Mouse S100 Calcium Binding Protein A6 (S100A6) Monoclonal Antibody | anti-S100A6 antibody
Monoclonal Antibody to S100 Calcium Binding Protein A6 (S100A6)
MHHHHHHSSG LVPRGSGMKE TAAAKFERQH MDSPDLGTDD DDKAMADIGS- MACPLDQAIG LLVAIFHKYS GREGDKHTLS KKELKELIQK ELTIGSKLQD AEIARLMEDL
Immunocytochemistry in formalin fixed cells: 1:100-500
Immunohistochemistry in formalin fixed frozen section: 1:100-500
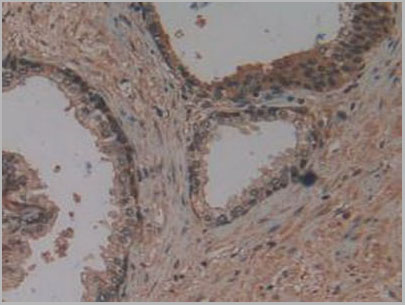
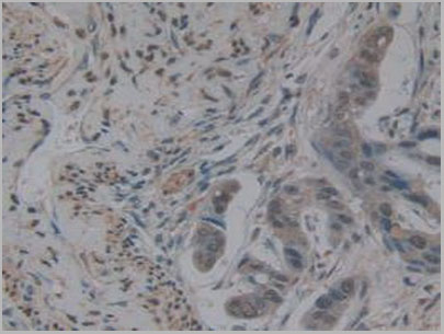
Immunohistochemistry in paraffin section: 1:50-200
Enzyme-linked Immunosorbent Assay: 1:100-200
WB (Western Blot)
(Western Blot: Sample: Human MCF7 cell lysate; Primary Ab: 3ug/ml Mouse Anti-Human S100A6 Antibody Second Ab: 0.2ug/mL HRP-Linked Caprine Anti-Mouse IgG Polyclonal Antibody)
WB (Western Blot)
(Western Blot: Sample: Lane1: Human Hela Cells; Lane2: Human A549 Cells; Lane3: Human Mcf7 Cells.)
NCBI and Uniprot Product Information
Similar Products
Product Notes
The S100A6 s100a6 (Catalog #AAA20295) is an Antibody produced from Mouse and is intended for research purposes only. The product is available for immediate purchase. The Monoclonal Antibody to S100 Calcium Binding Protein A6 (S100A6) reacts with Human, Mouse, Rat and may cross-react with other species as described in the data sheet. AAA Biotech's S100 Calcium Binding Protein A6 (S100A6) can be used in a range of immunoassay formats including, but not limited to, Immunocytochemistry (ICC), Immunohistochemistry (IHC) - Formalin/Paraffin, ELISA (EIA), Western Blot (WB). Western blotting: 1:100-400 Immunocytochemistry in formalin fixed cells: 1:100-500 Immunohistochemistry in formalin fixed frozen section: 1:100-500 Immunohistochemistry in paraffin section: 1:50-200 Enzyme-linked Immunosorbent Assay: 1:100-200. Researchers should empirically determine the suitability of the S100A6 s100a6 for an application not listed in the data sheet. Researchers commonly develop new applications and it is an integral, important part of the investigative research process. The amino acid sequence is listed below: Antigen: The target protein is fused with two N-terminal Tags, His-tag and S-tag and its sequence is listed below. MHHHHHHSSG LVPRGSGMKE TAAAKFERQH MDSPDLGTDD DDKAMADIGS - MACPLDQAIG LLVAIFHKYS GREGDKHTLS KKELKELIQK ELTIGSKLQD AEIARLMEDL. It is sometimes possible for the material contained within the vial of "S100 Calcium Binding Protein A6 (S100A6), Monoclonal Antibody" to become dispersed throughout the inside of the vial, particularly around the seal of said vial, during shipment and storage. We always suggest centrifuging these vials to consolidate all of the liquid away from the lid and to the bottom of the vial prior to opening. Please be advised that certain products may require dry ice for shipping and that, if this is the case, an additional dry ice fee may also be required.Precautions
All products in the AAA Biotech catalog are strictly for research-use only, and are absolutely not suitable for use in any sort of medical, therapeutic, prophylactic, in-vivo, or diagnostic capacity. By purchasing a product from AAA Biotech, you are explicitly certifying that said products will be properly tested and used in line with industry standard. AAA Biotech and its authorized distribution partners reserve the right to refuse to fulfill any order if we have any indication that a purchaser may be intending to use a product outside of our accepted criteria.Disclaimer
Though we do strive to guarantee the information represented in this datasheet, AAA Biotech cannot be held responsible for any oversights or imprecisions. AAA Biotech reserves the right to adjust any aspect of this datasheet at any time and without notice. It is the responsibility of the customer to inform AAA Biotech of any product performance issues observed or experienced within 30 days of receipt of said product. To see additional details on this or any of our other policies, please see our Terms & Conditions page.Item has been added to Shopping Cart
If you are ready to order, navigate to Shopping Cart and get ready to checkout.
