Host
Rabbit
Clonality
Monoclonal
Isotype
IgG
Clone Number
TRK; RBT-TRK
Form/Format
Concentrate or Prediluted
Applicable Applications for anti-panTRK antibody
IHC (Immunohistochemistry)
Immunogen
Synthetic peptide corresponding to the C-terminal residues of human pan TRK protein.
Localization
Nuclear, Cytoplasmic
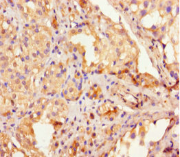
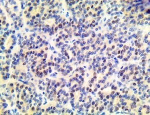
Control
Brain, Lung Neuroendocrine
Intended Use
This antibody is intended for use in Immunohistochemical applications on formalinfixed paraffin-embedded tissues (FFPE), frozen tissue sections and cell preparations. Interpretation of results should be performed by a qualified medical professional.
Preparation and Storage
Store at 2-8 degree C.
Related Product Information for anti-panTRK antibody
TRK (tropomyosin receptor kinase) A, B, and C are encoded by NTRK1, NTRK2, and NTRK3 genes respectively. Each protein is activated by different neurotrophins: TRKA is activated by Nerve growth factor, TRKB by brain-derived neurotrophic factor, and TRKC by NT-3. The TRK receptors are a family of tyrosine kinases that regulate synaptic strength and plasticity in the mammalian nervous system. The activation of TRK receptors by neurotrophin binding may lead to activation of signal cascades resulting in promoting survival and other functional regulation of cells. TRK family of receptor tyrosine kinases are of interest as the NTRK genes that encode them are involved in gene fusions identified in a wide range of adult and pediatric tumors. TRK, was initially identified in a colon carcinoma, is frequently activated in thyroid papillary carcinomas.
Pan-TRK IHC has shown to be positive in most cases with NTRK fusion transcripts confirmed by Archer. One study established the Pan-TRK IHC sensitivity and specificity for transcribed NTRK fusions to be 95.2% and 100%, respectively. All positive IHC cases had cytoplasmic staining while the following fusion partner-specific patterns were discovered: all LMNA-NTRK1 fusions displayed nuclear membrane accentuation, all TPM3/4 fusions displayed cellular membrane accentuation, and half of ETV6-NTRK3 fusions displayed nuclear staining. In another study, Immunohistochemistry screening in 1043 various solid tumors showed TRKA expression in 1.6% of samples, including Colorectal, Lung Cancer, Biliary Carcinoma and Thyroid Cancers. NTRK gene fusions have been identified in both pediatric and adult primary central nervous system tumors, including Glioblastoma Multiforme, Pediatric Gliomas and Astrocytomas. Various translocations involving NTRK1 or NTRK3 have been reported in Spitzoid melanocytic neoplasms, as well as in compound Spitz Nevi. TRK fusions have also been reported in Intrahepatic Cholangiocarcinomas, Breast Cancer, quadruple wild-type (ETV6-NTRK3) Gastrointestinal Stromal Tumors, Gallbladder Adenocarcinomas, Pancreatic Carcinomas, Sinus-Nasal Low-Grade Non-Intestinal-type Adenocarcinomas and Neuroendocrine Tumors of the small bowel. In addition to being present in solid tumors, NTRK gene fusions have been also detected in Acute Lymphoblastic Leukemia and Acute Myeloid Leukemia.
Pan-TRK IHC has shown to be positive in most cases with NTRK fusion transcripts confirmed by Archer. One study established the Pan-TRK IHC sensitivity and specificity for transcribed NTRK fusions to be 95.2% and 100%, respectively. All positive IHC cases had cytoplasmic staining while the following fusion partner-specific patterns were discovered: all LMNA-NTRK1 fusions displayed nuclear membrane accentuation, all TPM3/4 fusions displayed cellular membrane accentuation, and half of ETV6-NTRK3 fusions displayed nuclear staining. In another study, Immunohistochemistry screening in 1043 various solid tumors showed TRKA expression in 1.6% of samples, including Colorectal, Lung Cancer, Biliary Carcinoma and Thyroid Cancers. NTRK gene fusions have been identified in both pediatric and adult primary central nervous system tumors, including Glioblastoma Multiforme, Pediatric Gliomas and Astrocytomas. Various translocations involving NTRK1 or NTRK3 have been reported in Spitzoid melanocytic neoplasms, as well as in compound Spitz Nevi. TRK fusions have also been reported in Intrahepatic Cholangiocarcinomas, Breast Cancer, quadruple wild-type (ETV6-NTRK3) Gastrointestinal Stromal Tumors, Gallbladder Adenocarcinomas, Pancreatic Carcinomas, Sinus-Nasal Low-Grade Non-Intestinal-type Adenocarcinomas and Neuroendocrine Tumors of the small bowel. In addition to being present in solid tumors, NTRK gene fusions have been also detected in Acute Lymphoblastic Leukemia and Acute Myeloid Leukemia.
Customer Reviews
Loading reviews...
Share Your Experience
Similar Products
Product Notes
The panTRK (Catalog #AAA59318) is an Antibody produced from Rabbit and is intended for research purposes only. The product is available for immediate purchase. AAA Biotech's panTRK can be used in a range of immunoassay formats including, but not limited to, IHC (Immunohistochemistry). Researchers should empirically determine the suitability of the panTRK for an application not listed in the data sheet. Researchers commonly develop new applications and it is an integral, important part of the investigative research process. It is sometimes possible for the material contained within the vial of "panTRK, Monoclonal Antibody" to become dispersed throughout the inside of the vial, particularly around the seal of said vial, during shipment and storage. We always suggest centrifuging these vials to consolidate all of the liquid away from the lid and to the bottom of the vial prior to opening. Please be advised that certain products may require dry ice for shipping and that, if this is the case, an additional dry ice fee may also be required.Precautions
All products in the AAA Biotech catalog are strictly for research-use only, and are absolutely not suitable for use in any sort of medical, therapeutic, prophylactic, in-vivo, or diagnostic capacity. By purchasing a product from AAA Biotech, you are explicitly certifying that said products will be properly tested and used in line with industry standard. AAA Biotech and its authorized distribution partners reserve the right to refuse to fulfill any order if we have any indication that a purchaser may be intending to use a product outside of our accepted criteria.Disclaimer
Though we do strive to guarantee the information represented in this datasheet, AAA Biotech cannot be held responsible for any oversights or imprecisions. AAA Biotech reserves the right to adjust any aspect of this datasheet at any time and without notice. It is the responsibility of the customer to inform AAA Biotech of any product performance issues observed or experienced within 30 days of receipt of said product. To see additional details on this or any of our other policies, please see our Terms & Conditions page.Item has been added to Shopping Cart
If you are ready to order, navigate to Shopping Cart and get ready to checkout.
