Mouse Smad3 Monoclonal Antibody | anti-Smad3 antibody
Smad3 mouse Monoclonal Antibody (4C9)
Gene Names
SMAD3; LDS3; LDS1C; MADH3; JV15-2; HSPC193; HsT17436
Reactivity
Human, Mouse, Rat
Applications
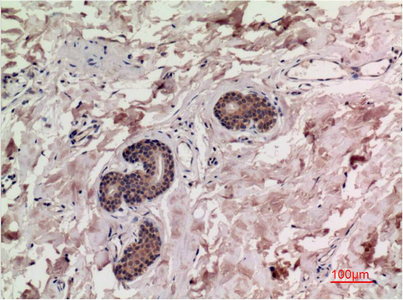
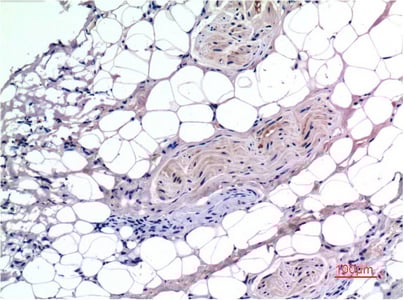
Immunohistochemistry, Western Blot
Synonyms
Smad3, Antibody; Smad3 mouse Monoclonal Antibody (4C9); SMAD3; anti-Smad3 antibody
Host
Mouse
Reactivity
Human, Mouse, Rat
Clonality
Monoclonal
Clone Number
4C9
Applicable Applications for anti-Smad3 antibody
IHC (Immunohistochemistry), WB (Western Blot)
Preparation and Storage
Maintain refrigerated at 2-8 degree C for up to 2 weeks. For long term storage store at -20 degree C in small aliquots to prevent freeze-thaw cycles.
Related Product Information for anti-Smad3 antibody
Receptor-regulated SMAD (R-SMAD) that is an intracellular signal transducer and transcriptional modulator activated by TGF-beta (transforming growth factor) and activin type 1 receptor kinases. Binds the TRE element in the promoter region of many genes that are regulated by TGF-beta and, on formation of the SMAD3/SMAD4 complex, activates transcription. Also can form a SMAD3/SMAD4/JUN/FOS complex at the AP-1/SMAD site to regulate TGF-beta-mediated transcription. Has an inhibitory effect on wound healing probably by modulating both growth and migration of primary keratinocytes and by altering the TGF- mediated chemotaxis of monocytes. This effect on wound healing appears to be hormone-sensitive. Regulator of chondrogenesis and osteogenesis and inhibits early healing of bone fractures. Positively regulates PDPK1 kinase activity by stimulating its dissociation from the 14-3-3 protein YWHAQ which acts as a negative regulator.
NCBI and Uniprot Product Information
NCBI GI #
NCBI GeneID
NCBI Accession #
NCBI GenBank Nucleotide #
UniProt Accession #
Molecular Weight
48,081 Da
NCBI Official Full Name
mothers against decapentaplegic homolog 3 isoform 2
NCBI Official Synonym Full Names
SMAD family member 3
NCBI Official Symbol
SMAD3
NCBI Official Synonym Symbols
LDS3; LDS1C; MADH3; JV15-2; HSPC193; HsT17436
NCBI Protein Information
mothers against decapentaplegic homolog 3; mad3; hMAD-3; hSMAD3; MAD homolog 3; mad homolog JV15-2; mad protein homolog; mothers against DPP homolog 3; SMA- and MAD-related protein 3; SMAD, mothers against DPP homolog 3; MAD, mothers against decapentapleg
UniProt Protein Name
Mothers against decapentaplegic homolog 3
UniProt Gene Name
SMAD3
UniProt Synonym Gene Names
MADH3; MAD homolog 3; Mad3; Mothers against DPP homolog 3; hMAD-3; SMAD 3; Smad3; hSMAD3
UniProt Entry Name
SMAD3_HUMAN
Customer Reviews
Loading reviews...
Share Your Experience
Similar Products
Product Notes
The Smad3 smad3 (Catalog #AAA293799) is an Antibody produced from Mouse and is intended for research purposes only. The product is available for immediate purchase. The Smad3 mouse Monoclonal Antibody (4C9) reacts with Human, Mouse, Rat and may cross-react with other species as described in the data sheet. AAA Biotech's Smad3 can be used in a range of immunoassay formats including, but not limited to, IHC (Immunohistochemistry), WB (Western Blot). Researchers should empirically determine the suitability of the Smad3 smad3 for an application not listed in the data sheet. Researchers commonly develop new applications and it is an integral, important part of the investigative research process. It is sometimes possible for the material contained within the vial of "Smad3, Monoclonal Antibody" to become dispersed throughout the inside of the vial, particularly around the seal of said vial, during shipment and storage. We always suggest centrifuging these vials to consolidate all of the liquid away from the lid and to the bottom of the vial prior to opening. Please be advised that certain products may require dry ice for shipping and that, if this is the case, an additional dry ice fee may also be required.Precautions
All products in the AAA Biotech catalog are strictly for research-use only, and are absolutely not suitable for use in any sort of medical, therapeutic, prophylactic, in-vivo, or diagnostic capacity. By purchasing a product from AAA Biotech, you are explicitly certifying that said products will be properly tested and used in line with industry standard. AAA Biotech and its authorized distribution partners reserve the right to refuse to fulfill any order if we have any indication that a purchaser may be intending to use a product outside of our accepted criteria.Disclaimer
Though we do strive to guarantee the information represented in this datasheet, AAA Biotech cannot be held responsible for any oversights or imprecisions. AAA Biotech reserves the right to adjust any aspect of this datasheet at any time and without notice. It is the responsibility of the customer to inform AAA Biotech of any product performance issues observed or experienced within 30 days of receipt of said product. To see additional details on this or any of our other policies, please see our Terms & Conditions page.Item has been added to Shopping Cart
If you are ready to order, navigate to Shopping Cart and get ready to checkout.
