Rabbit Rb1 Monoclonal Antibody | anti-Rb1 antibody
Rb1 (Tumor Suppressor Protein)
Gene Names
RB1; RB; pRb; OSRC; pp110; p105-Rb; PPP1R130
Reactivity
Human, Mouse. Others not known.
Applications
Immunohistochemistry
Synonyms
Rb1, Antibody; Rb1 (Tumor Suppressor Protein); OSRC; Osteosarcoma; p105-Rb; PP105; pp110; pRb; Prepro retinoblastoma associated protein; RB1; Retinoblastoma 1; Retinoblastoma-associated protein; anti-Rb1 antibody
Host
Rabbit
Reactivity
Human, Mouse. Others not known.
Clonality
Monoclonal
Isotype
IgG
Clone Number
RB1/2313R
Specificity
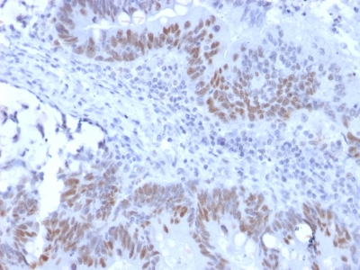
Recognizes a 105kDa phosphoprotein, identified as retinoblastoma (Rb) gene product. Its epitope is localized between aa 703-772. It shows no cross reaction with p107 or p130. It specifically stains the nuclei of BT-20 cells and primary human foreskin fibroblast (HFF) cells. It does not stain the Rb-negative BT549 cells. It reacts with the hyperphosphorylated as well as the un (under) phosphorylated form of the Rb protein. Retinoblastoma gene product plays a key role in cell cycle control. It has been identified as a tumor suppressor gene whose loss of its function leads to tumor development. It is widely expressed in a variety of human tissues including breast, esophageal, squamous cell and cervical carcinoma.
Form/Format
200ug/ml of Ab purified from Bioreactor Concentrate by Protein A/G. Prepared in 10mM PBS with 0.05% BSA & 0.05% azide. Also available WITHOUT BSA & azide at 1.0mg/ml.
Sequence Length
928
Applicable Applications for anti-Rb1 antibody
IHC (Immunohistochemistry)
Immunogen
Recombinant full-length human Rb1 protein
Cellular Localization
Nuclear
Hu-chromosome Location
13q14.2
Positive Control
HeLa, A431 or BT-20 cells. Breast or Colon carcinoma.
Preparation and Storage
Antibody with azide - store at 2 to 8 degree C.
Antibody without azide - store at -20 to -80 degree C.
Antibody is stable for 24 months. Non-hazardous. No MSDS required.
Antibody without azide - store at -20 to -80 degree C.
Antibody is stable for 24 months. Non-hazardous. No MSDS required.
References
Bartek J, et. al. Oncogene 7:101-108, 1992. Grand et al. 1989. Oncogene. 4(11):1291-8.
NCBI and Uniprot Product Information
NCBI GI #
NCBI GeneID
NCBI Accession #
NCBI GenBank Nucleotide #
Molecular Weight
105kDa
NCBI Official Full Name
retinoblastoma-associated protein
NCBI Official Synonym Full Names
RB transcriptional corepressor 1
NCBI Official Symbol
RB1
NCBI Official Synonym Symbols
RB; pRb; OSRC; pp110; p105-Rb; PPP1R130
NCBI Protein Information
retinoblastoma-associated protein
UniProt Protein Name
Retinoblastoma-associated protein
UniProt Gene Name
RB1
UniProt Synonym Gene Names
Rb
Customer Reviews
Loading reviews...
Share Your Experience
Similar Products
Product Notes
The Rb1 rb1 (Catalog #AAA214499) is an Antibody produced from Rabbit and is intended for research purposes only. The product is available for immediate purchase. The Rb1 (Tumor Suppressor Protein) reacts with Human, Mouse. Others not known. and may cross-react with other species as described in the data sheet. AAA Biotech's Rb1 can be used in a range of immunoassay formats including, but not limited to, IHC (Immunohistochemistry). Researchers should empirically determine the suitability of the Rb1 rb1 for an application not listed in the data sheet. Researchers commonly develop new applications and it is an integral, important part of the investigative research process. It is sometimes possible for the material contained within the vial of "Rb1, Monoclonal Antibody" to become dispersed throughout the inside of the vial, particularly around the seal of said vial, during shipment and storage. We always suggest centrifuging these vials to consolidate all of the liquid away from the lid and to the bottom of the vial prior to opening. Please be advised that certain products may require dry ice for shipping and that, if this is the case, an additional dry ice fee may also be required.Precautions
All products in the AAA Biotech catalog are strictly for research-use only, and are absolutely not suitable for use in any sort of medical, therapeutic, prophylactic, in-vivo, or diagnostic capacity. By purchasing a product from AAA Biotech, you are explicitly certifying that said products will be properly tested and used in line with industry standard. AAA Biotech and its authorized distribution partners reserve the right to refuse to fulfill any order if we have any indication that a purchaser may be intending to use a product outside of our accepted criteria.Disclaimer
Though we do strive to guarantee the information represented in this datasheet, AAA Biotech cannot be held responsible for any oversights or imprecisions. AAA Biotech reserves the right to adjust any aspect of this datasheet at any time and without notice. It is the responsibility of the customer to inform AAA Biotech of any product performance issues observed or experienced within 30 days of receipt of said product. To see additional details on this or any of our other policies, please see our Terms & Conditions page.Item has been added to Shopping Cart
If you are ready to order, navigate to Shopping Cart and get ready to checkout.
