Host
Mouse
Reactivity
Human
Clonality
Monoclonal
Isotype
Mouse IgG
Form/Format
Affinity Purified antibody
Liquid with PBS buffer, pH7.4 with 0.02% Sodium Azide
Liquid with PBS buffer, pH7.4 with 0.02% Sodium Azide
Applicable Applications for anti-PAX-8 antibody
WB (Western Blot)
Immunogen
Recombinant Human PAX-8
Preparation and Storage
The product can be stored undiluted for several weeks at 4 degree C. Dilute only immediately before use. Aliquot and store at -20 degree C for long term. Avoid freeze thaw-cycles.
Related Product Information for anti-PAX-8 antibody
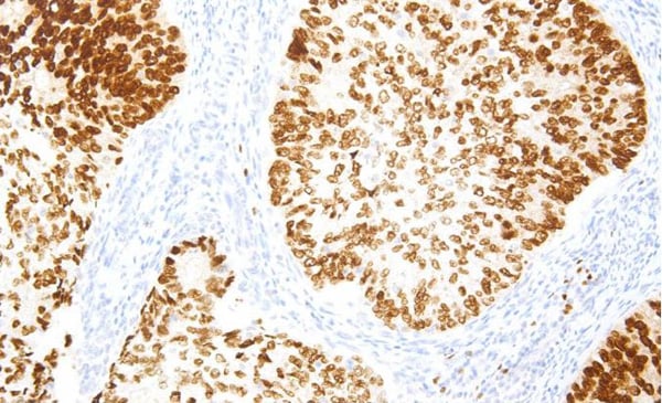
Anti-PAX8 Antibody is in ready-to-use format. PAX-8 belongs to the paired box (PAX) family of transcription factors which play an important role in early development such as with thyroid follicular cells and the expression of thyroid-specific genes; however mutations in the PAX8 gene is found to be associated with thyroid follicular carcinomas. PAX-8 is also found to be expressed in simple ovarian inclusion cysts and non-ciliated mucosal cells of the fallopian tubes. PAX8 has been found to be as useful marker for renal epithelial tumors, ovarian cancer and for differential identifys in lung and neck tumors. Anti-PAX-8 can be used in conjunction with other markers such as uroplakin, mammaglobin and TTF-1 to determine the primary sites of invasive micropapilary carcinomas of ovary.
NCBI and Uniprot Product Information
NCBI GI #
NCBI GeneID
Molecular Weight
295
NCBI Official Full Name
Paired box protein Pax-8
NCBI Official Synonym Full Names
paired box 8
NCBI Official Symbol
PAX8
NCBI Protein Information
paired box protein Pax-8; paired domain gene 8
UniProt Protein Name
Paired box protein Pax-8
UniProt Gene Name
PAX8
UniProt Entry Name
PAX8_HUMAN
Similar Products
Product Notes
The PAX-8 pax8 (Catalog #AAA76654) is an Antibody produced from Mouse and is intended for research purposes only. The product is available for immediate purchase. The PAX-8 reacts with Human and may cross-react with other species as described in the data sheet. AAA Biotech's PAX-8 can be used in a range of immunoassay formats including, but not limited to, WB (Western Blot). Researchers should empirically determine the suitability of the PAX-8 pax8 for an application not listed in the data sheet. Researchers commonly develop new applications and it is an integral, important part of the investigative research process. It is sometimes possible for the material contained within the vial of "PAX-8, Monoclonal Antibody" to become dispersed throughout the inside of the vial, particularly around the seal of said vial, during shipment and storage. We always suggest centrifuging these vials to consolidate all of the liquid away from the lid and to the bottom of the vial prior to opening. Please be advised that certain products may require dry ice for shipping and that, if this is the case, an additional dry ice fee may also be required.Precautions
All products in the AAA Biotech catalog are strictly for research-use only, and are absolutely not suitable for use in any sort of medical, therapeutic, prophylactic, in-vivo, or diagnostic capacity. By purchasing a product from AAA Biotech, you are explicitly certifying that said products will be properly tested and used in line with industry standard. AAA Biotech and its authorized distribution partners reserve the right to refuse to fulfill any order if we have any indication that a purchaser may be intending to use a product outside of our accepted criteria.Disclaimer
Though we do strive to guarantee the information represented in this datasheet, AAA Biotech cannot be held responsible for any oversights or imprecisions. AAA Biotech reserves the right to adjust any aspect of this datasheet at any time and without notice. It is the responsibility of the customer to inform AAA Biotech of any product performance issues observed or experienced within 30 days of receipt of said product. To see additional details on this or any of our other policies, please see our Terms & Conditions page.Item has been added to Shopping Cart
If you are ready to order, navigate to Shopping Cart and get ready to checkout.
