Host
Rabbit
Reactivity
Human, Mouse
Clonality
Monoclonal
Isotype
IgG
Clone Number
RBT-PAX5
Form/Format
PAX-5 is a rabbit monoclonal antibody derived from cell culture supernatant that is concentrated, dialyzed, filter sterilized and diluted in buffer pH 7.5, containing BSA and sodium azide as a preservative.
Control
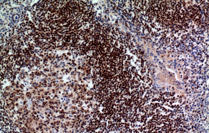
Tonsil
Localization
Nuclear
Reactivity Note
Paraffin, Frozen
Preparation and Storage
Store at 2 to 8 degree C in the dark.
Related Product Information for anti-PAX-5 antibody
The PAX proteins are important regulators in early development, and alterations in the expression of their genes are thought to contribute to neoplastic transformation. The PAX-5 gene encodes the B-cell lineagespecific activator protein (BSAP) that is expressed at early, but not late, stages of B-cell differentiation. Its expression has also been detected in developing CNS and testis; therefore, PAX-5 gene product may not only play an important role in B-cell differentiation, but also in neural development and spermatogenesis. PAX-5 expression is not only continuously required for B-cell lineage commitment during early B-cell development but also for B-cell lineage maintenance. PAX-5 is found in most cases of mature and precursor B-cell Non-Hodgkin's Lymphomas/Leukemias. PAX-5 is not detected in Multiple Myeloma and solitary Plasmacytoma, making it useful for such differentiation. Diffuse Large B-cell Lymphomas do express PAX-5, except for those with terminal B-cell differentiation. T-cell neoplasms do not stain with anti-PAX-5; however, there is a strong association with CD20 expression.
NCBI and Uniprot Product Information
NCBI GI #
NCBI GeneID
NCBI Accession #
NCBI GenBank Nucleotide #
UniProt Accession #
Molecular Weight
42,149 Da
NCBI Official Full Name
Paired box protein Pax-5
NCBI Official Synonym Full Names
paired box 5
NCBI Official Symbol
PAX5
NCBI Official Synonym Symbols
BSAP
NCBI Protein Information
paired box protein Pax-5; OTTHUMP00000021378; OTTHUMP00000227118; OTTHUMP00000227119; OTTHUMP00000227120; OTTHUMP00000227121; OTTHUMP00000227122; OTTHUMP00000227123; OTTHUMP00000227124; OTTHUMP00000227125; OTTHUMP00000227127; OTTHUMP00000227128; OTTHUMP00000227129; paired box homeotic gene 5; transcription factor PAX 5; B cell specific activator protein; B-cell lineage specific activator; B-cell-specific transcription factor
UniProt Protein Name
Paired box protein Pax-5
UniProt Gene Name
PAX5
UniProt Entry Name
PAX5_HUMAN
Customer Reviews
Loading reviews...
Share Your Experience
Similar Products
Product Notes
The PAX-5 pax5 (Catalog #AAA59232) is an Antibody produced from Rabbit and is intended for research purposes only. The product is available for immediate purchase. The PAX-5 RMab reacts with Human, Mouse and may cross-react with other species as described in the data sheet. It is sometimes possible for the material contained within the vial of "PAX-5, Monoclonal Antibody" to become dispersed throughout the inside of the vial, particularly around the seal of said vial, during shipment and storage. We always suggest centrifuging these vials to consolidate all of the liquid away from the lid and to the bottom of the vial prior to opening. Please be advised that certain products may require dry ice for shipping and that, if this is the case, an additional dry ice fee may also be required.Precautions
All products in the AAA Biotech catalog are strictly for research-use only, and are absolutely not suitable for use in any sort of medical, therapeutic, prophylactic, in-vivo, or diagnostic capacity. By purchasing a product from AAA Biotech, you are explicitly certifying that said products will be properly tested and used in line with industry standard. AAA Biotech and its authorized distribution partners reserve the right to refuse to fulfill any order if we have any indication that a purchaser may be intending to use a product outside of our accepted criteria.Disclaimer
Though we do strive to guarantee the information represented in this datasheet, AAA Biotech cannot be held responsible for any oversights or imprecisions. AAA Biotech reserves the right to adjust any aspect of this datasheet at any time and without notice. It is the responsibility of the customer to inform AAA Biotech of any product performance issues observed or experienced within 30 days of receipt of said product. To see additional details on this or any of our other policies, please see our Terms & Conditions page.Item has been added to Shopping Cart
If you are ready to order, navigate to Shopping Cart and get ready to checkout.
