not listed in the data sheet. Researchers commonly develop new applications and it is an integral, important part of the investigative research process. It is sometimes possible for the material contained within the vial of "NF kappaB P50, Monoclonal Antibody" to become dispersed throughout the inside of the vial, particularly around the seal of said vial, during shipment and storage. We always suggest centrifuging these vials to consolidate all of the liquid away from the lid and to the bottom of the vial prior to opening. Please be advised that certain products may require dry ice for shipping and that, if this is the case, an additional dry ice fee may also be required.Precautions
All products in the AAA Biotech catalog are strictly for research-use only, and are absolutely not suitable for use in any sort of medical, therapeutic, prophylactic, in-vivo, or diagnostic capacity. By purchasing a product from AAA Biotech, you are explicitly certifying that said products will be properly tested and used in line with industry standard. AAA Biotech and its authorized distribution partners reserve the right to refuse to fulfill any order if we have any indication that a purchaser may be intending to use a product outside of our accepted criteria.Disclaimer
Though we do strive to guarantee the information represented in this datasheet, AAA Biotech cannot be held responsible for any oversights or imprecisions. AAA Biotech reserves the right to adjust any aspect of this datasheet at any time and without notice. It is the responsibility of the customer to inform AAA Biotech of any product performance issues observed or experienced within 30 days of receipt of said product. To see additional details on this or any of our other policies, please see our Terms & Conditions page.Item has been added to Shopping Cart
If you are ready to order, navigate to Shopping Cart and get ready to checkout.
