Mouse anti-Human phospho-MLKL Monoclonal Antibody | anti-MLKL antibody
phospho-MLKL (S358) mouse Monoclonal Antibody (6B4)
Reactivity
Human
Applications
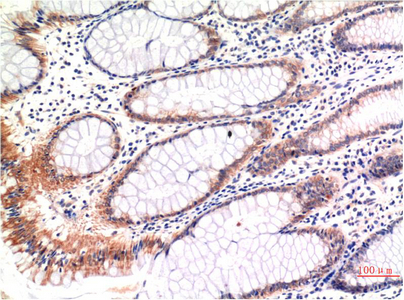
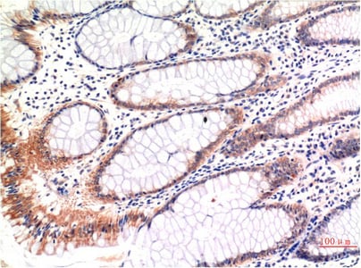
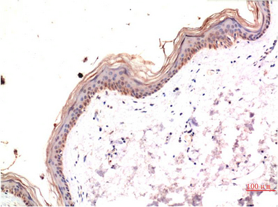
Immunohistochemistry
Synonyms
phospho-MLKL, Antibody; phospho-MLKL (S358) mouse Monoclonal Antibody (6B4); MLKL; anti-MLKL antibody
Host
Mouse
Reactivity
Human
Clonality
Monoclonal
Clone Number
6B4
Applicable Applications for anti-MLKL antibody
IHC (Immunohistochemistry)
Notes
ECO:0000303|PubMed:22265413, ECO:0000312|HGNC: HGNC:26617
Preparation and Storage
Maintain refrigerated at 2-8 degree C for up to 2 weeks. For long term storage store at -20 degree C in small aliquots to prevent freeze-thaw cycles.
Related Product Information for anti-MLKL antibody
Pseudokinase that plays a key role in TNF-induced necroptosis, a programmed cell death process. Activated following phosphorylation by RIPK3, leading to homotrimerization, localization to the plasma membrane and execution of programmed necrosis characterized by calcium influx and plasma membrane damage. Does not have protein kinase activity (PubMed:22265414, PubMed:22421439, PubMed:24316671). Binds to highly phosphorylated inositol phosphates such as inositolhexakisphosphate (InsP6) which is essential for its necroptotic function (PubMed:29883610).
NCBI and Uniprot Product Information
NCBI GI #
NCBI GeneID
NCBI Accession #
NCBI GenBank Nucleotide #
Molecular Weight
54,479 Da
NCBI Official Full Name
mixed lineage kinase domain-like protein isoform 2
NCBI Official Synonym Full Names
mixed lineage kinase domain-like
NCBI Official Symbol
MLKL
NCBI Protein Information
mixed lineage kinase domain-like protein
UniProt Protein Name
Mixed lineage kinase domain-like protein
UniProt Gene Name
MLKL
UniProt Entry Name
MLKL_HUMAN
Customer Reviews
Loading reviews...
Share Your Experience
Similar Products
Product Notes
The MLKL mlkl (Catalog #AAA293803) is an Antibody produced from Mouse and is intended for research purposes only. The product is available for immediate purchase. The phospho-MLKL (S358) mouse Monoclonal Antibody (6B4) reacts with Human and may cross-react with other species as described in the data sheet. AAA Biotech's phospho-MLKL can be used in a range of immunoassay formats including, but not limited to, IHC (Immunohistochemistry). Researchers should empirically determine the suitability of the MLKL mlkl for an application not listed in the data sheet. Researchers commonly develop new applications and it is an integral, important part of the investigative research process. It is sometimes possible for the material contained within the vial of "phospho-MLKL, Monoclonal Antibody" to become dispersed throughout the inside of the vial, particularly around the seal of said vial, during shipment and storage. We always suggest centrifuging these vials to consolidate all of the liquid away from the lid and to the bottom of the vial prior to opening. Please be advised that certain products may require dry ice for shipping and that, if this is the case, an additional dry ice fee may also be required.Precautions
All products in the AAA Biotech catalog are strictly for research-use only, and are absolutely not suitable for use in any sort of medical, therapeutic, prophylactic, in-vivo, or diagnostic capacity. By purchasing a product from AAA Biotech, you are explicitly certifying that said products will be properly tested and used in line with industry standard. AAA Biotech and its authorized distribution partners reserve the right to refuse to fulfill any order if we have any indication that a purchaser may be intending to use a product outside of our accepted criteria.Disclaimer
Though we do strive to guarantee the information represented in this datasheet, AAA Biotech cannot be held responsible for any oversights or imprecisions. AAA Biotech reserves the right to adjust any aspect of this datasheet at any time and without notice. It is the responsibility of the customer to inform AAA Biotech of any product performance issues observed or experienced within 30 days of receipt of said product. To see additional details on this or any of our other policies, please see our Terms & Conditions page.Item has been added to Shopping Cart
If you are ready to order, navigate to Shopping Cart and get ready to checkout.
