Mouse pTau Phospho/Thr 181 Monoclonal Antibody | anti-pTau antibody
pTau Phospho/Thr 181 (BSB-176), MMab, 0.1mL Concentrate
Reactivity
Paraffin, Frozen
Synonyms
pTau Phospho/Thr 181, Antibody; pTau Phospho/Thr 181 (BSB-176), MMab, 0.1mL Concentrate; pTau Phospho (BSB-176), MMab; pTau Phospho/Thr 181; pTau Phospho/Thr 181, (BSB-176); MAPT; microtubule associated protein tau; p Tau; sc32275; phospho Tau; phosphorylated Tau; p- Tau; pTau; anti MAPT; anti microtubule associated protein tau; anti p Tau; anti p-Tau; anti pTau; anti-MAPT; anti-microtubule associated protein tau; anti-p Tau; anti-p-Tau; anti-pTau; DDPAC; FLJ31424; FTDP 17; G protein beta1 gamma2 subunit interacting factor 1; MAPTL; microtubule associated protein tau isoform 4; MSTD; MTBT1; MTBT2; Neurofibrillary tangle protein; Paired helical filament tau; PHF tau; PPND; TAU; TPA; anti-pTau antibody
Host
Mouse
Reactivity
Paraffin, Frozen
Clonality
Monoclonal
Isotype
IgG1K
Clone Number
BSB-176
Control
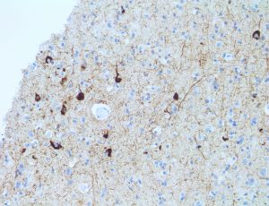
Brain
Product Categories/Family for anti-pTau antibody
Customer Reviews
Loading reviews...
Share Your Experience
Similar Products
Product Notes
The pTau (Catalog #AAA59474) is an Antibody produced from Mouse and is intended for research purposes only. The product is available for immediate purchase. The pTau Phospho/Thr 181 (BSB-176), MMab, 0.1mL Concentrate reacts with Paraffin, Frozen and may cross-react with other species as described in the data sheet. It is sometimes possible for the material contained within the vial of "pTau Phospho/Thr 181, Monoclonal Antibody" to become dispersed throughout the inside of the vial, particularly around the seal of said vial, during shipment and storage. We always suggest centrifuging these vials to consolidate all of the liquid away from the lid and to the bottom of the vial prior to opening. Please be advised that certain products may require dry ice for shipping and that, if this is the case, an additional dry ice fee may also be required.Precautions
All products in the AAA Biotech catalog are strictly for research-use only, and are absolutely not suitable for use in any sort of medical, therapeutic, prophylactic, in-vivo, or diagnostic capacity. By purchasing a product from AAA Biotech, you are explicitly certifying that said products will be properly tested and used in line with industry standard. AAA Biotech and its authorized distribution partners reserve the right to refuse to fulfill any order if we have any indication that a purchaser may be intending to use a product outside of our accepted criteria.Disclaimer
Though we do strive to guarantee the information represented in this datasheet, AAA Biotech cannot be held responsible for any oversights or imprecisions. AAA Biotech reserves the right to adjust any aspect of this datasheet at any time and without notice. It is the responsibility of the customer to inform AAA Biotech of any product performance issues observed or experienced within 30 days of receipt of said product. To see additional details on this or any of our other policies, please see our Terms & Conditions page.Item has been added to Shopping Cart
If you are ready to order, navigate to Shopping Cart and get ready to checkout.
