Host
Rabbit
Reactivity
Human
Clonality
Monoclonal
Isotype
IgG2b
Clone Number
BSB-182
Form/Format
TFF3 is a mouse monoclonal antibody for immunohistochemistry derived from cell culture supernatant that is concentrated, dialyzed, filter sterilized, and diluted in buffer pH 7.5, containing BSA and sodium azide as a preservative.
Localization
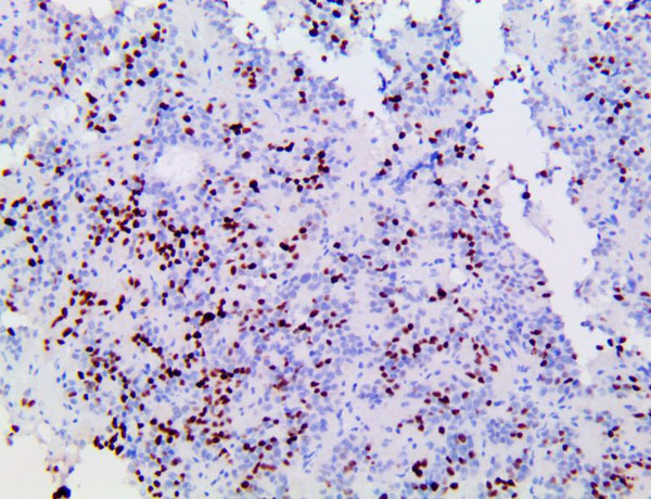
Nuclear
Intended Use
PiT-1 (BSB-182), mouse monoclonal antibody, is a primary antibody intended for laboratory use by trained laboratory personnel in an immunohistochemical (IHC) assay to qualitatively identify the PiT-1 protein by light microscopy in normal and/or pathological formalin-fixed, paraffin-embedded (FFPE) human tissue.
The clinical interpretation of any staining or its absence should be performed by a qualified pathologist and complemented by morphological studies using proper controls and evaluated within the context of the patient’s clinical history and other tests.
The clinical interpretation of any staining or its absence should be performed by a qualified pathologist and complemented by morphological studies using proper controls and evaluated within the context of the patient’s clinical history and other tests.
Related Product Information for anti-PiT1 antibody
POU1F1 is a tissue specific transcription factor that regulates gene expression, particularly in somatotrophs, lactotrophs, and thyrotrophs, found in the developing anterior pituitary. The POU class 1 homeobox 1 transcription factor (POU1F1, also known as Pit-1) was originally detected in the pituitary gland and is expressed in the mammary gland; it can regulate cell differentiation and is an activator for pituitary gene transcription during organogenesis.
Pit-1 deregulation induces a malignant phenotype in breast cancer cells associated with tumor growth and metastasis. One study determined that Pit-1 was detected in human placenta, human breast adenocarcinoma cell line, and hematopoietic and lymphoid tissues. Moreover, abnormal expression of Pit-1 in these tissues was reported to be associated with tumor progression. In another study, an increased expression level of Pit-1 was found in exponentially growing human myeloid leukemic cells, and the level was specifically associated with cell proliferation.
Pit-1 deregulation induces a malignant phenotype in breast cancer cells associated with tumor growth and metastasis. One study determined that Pit-1 was detected in human placenta, human breast adenocarcinoma cell line, and hematopoietic and lymphoid tissues. Moreover, abnormal expression of Pit-1 in these tissues was reported to be associated with tumor progression. In another study, an increased expression level of Pit-1 was found in exponentially growing human myeloid leukemic cells, and the level was specifically associated with cell proliferation.
Customer Reviews
Loading reviews...
Share Your Experience
Similar Products
Product Notes
The PiT1 (Catalog #AAA59489) is an Antibody produced from Rabbit and is intended for research purposes only. The product is available for immediate purchase. The PiT1 (BSB-182), MMab reacts with Human and may cross-react with other species as described in the data sheet. It is sometimes possible for the material contained within the vial of "PiT1, Monoclonal Antibody" to become dispersed throughout the inside of the vial, particularly around the seal of said vial, during shipment and storage. We always suggest centrifuging these vials to consolidate all of the liquid away from the lid and to the bottom of the vial prior to opening. Please be advised that certain products may require dry ice for shipping and that, if this is the case, an additional dry ice fee may also be required.Precautions
All products in the AAA Biotech catalog are strictly for research-use only, and are absolutely not suitable for use in any sort of medical, therapeutic, prophylactic, in-vivo, or diagnostic capacity. By purchasing a product from AAA Biotech, you are explicitly certifying that said products will be properly tested and used in line with industry standard. AAA Biotech and its authorized distribution partners reserve the right to refuse to fulfill any order if we have any indication that a purchaser may be intending to use a product outside of our accepted criteria.Disclaimer
Though we do strive to guarantee the information represented in this datasheet, AAA Biotech cannot be held responsible for any oversights or imprecisions. AAA Biotech reserves the right to adjust any aspect of this datasheet at any time and without notice. It is the responsibility of the customer to inform AAA Biotech of any product performance issues observed or experienced within 30 days of receipt of said product. To see additional details on this or any of our other policies, please see our Terms & Conditions page.Item has been added to Shopping Cart
If you are ready to order, navigate to Shopping Cart and get ready to checkout.
