Rabbit p63 Monoclonal Antibody | anti-p63 antibody
Anti - p63
2.Wash the section in 96%, 80% and 0% thyl alcohol for 10 minutes each. .
3.Rinse in distilled water. .
4.Block the endogenous peroxidase by incubating the tissuein 3% hydrogen peroxide (H2O2) for 10 minutes. .
5.Wash in distilled water for 5 minutes. .
6.For antigen retrieval: immerse the slide in the citrate buffer, pH 6.0, 0.05% Tween-20*, and incubate in ater bath at 96°C for 40 minutes. (Alternatively adjust to your own protocol, keeping the required pH) .
7.Remove the staining to room temperature and let the slide to cool (in citrate buffer, pH 6.0) for 20 minutes. .
8.Rinse in distilled water. .
9.Wash in 0.05 M Tris-HCl, pH 7.6 buffer supplemented with 0.2% of Tween-20 (buffer A) for 5 minutes.
10.CONCENTRATED:Incubate the section with primary antibody at the dilution 1:100 -1:200 for 1 hour in the closed wet chamber. .
.READY TO USE (RTU):Incubate the section with primary antibody (ready to use)for 1 hour in a closed wet chamber.
11.Wash twice 5 minutes with buffer A. .
12.Apply the secondary antibody (the protocol depends on the supplier), and proceed to standard immunohistochemistry protocol (HRP -Peroxide -DAB). Micropolymer-HRP detection kit rabbit/mouse .
13.Wash twice 5 minutes with buffer A. .
14.Apply the chromogen (DAB), 1 -3 minutes. .
15.Wash in water for 10 minutes. .
16.Stain in hematoxylin for 5 minutes. .
17.Wash in water for 10 minutes. .
18.Dehydrate the section in 2 changes of 96% ethyl alcohol for 5 minutes each.
19.Wash the section in 2 changes of xylene for 2 minutes each. .
20.Mount the slide for observation.
Citrate Buffer(10mM Citric Acid, 0.05% Tween-20, pH 6.0):
Citric acid (anhydrous) ----------1.92 g; Distilled water ---------1000 ml.
Mix to dissolve in 700 ml of distilled water. Adjust pH to 6.0 with 1M NaOH and then add 0.5 ml of Tween-20 and mix well.
Adjust the final volume to 1 liter with distilled water.
Store this solution at room temperature for 3 months or at +4°C for longer storage.
2.Centrifuge the vial before use.
3.Intended for professional use in laboratories. .
4.Do not use after expiration date stamped on vial label. .
5.Avoid contamination of the reagent. .
6.Any discrepancies in the recommended procedures stated in the working protocol may affect the final results. .
7.The reagent contains sodium azide (NaN3) which is highly toxic in higher concentrations. The concentration in the reagent (0.05%) is not considered as hazardous. .
8.Disposal of waste material must be conducted in accordance with local regulations. .
9.Wear appropriate Personal Protective Equipment to avoid contact with eyes and skin.
1.-Deparafinization (Enter)
2.Heating glass (72°C) with the medium temperatures. Deparafinization.
3.Prolonged deparafinization (Enter).
4.Cell conditioning (Enter)
.5.ULTRA Conditioner #2 (Enter).
6.Heating glass (97°C), incubation 8 min (Cell conditioner #2).
7.ULTRA CC2 solution application –24 min (Enter).
8.Titration (Enter).
9.Hand apply –primary antibody. Incubation 32 min.
10.UltraWash (Enter).
11.Nuclear stain (Enter).
12.Hematoxylin application –one drop (nuclear stain). Cover and incubate 8 min.
13.After nuclear stain (Enter).
14.Bluing reagent application, one drop. After nuclear stain, cover and incubate 4 min
.
Application Data
(Nuclear expression of p63 visualized with AAA79009, anti-p63 antibody, clone I27-I; in normal hair follicles (D) Formalin fixed, paraffin embedded human tissues (4um sections) stained with anti-p63 (AAA79009) monospecific clonal antibody according to related datasheet.)
Application Data
(Nuclear expression of p63 visualized with AAA79009, anti-p63 antibody, clone I27-I; in normal hair follicles (C) and basal cells of the prostatic glands.)
Application Data
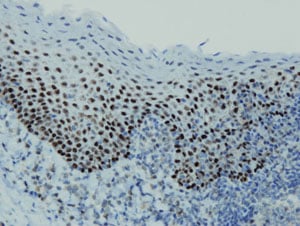
(Nuclear expression of p63 visualized with AAA79009, anti-p63 antibody, clone I27-I; in normal hair follicles (B)squamous epithelium of the tonsil)
Application Data
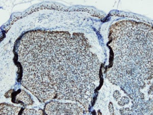
(Nuclear expression of p63 visualized with AAA79009, anti-p63 antibody, clone I27-I; in normal hair follicles (A)basal cell carcinoma of the skin.)
NCBI and Uniprot Product Information
Customer Reviews
Loading reviews...
Share Your Experience
Similar Products
Product Notes
The p63 tp63 (Catalog #AAA79009) is an Antibody produced from Rabbit and is intended for research purposes only. The product is available for immediate purchase. AAA Biotech's p63 can be used in a range of immunoassay formats including, but not limited to, IHC (Immunohistochemistry). Researchers should empirically determine the suitability of the p63 tp63 for an application not listed in the data sheet. Researchers commonly develop new applications and it is an integral, important part of the investigative research process. It is sometimes possible for the material contained within the vial of "p63, Monoclonal Antibody" to become dispersed throughout the inside of the vial, particularly around the seal of said vial, during shipment and storage. We always suggest centrifuging these vials to consolidate all of the liquid away from the lid and to the bottom of the vial prior to opening. Please be advised that certain products may require dry ice for shipping and that, if this is the case, an additional dry ice fee may also be required.Precautions
All products in the AAA Biotech catalog are strictly for research-use only, and are absolutely not suitable for use in any sort of medical, therapeutic, prophylactic, in-vivo, or diagnostic capacity. By purchasing a product from AAA Biotech, you are explicitly certifying that said products will be properly tested and used in line with industry standard. AAA Biotech and its authorized distribution partners reserve the right to refuse to fulfill any order if we have any indication that a purchaser may be intending to use a product outside of our accepted criteria.Disclaimer
Though we do strive to guarantee the information represented in this datasheet, AAA Biotech cannot be held responsible for any oversights or imprecisions. AAA Biotech reserves the right to adjust any aspect of this datasheet at any time and without notice. It is the responsibility of the customer to inform AAA Biotech of any product performance issues observed or experienced within 30 days of receipt of said product. To see additional details on this or any of our other policies, please see our Terms & Conditions page.Item has been added to Shopping Cart
If you are ready to order, navigate to Shopping Cart and get ready to checkout.
