p27 KIP 1 Recombinant Antibody | p27KIP1 recombinant antibody
p27 KIP 1 Rabbit mAb
Gene Names
CDKN1B; KIP1; MEN4; CDKN4; MEN1B; P27KIP1
Reactivity
Human, Rat
Applications
Flow Cytometry, Functional Assay, Immunoprecipitation, Immunofluorescence, Immunocytochemistry, Immunohistochemistry, Western Blot
Purity
Affinity-chromatography
Synonyms
p27 KIP 1, Recombinant Antibody; p27 KIP 1 Rabbit mAb; CDKN1B; CDN1B; Cyclin-dependent kinase inhibitor 1B; Cyclin-dependent kinase inhibitor p27 KIP1; CDKN4; MEN4; p27KIP1 recombinant antibody
Host
Rabbit
Reactivity
Human, Rat
Clonality
Monoclonal
Isotype
Rabbit IgG
Specificity
p27 KIP 1 Antibody detects endogenous levels of total p27 KIP 1
Purity/Purification
Affinity-chromatography
Form/Format
Rabbit IgG in phosphate buffered saline, pH7.4, 150mM NaCl, 0.02% sodium azide and 50% glycerol.
Applicable Applications for p27KIP1 recombinant antibody
FCM/FACS (Flow Cytometry), IP (Immunoprecipitation), IF (Immunofluorescence), ICC (Immunocytochemistry), IHC (Immunohistochemistry), WB (Western Blot)
Immunogen
A synthesized peptide derived from human p27 KIP 1
Preparation and Storage
Store at +4 degree C short term. Store at -20 degree C long term. Avoid freeze/thaw cycle.
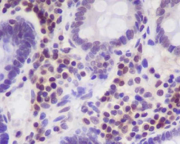
IHC (Immunohiostchemistry)
(Immunohistochemical analysis of paraffin-embedded human colon, using p27 KIP 1 Antibody.)
Related Product Information for p27KIP1 recombinant antibody
The encoded protein binds to and prevents the activation of cyclin E-CDK2 or cyclin D-CDK4 complexes, and thus controls the cell cycle progression at G1. The degradation of this protein, which is triggered by its CDK dependent phosphorylation and subsequent ubiquitination by SCF complexes, is required for the cellular transition from quiescence to the proliferative state.
Product Categories/Family for p27KIP1 recombinant antibody
NCBI and Uniprot Product Information
NCBI GI #
NCBI GeneID
NCBI Accession #
NCBI GenBank Nucleotide #
Molecular Weight
22,073 Da
NCBI Official Full Name
cyclin-dependent kinase inhibitor 1B
NCBI Official Synonym Full Names
cyclin-dependent kinase inhibitor 1B (p27, Kip1)
NCBI Official Symbol
CDKN1B
NCBI Official Synonym Symbols
KIP1; MEN4; CDKN4; MEN1B; P27KIP1
NCBI Protein Information
cyclin-dependent kinase inhibitor 1B
UniProt Protein Name
Cyclin-dependent kinase inhibitor 1B
UniProt Gene Name
CDKN1B
UniProt Synonym Gene Names
KIP1
UniProt Entry Name
CDN1B_HUMAN
Customer Reviews
Loading reviews...
Share Your Experience
Similar Products
Product Notes
The p27KIP1 cdkn1b (Catalog #AAA315156) is a Recombinant Antibody produced from Rabbit and is intended for research purposes only. The product is available for immediate purchase. The p27 KIP 1 Rabbit mAb reacts with Human, Rat and may cross-react with other species as described in the data sheet. AAA Biotech's p27 KIP 1 can be used in a range of immunoassay formats including, but not limited to, FCM/FACS (Flow Cytometry), IP (Immunoprecipitation), IF (Immunofluorescence), ICC (Immunocytochemistry), IHC (Immunohistochemistry), WB (Western Blot). Researchers should empirically determine the suitability of the p27KIP1 cdkn1b for an application not listed in the data sheet. Researchers commonly develop new applications and it is an integral, important part of the investigative research process. It is sometimes possible for the material contained within the vial of "p27 KIP 1, Monoclonal Recombinant Antibody" to become dispersed throughout the inside of the vial, particularly around the seal of said vial, during shipment and storage. We always suggest centrifuging these vials to consolidate all of the liquid away from the lid and to the bottom of the vial prior to opening. Please be advised that certain products may require dry ice for shipping and that, if this is the case, an additional dry ice fee may also be required.Precautions
All products in the AAA Biotech catalog are strictly for research-use only, and are absolutely not suitable for use in any sort of medical, therapeutic, prophylactic, in-vivo, or diagnostic capacity. By purchasing a product from AAA Biotech, you are explicitly certifying that said products will be properly tested and used in line with industry standard. AAA Biotech and its authorized distribution partners reserve the right to refuse to fulfill any order if we have any indication that a purchaser may be intending to use a product outside of our accepted criteria.Disclaimer
Though we do strive to guarantee the information represented in this datasheet, AAA Biotech cannot be held responsible for any oversights or imprecisions. AAA Biotech reserves the right to adjust any aspect of this datasheet at any time and without notice. It is the responsibility of the customer to inform AAA Biotech of any product performance issues observed or experienced within 30 days of receipt of said product. To see additional details on this or any of our other policies, please see our Terms & Conditions page.Item has been added to Shopping Cart
If you are ready to order, navigate to Shopping Cart and get ready to checkout.
