Mouse anti-Human, Mouse PGBD5 Monoclonal Antibody | anti-PGBD5 antibody
PGBD5 Antibody
Reactivity
Human, Mouse
Applications
Immunohistochemistry, Immunocytochemistry, Western Blot
Purity
ProA affinity purified
Synonyms
PGBD5, Antibody; PGBD5 Antibody; PGBD5 antibody; PGBD5_HUMAN antibody; PiggyBac transposable element-derived protein 5 antibody; anti-PGBD5 antibody
Host
Mouse
Reactivity
Human, Mouse
Clonality
Monoclonal
Clone Number
7-F8-5
Purity/Purification
ProA affinity purified
Form/Format
1*TBS (pH7.4), 1% BSA, 40% Glycerol. Preservative: 0.05% Sodium Azide.
Applicable Applications for anti-PGBD5 antibody
IHC (Immunohistochemistry), ICC (Immunocytochemistry), WB (Western Blot)
Immunogen
Peptide
Conjugation
Unconjugated
Preparation and Storage
Store at -20 degree C.
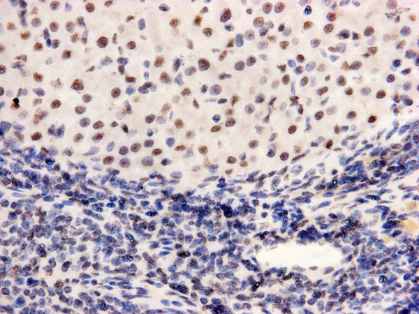
IHC (Immunohiostchemistry)
(Immunohistochemical analysis of paraffin- embedded human lung cancer tissue using anti-PGBD5 Mouse mAb.)
Related Product Information for anti-PGBD5 antibody
PiggyBac transposable element derived protein 5, also known as PGBD5, encodes a 554 amino acid transposase and is a member of the piggyBac transposable element derived (PGBD) gene family, which includes several genes that are derived from piggyBac transposons. This gene product is specifically expressed in the brain. The PiggyBac transposable element is a popular tool for germ-line transgenesis of eukaryotes.
Product Categories/Family for anti-PGBD5 antibody
NCBI and Uniprot Product Information
NCBI GI #
NCBI GeneID
NCBI Accession #
NCBI GenBank Nucleotide #
Molecular Weight
51,642 Da
NCBI Official Full Name
piggyBac transposable element-derived protein 5
NCBI Official Synonym Full Names
piggyBac transposable element derived 5
NCBI Official Symbol
PGBD5
NCBI Protein Information
piggyBac transposable element-derived protein 5
UniProt Protein Name
PiggyBac transposable element-derived protein 5
UniProt Gene Name
PGBD5
Similar Products
Product Notes
The PGBD5 pgbd5 (Catalog #AAA311884) is an Antibody produced from Mouse and is intended for research purposes only. The product is available for immediate purchase. The PGBD5 Antibody reacts with Human, Mouse and may cross-react with other species as described in the data sheet. AAA Biotech's PGBD5 can be used in a range of immunoassay formats including, but not limited to, IHC (Immunohistochemistry), ICC (Immunocytochemistry), WB (Western Blot). Researchers should empirically determine the suitability of the PGBD5 pgbd5 for an application not listed in the data sheet. Researchers commonly develop new applications and it is an integral, important part of the investigative research process. It is sometimes possible for the material contained within the vial of "PGBD5, Monoclonal Antibody" to become dispersed throughout the inside of the vial, particularly around the seal of said vial, during shipment and storage. We always suggest centrifuging these vials to consolidate all of the liquid away from the lid and to the bottom of the vial prior to opening. Please be advised that certain products may require dry ice for shipping and that, if this is the case, an additional dry ice fee may also be required.Precautions
All products in the AAA Biotech catalog are strictly for research-use only, and are absolutely not suitable for use in any sort of medical, therapeutic, prophylactic, in-vivo, or diagnostic capacity. By purchasing a product from AAA Biotech, you are explicitly certifying that said products will be properly tested and used in line with industry standard. AAA Biotech and its authorized distribution partners reserve the right to refuse to fulfill any order if we have any indication that a purchaser may be intending to use a product outside of our accepted criteria.Disclaimer
Though we do strive to guarantee the information represented in this datasheet, AAA Biotech cannot be held responsible for any oversights or imprecisions. AAA Biotech reserves the right to adjust any aspect of this datasheet at any time and without notice. It is the responsibility of the customer to inform AAA Biotech of any product performance issues observed or experienced within 30 days of receipt of said product. To see additional details on this or any of our other policies, please see our Terms & Conditions page.Item has been added to Shopping Cart
If you are ready to order, navigate to Shopping Cart and get ready to checkout.
