PGP9.5 recombinant antibody
PGP9.5 Rabbit mAb
Gene Names
UCHL1; PARK5; PGP95; PGP9.5; Uch-L1; PGP 9.5
Reactivity
Human, Mouse, Rat
Applications
Flow Cytometry, Functional Assay, Immunoprecipitation, Immunofluorescence, Immunocytochemistry, Immunohistochemistry, Western Blot
Purity
Affinity-chromatography
Synonyms
PGP9.5, Recombinant Antibody; PGP9.5 Rabbit mAb; HEL 117; NDGOA; Neuron cytoplasmic protein 9.5; PARK5; PGP9.5; Protein gene product 9.5; UCHL1; PGP9.5 recombinant antibody
Host
Rabbit
Reactivity
Human, Mouse, Rat
Clonality
Monoclonal
Isotype
Rabbit IgG
Specificity
PGP9.5 Antibody detects endogenous levels of total PGP9.5
Purity/Purification
Affinity-chromatography
Form/Format
Rabbit IgG in phosphate buffered saline, pH7.4, 150mM NaCl, 0.02% sodium azide and 50% glycerol.
Applicable Applications for PGP9.5 recombinant antibody
FCM/FACS (Flow Cytometry), IP (Immunoprecipitation), IF (Immunofluorescence), ICC (Immunocytochemistry), IHC (Immunohistochemistry), WB (Western Blot)
Immunogen
A synthesized peptide derived from human PGP9.5
Preparation and Storage
Store at +4 degree C short term. Store at -20 degree C long term. Avoid freeze/thaw cycle.
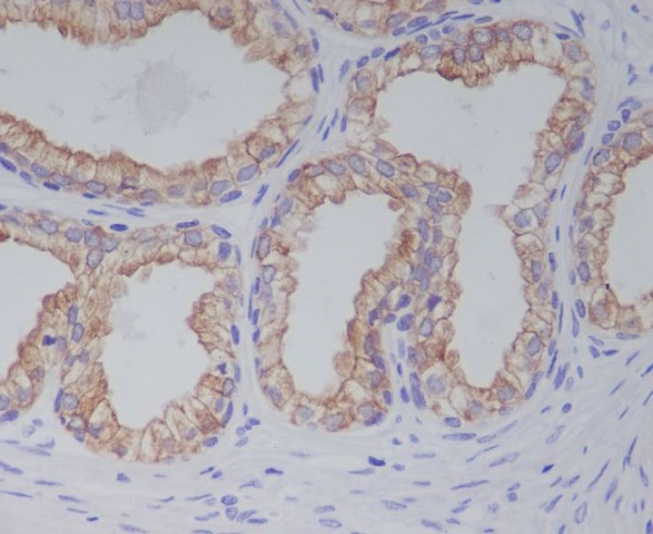
IHC (Immunohiostchemistry)
(Immunohistochemical analysis of paraffin-embedded human prostate cancer, using PGP9.5 Antibody.)
Related Product Information for PGP9.5 recombinant antibody
Ubiquitin-protein hydrolase involved both in the processing of ubiquitin precursors and of ubiquitinated proteins. This enzyme is a thiol protease that recognizes and hydrolyzes a peptide bond at the C-terminal glycine of ubiquitin. Also binds to free monoubiquitin and may prevent its degradation in lysosomes. The homodimer may have ATP-independent ubiquitin ligase activity.
Product Categories/Family for PGP9.5 recombinant antibody
NCBI and Uniprot Product Information
NCBI GI #
NCBI GeneID
NCBI Accession #
NCBI GenBank Nucleotide #
Molecular Weight
24,824 Da
NCBI Official Full Name
ubiquitin carboxyl-terminal hydrolase isozyme L1
NCBI Official Synonym Full Names
ubiquitin carboxyl-terminal esterase L1 (ubiquitin thiolesterase)
NCBI Official Symbol
UCHL1
NCBI Official Synonym Symbols
PARK5; PGP95; PGP9.5; Uch-L1; PGP 9.5
NCBI Protein Information
ubiquitin carboxyl-terminal hydrolase isozyme L1; ubiquitin thioesterase L1; neuron cytoplasmic protein 9.5; ubiquitin C-terminal hydrolase
UniProt Protein Name
Ubiquitin carboxyl-terminal hydrolase isozyme L1
UniProt Gene Name
UCHL1
UniProt Synonym Gene Names
UCH-L1; PGP9.5
UniProt Entry Name
UCHL1_HUMAN
Customer Reviews
Loading reviews...
Share Your Experience
Similar Products
Product Notes
The PGP9.5 uchl1 (Catalog #AAA315423) is a Recombinant Antibody produced from Rabbit and is intended for research purposes only. The product is available for immediate purchase. The PGP9.5 Rabbit mAb reacts with Human, Mouse, Rat and may cross-react with other species as described in the data sheet. AAA Biotech's PGP9.5 can be used in a range of immunoassay formats including, but not limited to, FCM/FACS (Flow Cytometry), IP (Immunoprecipitation), IF (Immunofluorescence), ICC (Immunocytochemistry), IHC (Immunohistochemistry), WB (Western Blot). Researchers should empirically determine the suitability of the PGP9.5 uchl1 for an application not listed in the data sheet. Researchers commonly develop new applications and it is an integral, important part of the investigative research process. It is sometimes possible for the material contained within the vial of "PGP9.5, Monoclonal Recombinant Antibody" to become dispersed throughout the inside of the vial, particularly around the seal of said vial, during shipment and storage. We always suggest centrifuging these vials to consolidate all of the liquid away from the lid and to the bottom of the vial prior to opening. Please be advised that certain products may require dry ice for shipping and that, if this is the case, an additional dry ice fee may also be required.Precautions
All products in the AAA Biotech catalog are strictly for research-use only, and are absolutely not suitable for use in any sort of medical, therapeutic, prophylactic, in-vivo, or diagnostic capacity. By purchasing a product from AAA Biotech, you are explicitly certifying that said products will be properly tested and used in line with industry standard. AAA Biotech and its authorized distribution partners reserve the right to refuse to fulfill any order if we have any indication that a purchaser may be intending to use a product outside of our accepted criteria.Disclaimer
Though we do strive to guarantee the information represented in this datasheet, AAA Biotech cannot be held responsible for any oversights or imprecisions. AAA Biotech reserves the right to adjust any aspect of this datasheet at any time and without notice. It is the responsibility of the customer to inform AAA Biotech of any product performance issues observed or experienced within 30 days of receipt of said product. To see additional details on this or any of our other policies, please see our Terms & Conditions page.Item has been added to Shopping Cart
If you are ready to order, navigate to Shopping Cart and get ready to checkout.
