Rat anti-Human PIM2 Monoclonal Antibody | anti-PIM2 antibody
PIM2 antibody (mAb)(Clone CHU61)
Reactivity
Human
Applications
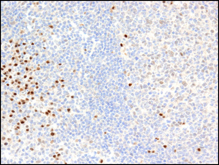
Western Blot, Immunohistochemistry
Purity
Protein G Chromatography
Synonyms
PIM2, Antibody; PIM2 antibody (mAb)(Clone CHU61); Pim-2 Proto-Oncogene; Serine/Threonine Kinase; anti-PIM2 antibody
Host
Rat
Reactivity
Human
Clonality
Monoclonal
Isotype
IgG2a
Clone Number
CHU61
Purity/Purification
Protein G Chromatography
Form/Format
Purified rat IgG in PBS with 30% glycerol and 0.035% sodium azide. Sodium azide is highly toxic.
Concentration
1ug/ul (varies by lot)
Applicable Applications for anti-PIM2 antibody
WB (Western Blot), IHC (Immunohistochemistry)
Immunogen
This PIM2 antibody was raised against a recombinant protein corresponding to human PIM2.
Preparation and Storage
Some products may be shipped at room temperature. This will not affect their stability or performance. Avoid repeated freeze/thaw cycles by aliquoting items into single-use fractions for storage at -20 degree C for up to 2 years. Keep all reagents on ice when not in storage.1ug/ul
Related Product Information for anti-PIM2 antibody
Short Description: Our PIM2 antibody (mAb)(Clone CHU61) was raised in a Rat host. It has been validated for use in Immunohistochemistry and Western blot; it has been shown to react with Human samples.
Background: PIM2 is a serine/threonine protein kinase in the CAMK family. PIM2 promotes cell survival in response to a variety of proliferative signals through activation of the I-kB kinase/NF-kB pathway. It also inhibits apoptosis through the phosphorylation of BAD. PIM2 has been implicated in the transformation of both T and B lymphocytes and is highly expressed in human leukemia and lymphomas, as well as adenocarcinomas and hepatocellular carcinomas.
Background: PIM2 is a serine/threonine protein kinase in the CAMK family. PIM2 promotes cell survival in response to a variety of proliferative signals through activation of the I-kB kinase/NF-kB pathway. It also inhibits apoptosis through the phosphorylation of BAD. PIM2 has been implicated in the transformation of both T and B lymphocytes and is highly expressed in human leukemia and lymphomas, as well as adenocarcinomas and hepatocellular carcinomas.
Product Categories/Family for anti-PIM2 antibody
NCBI and Uniprot Product Information
NCBI GI #
NCBI GeneID
NCBI Accession #
NCBI GenBank Nucleotide #
Molecular Weight
36.6 kDa (334aa) confirmed by MALDI-TOF
NCBI Official Full Name
serine/threonine-protein kinase pim-2
NCBI Official Synonym Full Names
Pim-2 proto-oncogene, serine/threonine kinase
NCBI Official Symbol
PIM2
NCBI Protein Information
serine/threonine-protein kinase pim-2
UniProt Protein Name
Serine/threonine-protein kinase pim-2
UniProt Gene Name
PIM2
Customer Reviews
Loading reviews...
Share Your Experience
Similar Products
Product Notes
The PIM2 pim2 (Catalog #AAA59985) is an Antibody produced from Rat and is intended for research purposes only. The product is available for immediate purchase. The PIM2 antibody (mAb)(Clone CHU61) reacts with Human and may cross-react with other species as described in the data sheet. AAA Biotech's PIM2 can be used in a range of immunoassay formats including, but not limited to, WB (Western Blot), IHC (Immunohistochemistry). Researchers should empirically determine the suitability of the PIM2 pim2 for an application not listed in the data sheet. Researchers commonly develop new applications and it is an integral, important part of the investigative research process. It is sometimes possible for the material contained within the vial of "PIM2, Monoclonal Antibody" to become dispersed throughout the inside of the vial, particularly around the seal of said vial, during shipment and storage. We always suggest centrifuging these vials to consolidate all of the liquid away from the lid and to the bottom of the vial prior to opening. Please be advised that certain products may require dry ice for shipping and that, if this is the case, an additional dry ice fee may also be required.Precautions
All products in the AAA Biotech catalog are strictly for research-use only, and are absolutely not suitable for use in any sort of medical, therapeutic, prophylactic, in-vivo, or diagnostic capacity. By purchasing a product from AAA Biotech, you are explicitly certifying that said products will be properly tested and used in line with industry standard. AAA Biotech and its authorized distribution partners reserve the right to refuse to fulfill any order if we have any indication that a purchaser may be intending to use a product outside of our accepted criteria.Disclaimer
Though we do strive to guarantee the information represented in this datasheet, AAA Biotech cannot be held responsible for any oversights or imprecisions. AAA Biotech reserves the right to adjust any aspect of this datasheet at any time and without notice. It is the responsibility of the customer to inform AAA Biotech of any product performance issues observed or experienced within 30 days of receipt of said product. To see additional details on this or any of our other policies, please see our Terms & Conditions page.Item has been added to Shopping Cart
If you are ready to order, navigate to Shopping Cart and get ready to checkout.
