Mouse Nitrotyrosine Monoclonal Antibody
Nitrotyrosine Antibody: ATTO 488
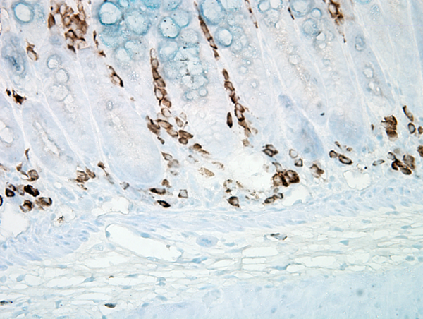
IHC (Immunohistochemistry)
(Immunohistochemistry analysis using Mouse Anti-Nitrotyrosine Monoclonal Antibody, Clone 39B6. Tissue: colon carcinoma. Species: Human. Fixation: Formalin. Primary Antibody: Mouse Anti-Nitrotyrosine Monoclonal Antibody at 1:25000 for 12 hours at 4 degree C. Secondary Antibody: Biotin Goat Anti-Mouse at 1:2000 for 1 hour at RT. Counterstain: Mayer Hematoxylin (purple/blue) nuclear stain at 200 ul for 2 minutes at RT. Magnification: 40x.)
IHC (Immunohistochemistry)
(Immunohistochemistry analysis using Mouse Anti-Nitrotyrosine Monoclonal Antibody, Clone 39B6. Tissue: backskin. Species: Mouse. Fixation: Bouin's Fixative and paraffin-embedded. Primary Antibody: Mouse Anti-Nitrotyrosine Monoclonal Antibody at 1:100 for 1 hour at RT. Secondary Antibody: FITC Goat Anti-Mouse (green) at 1:50 for 1 hour at RT. Backskin obtained from transgenic mice.)
IHC (Immunohistochemisry)
(Immunohistochemistry analysis using Mouse Anti-Nitrotyrosine Monoclonal Antibody, Clone 39B6. Tissue: liver tissue . Species: Rat. Primary Antibody: Mouse Anti-Nitrotyrosine Monoclonal Antibody at 1:1000. Secondary Antibody: FITC Goat Anti-Mouse (green).)
IHC (Immunohiostchemistry)
(Immunohistochemistry analysis using Mouse Anti-Nitrotyrosine Monoclonal Antibody, Clone 39B6. Tissue: inflamed colon. Species: Mouse. Fixation: Formalin. Primary Antibody: Mouse Anti-Nitrotyrosine Monoclonal Antibody at 1:1000000 for 12 hours at 4 degree C. Secondary Antibody: Biotin Goat Anti-Mouse at 1:2000 for 1 hour at RT. Counterstain: Mayer Hematoxylin (purple/blue) nuclear stain at 200 ul for 2 minutes at RT. Magnification: 40x. With anti-microbial.)
IHC (Immunohistochemistry)
(Immunohistochemistry analysis using Mouse Anti-Nitrotyrosine Monoclonal Antibody, Clone 39B6. Tissue: Retinal Injury Model. Species: Mouse. Primary Antibody: Mouse Anti-Nitrotyrosine Monoclonal Antibody at 1:1000. Secondary Antibody: Alexa Fluor 594 Goat Anti-Mouse (red). Courtesy of: Dr. Rajashekhar Gangaraju, University of Indiana, Department of Ophthalmology, Eugene and Marilyn Glick Eye Institute.)
Scientific Background: Protein tyrosine nitration results in a post-translational modification that is increasingly receiving attention as an important component of nitric oxide signaling (2). While multiple nonenzymatic mechanisms are known to be capable of producing nitrated tyrosine residues, most tyrosine nitration events involve catalysis by metalloproteins such as myeloperoxidase, eosino-philperoxidase (3), myoglobin, the cytochrome P-450s, superoxide dismutase and prostacyclin synthase. Nitrotyrosine may also serve as a biomarker for the effects of reactive nitrogen oxides, based on tyrosine residues becoming nitrated in proteins at sites of inflammation induced tissue injury (1). The presence of nitro tyrosine-containing proteins therefore has shown high correlation to disease states such as atherosclerosis, Alzheimer's disease, Parkinson's disease and amyotrophic lateral sclerosis (4).
1. Kim. H. et al. (2010). SIRT3 Is a Mitochondria-Localized Tumor Suppressor Required for Maintenance of Mitochondrial Integrity and Metabolism during Stress. Cancer Cell. 17 (1), 41-52. doi:10.1016/j.ccr.2009.11.023
2. Grutzmacher, C. et al. (2012). Aberrant production of extracellular matrix proteins and dysfunction in kidney endothelial cells with a short duration of diabetes. AJP Renal Physiol. 304 (1), F19-F30. doi: 10.‹1152/‹ajprenal.‹00036.‹2012
3. Nakayama, T., et al. (2014). Improved survival rate by temperature control at compression sites in rat model of crush syndrome. Journal of Surgical Research. doi: 10.1016/j.jss.2013.12.012
4. Chao, T.H., Chang, M.Y., Su S.J., Su, S.H. (2014). Inducible nitric oxide synthase mediates MG132 lethality in leukemic cells through mitochondrial depolarization. Free Radic Biol Med. doi: 10.1016/j.freeradbiomed.2014.05.023
Customer Reviews
Loading reviews...
Share Your Experience
Similar Products
Product Notes
The Nitrotyrosine (Catalog #AAA102918) is an Antibody produced from Mouse and is intended for research purposes only. The product is available for immediate purchase. The Nitrotyrosine Antibody: ATTO 488 reacts with Human, Mouse, Rat, Dog and may cross-react with other species as described in the data sheet. AAA Biotech's Nitrotyrosine can be used in a range of immunoassay formats including, but not limited to, IF (Immunofluorescence), IP (Immunoprecipitation), IHC (Immunohistochemistry), ELISA, WB (Western Blot). Researchers should empirically determine the suitability of the Nitrotyrosine for an application not listed in the data sheet. Researchers commonly develop new applications and it is an integral, important part of the investigative research process. It is sometimes possible for the material contained within the vial of "Nitrotyrosine, Monoclonal Antibody" to become dispersed throughout the inside of the vial, particularly around the seal of said vial, during shipment and storage. We always suggest centrifuging these vials to consolidate all of the liquid away from the lid and to the bottom of the vial prior to opening. Please be advised that certain products may require dry ice for shipping and that, if this is the case, an additional dry ice fee may also be required.Precautions
All products in the AAA Biotech catalog are strictly for research-use only, and are absolutely not suitable for use in any sort of medical, therapeutic, prophylactic, in-vivo, or diagnostic capacity. By purchasing a product from AAA Biotech, you are explicitly certifying that said products will be properly tested and used in line with industry standard. AAA Biotech and its authorized distribution partners reserve the right to refuse to fulfill any order if we have any indication that a purchaser may be intending to use a product outside of our accepted criteria.Disclaimer
Though we do strive to guarantee the information represented in this datasheet, AAA Biotech cannot be held responsible for any oversights or imprecisions. AAA Biotech reserves the right to adjust any aspect of this datasheet at any time and without notice. It is the responsibility of the customer to inform AAA Biotech of any product performance issues observed or experienced within 30 days of receipt of said product. To see additional details on this or any of our other policies, please see our Terms & Conditions page.Item has been added to Shopping Cart
If you are ready to order, navigate to Shopping Cart and get ready to checkout.
