PKC alpha Recombinant Antibody | PKCalpha recombinant antibody
PKC alpha Rabbit mAb
Gene Names
PRKCA; AAG6; PKCA; PRKACA; PKC-alpha
Reactivity
Human, Mouse, Rat
Applications
Flow Cytometry, Functional Assay, Immunoprecipitation, Immunofluorescence, Immunocytochemistry, Immunohistochemistry, Western Blot
Purity
Affinity-chromatography
Synonyms
PKC alpha, Recombinant Antibody; PKC alpha Rabbit mAb; EC 2.7.11.13; KPCA; PKC III; PKC-A; PKC-III; PKC-alpha; PRKACA; PRKCA; Protein kinase C; alpha type; kinase PKC-alpha; PKCalpha recombinant antibody
Host
Rabbit
Reactivity
Human, Mouse, Rat
Clonality
Monoclonal
Isotype
Rabbit IgG
Specificity
PKC alpha Antibody detects endogenous levels of total PKC alpha
Purity/Purification
Affinity-chromatography
Form/Format
Rabbit IgG in phosphate buffered saline, pH7.4, 150mM NaCl, 0.02% sodium azide and 50% glycerol.
Applicable Applications for PKCalpha recombinant antibody
FCM/FACS (Flow Cytometry), IP (Immunoprecipitation), IF (Immunofluorescence), ICC (Immunocytochemistry), IHC (Immunohistochemistry), WB (Western Blot)
Immunogen
A synthesized peptide derived from human PKC alpha
Preparation and Storage
Store at +4 degree C short term. Store at -20 degree C long term. Avoid freeze/thaw cycle.
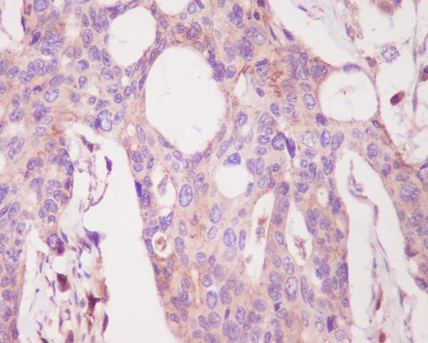
IHC (Immunohiostchemistry)
(Immunohistochemical analysis of paraffin-embedded human colon, using PKC alpha Antibody.)
Related Product Information for PKCalpha recombinant antibody
PKC alpha is an AGC kinase of the PKC family. A classical PKC downstream of many mitogenic and receptors. Classical PKCs are calcium-dependent enzymes that are activated by phosphatidylserine, diacylglycerol and phorbol esters.
Product Categories/Family for PKCalpha recombinant antibody
NCBI and Uniprot Product Information
NCBI GI #
NCBI GeneID
NCBI Accession #
NCBI GenBank Nucleotide #
Molecular Weight
76,750 Da
NCBI Official Full Name
protein kinase C alpha type
NCBI Official Synonym Full Names
protein kinase C, alpha
NCBI Official Symbol
PRKCA
NCBI Official Synonym Symbols
AAG6; PKCA; PRKACA; PKC-alpha
NCBI Protein Information
protein kinase C alpha type; PKC-A; aging-associated gene 6
UniProt Protein Name
Protein kinase C alpha type
UniProt Gene Name
PRKCA
UniProt Synonym Gene Names
PKCA; PRKACA; PKC-A; PKC-alpha
UniProt Entry Name
KPCA_HUMAN
Customer Reviews
Loading reviews...
Share Your Experience
Similar Products
Product Notes
The PKCalpha prkca (Catalog #AAA315162) is a Recombinant Antibody produced from Rabbit and is intended for research purposes only. The product is available for immediate purchase. The PKC alpha Rabbit mAb reacts with Human, Mouse, Rat and may cross-react with other species as described in the data sheet. AAA Biotech's PKC alpha can be used in a range of immunoassay formats including, but not limited to, FCM/FACS (Flow Cytometry), IP (Immunoprecipitation), IF (Immunofluorescence), ICC (Immunocytochemistry), IHC (Immunohistochemistry), WB (Western Blot). Researchers should empirically determine the suitability of the PKCalpha prkca for an application not listed in the data sheet. Researchers commonly develop new applications and it is an integral, important part of the investigative research process. It is sometimes possible for the material contained within the vial of "PKC alpha, Monoclonal Recombinant Antibody" to become dispersed throughout the inside of the vial, particularly around the seal of said vial, during shipment and storage. We always suggest centrifuging these vials to consolidate all of the liquid away from the lid and to the bottom of the vial prior to opening. Please be advised that certain products may require dry ice for shipping and that, if this is the case, an additional dry ice fee may also be required.Precautions
All products in the AAA Biotech catalog are strictly for research-use only, and are absolutely not suitable for use in any sort of medical, therapeutic, prophylactic, in-vivo, or diagnostic capacity. By purchasing a product from AAA Biotech, you are explicitly certifying that said products will be properly tested and used in line with industry standard. AAA Biotech and its authorized distribution partners reserve the right to refuse to fulfill any order if we have any indication that a purchaser may be intending to use a product outside of our accepted criteria.Disclaimer
Though we do strive to guarantee the information represented in this datasheet, AAA Biotech cannot be held responsible for any oversights or imprecisions. AAA Biotech reserves the right to adjust any aspect of this datasheet at any time and without notice. It is the responsibility of the customer to inform AAA Biotech of any product performance issues observed or experienced within 30 days of receipt of said product. To see additional details on this or any of our other policies, please see our Terms & Conditions page.Item has been added to Shopping Cart
If you are ready to order, navigate to Shopping Cart and get ready to checkout.
