Host
RMab
Reactivity
Human
Clonality
Monoclonal
Isotype
IgG
Clone Number
ZR-9
Form/Format
Prostein / P501S is a rabbit monoclonal antibody derived from cell culture supernatant that is concentrated, dialyzed, filter sterilized and diluted in buffer pH 7.5, containing BSA and sodium azide as a preservative.
Applicable Applications for anti-P501S antibody
IHC (Immunohistochemistry)
Localization
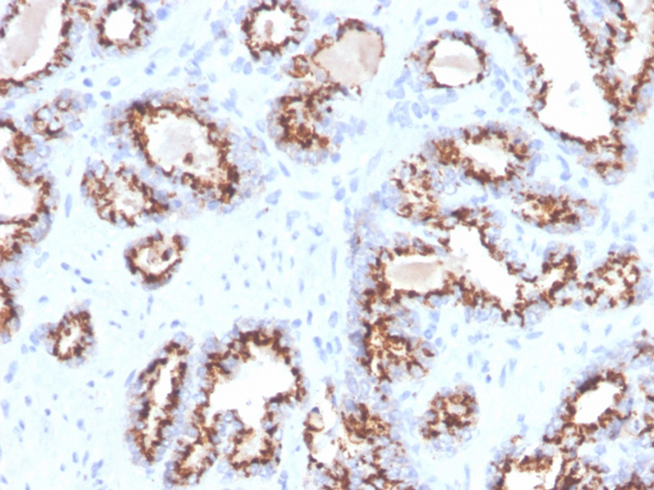
Cytoplasmic
Control
Prostate, Prostatic Adenocarcinoma
Intended Use
This antibody is intended for use in Immunohistochemical applications on formalin-fixed paraffin-embedded tissues (FFPE), frozen tissue sections and cell preparations. Interpretation of results should be performed by a qualified medical professional.
Immunogen
Synthetic peptide corresponding to the N-terminus of human prostein.
Preparation and Storage
Store at 2 to 8 degree C in the dark.
Related Product Information for anti-P501S antibody
Prostein/ P501S also known as Solute Carrier Family 45 member 3 (SLC45A3) and prostate cancer-associated protein 6, is a protein that in humans is encoded by the SLC45A3 gene. Prostein is expressed in prostate-specific normal tissues and at a significantly lower level in prostate tumor cell lines, but not in any other normal or malignant tissue examined to date. Prostein is considered to be a good marker to demonstrate prostatic origin in metastatic prostate cancer.
Prostatic origin has been traditionally confirmed in most cases by immunohistochemistry for prostate-specific antigen (PSA) and prostate-specific acid phosphatase (PSAP). In a small subset of high-grade prostate carcinomas, both markers are negative and therefore are not helpful for confirming prostatic origin. Prostein/P501S stain yields a perinuclear cytoplasmic (Golgi) distribution even in poorly differentiated tumors and metastases. In one study, two distant metastases were negative for PSA but retained focal weak positivity for Prostein/P501S. Two other distant metastases were weakly PSA positive, but strongly Prostein positive. Metastases in the pelvic lymph nodes were positive for both markers in 53 cases and 1 lymph node metastasis. In summary, 67 of the 69 cases (97%) of metastatic prostate carcinomas were PSA positive, whereas 68 of the 69 cases showed at least focal weak reactivity for Prostein (99%). None of the tumors were negative for both markers. Therefore, the Immunohistochemistry for P501S is a sensitive and highly specific marker for identifying prostate metastases. The large majority of metastatic prostatic adenocarcinomas are Prostein/P501S positive (99%). A small subset of metastatic prostatic adenocarcinoma shows significant differences in staining intensity and extent for PSA and Prostein/P501S and, therefore, the combined use of these markers may result in increased sensitivity for detecting prostatic origin.
Prostatic origin has been traditionally confirmed in most cases by immunohistochemistry for prostate-specific antigen (PSA) and prostate-specific acid phosphatase (PSAP). In a small subset of high-grade prostate carcinomas, both markers are negative and therefore are not helpful for confirming prostatic origin. Prostein/P501S stain yields a perinuclear cytoplasmic (Golgi) distribution even in poorly differentiated tumors and metastases. In one study, two distant metastases were negative for PSA but retained focal weak positivity for Prostein/P501S. Two other distant metastases were weakly PSA positive, but strongly Prostein positive. Metastases in the pelvic lymph nodes were positive for both markers in 53 cases and 1 lymph node metastasis. In summary, 67 of the 69 cases (97%) of metastatic prostate carcinomas were PSA positive, whereas 68 of the 69 cases showed at least focal weak reactivity for Prostein (99%). None of the tumors were negative for both markers. Therefore, the Immunohistochemistry for P501S is a sensitive and highly specific marker for identifying prostate metastases. The large majority of metastatic prostatic adenocarcinomas are Prostein/P501S positive (99%). A small subset of metastatic prostatic adenocarcinoma shows significant differences in staining intensity and extent for PSA and Prostein/P501S and, therefore, the combined use of these markers may result in increased sensitivity for detecting prostatic origin.
Customer Reviews
Loading reviews...
Share Your Experience
Similar Products
Product Notes
The P501S (Catalog #AAA59302) is an Antibody produced from RMab and is intended for research purposes only. The product is available for immediate purchase. The Prostein/P501S RMab reacts with Human and may cross-react with other species as described in the data sheet. AAA Biotech's Prostein/P501S can be used in a range of immunoassay formats including, but not limited to, IHC (Immunohistochemistry). Researchers should empirically determine the suitability of the P501S for an application not listed in the data sheet. Researchers commonly develop new applications and it is an integral, important part of the investigative research process. It is sometimes possible for the material contained within the vial of "Prostein/P501S, Monoclonal Antibody" to become dispersed throughout the inside of the vial, particularly around the seal of said vial, during shipment and storage. We always suggest centrifuging these vials to consolidate all of the liquid away from the lid and to the bottom of the vial prior to opening. Please be advised that certain products may require dry ice for shipping and that, if this is the case, an additional dry ice fee may also be required.Precautions
All products in the AAA Biotech catalog are strictly for research-use only, and are absolutely not suitable for use in any sort of medical, therapeutic, prophylactic, in-vivo, or diagnostic capacity. By purchasing a product from AAA Biotech, you are explicitly certifying that said products will be properly tested and used in line with industry standard. AAA Biotech and its authorized distribution partners reserve the right to refuse to fulfill any order if we have any indication that a purchaser may be intending to use a product outside of our accepted criteria.Disclaimer
Though we do strive to guarantee the information represented in this datasheet, AAA Biotech cannot be held responsible for any oversights or imprecisions. AAA Biotech reserves the right to adjust any aspect of this datasheet at any time and without notice. It is the responsibility of the customer to inform AAA Biotech of any product performance issues observed or experienced within 30 days of receipt of said product. To see additional details on this or any of our other policies, please see our Terms & Conditions page.Item has been added to Shopping Cart
If you are ready to order, navigate to Shopping Cart and get ready to checkout.
