Rabbit p21WAF1 Monoclonal Antibody | anti-p21WAF1 antibody
p21WAF1 (Tumor Suppressor Protein)
Gene Names
CDKN1A; P21; CIP1; SDI1; WAF1; CAP20; CDKN1; MDA-6; p21CIP1
Reactivity
Human.Does not react with Mouse and Rat. Others not known.
Applications
Immunohistochemistry
Synonyms
p21WAF1, Antibody; p21WAF1 (Tumor Suppressor Protein); Activating Fragment 1; CAP20; CDK-interacting protein 1; CDKI; CDKN1; CDKN1A; CIP1; Cyclin-dependent kinase inhibitor 1A (p21; Cip1); DNA Synthesis Inhibitor; MDA6; Melanoma Differentiation Associated Protein 6; p21Cip1/Waf1; PIC1; SDI1; SLC12A9; Wild type p53 activated fragment 1 (WAF1); anti-p21WAF1 antibody
Host
Rabbit
Reactivity
Human.
Does not react with Mouse and Rat. Others not known.
Does not react with Mouse and Rat. Others not known.
Clonality
Monoclonal
Isotype
IgG
Clone Number
CIP1/2275R
Specificity
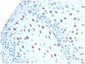
This MAb recognizes a 21kDa protein, identified as the p21WAF1 tumor suppressor protein. This MAb is highly specific to p21 and shows no cross-reaction with other closely related mitotic inhibitors. p21WAF1 is a specific inhibitor of cdks and a tumor suppressor involved in the pathogenesis of a variety of malignancies. The expression of this gene acts as an inhibitor of the cell cycle during G1 phase and is tightly controlled by the tumor suppressor protein p53. Its expression is induced by the wild type, but not mutant, p53 suppressor protein. Normal cells generally display a rather intense nuclear p21 expression. Loss of p21 expression has been reported in many carcinomas (gastric carcinoma, non-small cell lung carcinoma, thyroid carcinoma).
Form/Format
200ug/ml of Ab purified from Bioreactor Concentrate by Protein A/G. Prepared in 10mM PBS with0.05% BSA & 0.05% azide. Also available WITHOUT BSA & azide at 1.0mg/ml.
Sequence Length
164
Applicable Applications for anti-p21WAF1 antibody
IHC (Immunohistochemistry)
Immunogen
Recombinant full-length human CDKN1A protein
Cellular Localization
Nuclear
Hu-chromosome Location
6p21.31
Positive Control
HeLa Cells. Skin, colon, or breast carcinoma.
Preparation and Storage
Antibody with azide - store at 2 to 8 degree C.
Antibody without azide - store at -20 to -80 degree C.
Antibody is stable for 24 months. Non-hazardous. No MSDS required.
Antibody without azide - store at -20 to -80 degree C.
Antibody is stable for 24 months. Non-hazardous. No MSDS required.
References
Harper, J.W., et al. 1993. The p21 Cdk-interacting protein Cip1 is a potent inhibitor of G1 cyclin-dependent kinases. Cell 75: 805-816.
NCBI and Uniprot Product Information
NCBI GI #
NCBI GeneID
NCBI Accession #
NCBI GenBank Nucleotide #
Molecular Weight
21kDa
NCBI Official Full Name
cyclin-dependent kinase inhibitor 1 isoform 1
NCBI Official Synonym Full Names
cyclin dependent kinase inhibitor 1A
NCBI Official Symbol
CDKN1A
NCBI Official Synonym Symbols
P21; CIP1; SDI1; WAF1; CAP20; CDKN1; MDA-6; p21CIP1
NCBI Protein Information
cyclin-dependent kinase inhibitor 1
UniProt Protein Name
Cyclin-dependent kinase inhibitor 1
UniProt Gene Name
CDKN1A
UniProt Synonym Gene Names
CAP20; CDKN1; CIP1; MDA6; PIC1; SDI1; WAF1; MDA-6
Customer Reviews
Loading reviews...
Share Your Experience
Similar Products
Product Notes
The p21WAF1 cdkn1a (Catalog #AAA62908) is an Antibody produced from Rabbit and is intended for research purposes only. The product is available for immediate purchase. The p21WAF1 (Tumor Suppressor Protein) reacts with Human. Does not react with Mouse and Rat. Others not known. and may cross-react with other species as described in the data sheet. AAA Biotech's p21WAF1 can be used in a range of immunoassay formats including, but not limited to, IHC (Immunohistochemistry). Researchers should empirically determine the suitability of the p21WAF1 cdkn1a for an application not listed in the data sheet. Researchers commonly develop new applications and it is an integral, important part of the investigative research process. It is sometimes possible for the material contained within the vial of "p21WAF1, Monoclonal Antibody" to become dispersed throughout the inside of the vial, particularly around the seal of said vial, during shipment and storage. We always suggest centrifuging these vials to consolidate all of the liquid away from the lid and to the bottom of the vial prior to opening. Please be advised that certain products may require dry ice for shipping and that, if this is the case, an additional dry ice fee may also be required.Precautions
All products in the AAA Biotech catalog are strictly for research-use only, and are absolutely not suitable for use in any sort of medical, therapeutic, prophylactic, in-vivo, or diagnostic capacity. By purchasing a product from AAA Biotech, you are explicitly certifying that said products will be properly tested and used in line with industry standard. AAA Biotech and its authorized distribution partners reserve the right to refuse to fulfill any order if we have any indication that a purchaser may be intending to use a product outside of our accepted criteria.Disclaimer
Though we do strive to guarantee the information represented in this datasheet, AAA Biotech cannot be held responsible for any oversights or imprecisions. AAA Biotech reserves the right to adjust any aspect of this datasheet at any time and without notice. It is the responsibility of the customer to inform AAA Biotech of any product performance issues observed or experienced within 30 days of receipt of said product. To see additional details on this or any of our other policies, please see our Terms & Conditions page.Item has been added to Shopping Cart
If you are ready to order, navigate to Shopping Cart and get ready to checkout.
