Rabbit Rab7 Monoclonal Antibody | anti-Rab7 antibody
Rab7 Rabbit mAb
Gene Names
RAB7A; RAB7; PRO2706
Reactivity
Human, Mouse, Rat
Applications
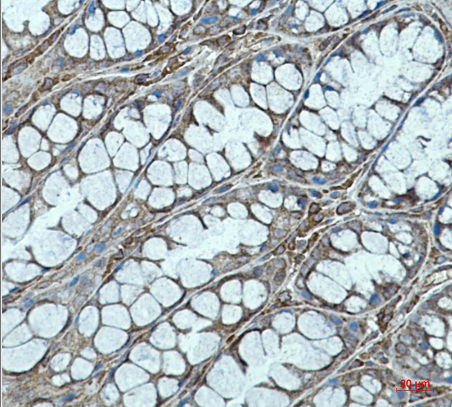
Immunofluorescence, Immunocytochemistry, Immunohistochemistry, Immunohistochemistry, Western Blot
Purity
Affinity Purified
Synonyms
Rab7, Antibody; Rab7 Rabbit mAb; RAB7; PRO2706; anti-Rab7 antibody
Host
Rabbit
Reactivity
Human, Mouse, Rat
Clonality
Monoclonal
Isotype
IgG
Clone Number
R07-8G1
Purity/Purification
Affinity Purified
Form/Format
50mM Tris-Glycine (pH 7.4), 0.15M NaCl, 40% Glycerol, 0.01% Sodium azide and 0.05% BSA
Applicable Applications for anti-Rab7 antibody
IF (Immunofluorescence), ICC (Immunocytochemistry), IHC (Immunohistochemistry), IHC (Immunohistochemistry), WB (Western Blot)
Immunogen
A synthetic peptide of human RAB7
Preparation and Storage
Store at 4 degree C short term. Aliquot and store at -20 degree C long term. Avoid freeze/thaw cycles.
Related Product Information for anti-Rab7 antibody
Plays a role in the fusion of phagosomes with lysosomes. Plays important roles in microbial pathogen infection and survival, as well as in participating in the life cycle of viruses. Microbial pathogens possess survival strategies governed by RAB7A, sometimes by employing RAB7A function (e.g. Salmonella) and sometimes by excluding RAB7A function
Product Categories/Family for anti-Rab7 antibody
NCBI and Uniprot Product Information
NCBI GI #
NCBI GeneID
Molecular Weight
207
NCBI Official Full Name
Ras-related protein Rab-7a
NCBI Official Synonym Full Names
RAB7A, member RAS oncogene family
NCBI Official Symbol
RAB7A
NCBI Official Synonym Symbols
RAB7; PRO2706
NCBI Protein Information
ras-related protein Rab-7a; Ras-associated protein RAB7; RAB7, member RAS oncogene family
UniProt Protein Name
Ras-related protein Rab-7a
UniProt Gene Name
RAB7A
UniProt Synonym Gene Names
RAB7
UniProt Entry Name
RAB7A_HUMAN
Customer Reviews
Loading reviews...
Share Your Experience
Similar Products
Product Notes
The Rab7 rab7a (Catalog #AAA269458) is an Antibody produced from Rabbit and is intended for research purposes only. The product is available for immediate purchase. The Rab7 Rabbit mAb reacts with Human, Mouse, Rat and may cross-react with other species as described in the data sheet. AAA Biotech's Rab7 can be used in a range of immunoassay formats including, but not limited to, IF (Immunofluorescence), ICC (Immunocytochemistry), IHC (Immunohistochemistry), IHC (Immunohistochemistry), WB (Western Blot). Researchers should empirically determine the suitability of the Rab7 rab7a for an application not listed in the data sheet. Researchers commonly develop new applications and it is an integral, important part of the investigative research process. It is sometimes possible for the material contained within the vial of "Rab7, Monoclonal Antibody" to become dispersed throughout the inside of the vial, particularly around the seal of said vial, during shipment and storage. We always suggest centrifuging these vials to consolidate all of the liquid away from the lid and to the bottom of the vial prior to opening. Please be advised that certain products may require dry ice for shipping and that, if this is the case, an additional dry ice fee may also be required.Precautions
All products in the AAA Biotech catalog are strictly for research-use only, and are absolutely not suitable for use in any sort of medical, therapeutic, prophylactic, in-vivo, or diagnostic capacity. By purchasing a product from AAA Biotech, you are explicitly certifying that said products will be properly tested and used in line with industry standard. AAA Biotech and its authorized distribution partners reserve the right to refuse to fulfill any order if we have any indication that a purchaser may be intending to use a product outside of our accepted criteria.Disclaimer
Though we do strive to guarantee the information represented in this datasheet, AAA Biotech cannot be held responsible for any oversights or imprecisions. AAA Biotech reserves the right to adjust any aspect of this datasheet at any time and without notice. It is the responsibility of the customer to inform AAA Biotech of any product performance issues observed or experienced within 30 days of receipt of said product. To see additional details on this or any of our other policies, please see our Terms & Conditions page.Item has been added to Shopping Cart
If you are ready to order, navigate to Shopping Cart and get ready to checkout.
