Mouse smyd5 Monoclonal Antibody | anti-smyd5 antibody
smyd5 (18F5) Mouse mAb
Gene Names
smyd5; zgc:103480
Reactivity
Human, Monkey, Mouse, Chinese Hamster, Dog, Rat
Applications
Immunofluorescence, Western Blot
Synonyms
smyd5, Antibody; smyd5 (18F5) Mouse mAb; anti-smyd5 antibody
Host
Mouse
Reactivity
Human, Monkey, Mouse, Chinese Hamster, Dog, Rat
Clonality
Monoclonal
Isotype
IgG
Specificity
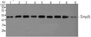
Smy5 Mouse monoclonal antibody detects endogenous levels of total Smyd5 protein.
Sequence Length
415
Applicable Applications for anti-smyd5 antibody
IF (Immunofluorescence), WB (Western Blot)
Source Note
This monoclonal antibody is produced by immunizing mice with a peptide corresponding to amino-terminal residues of human Smyd5.
Preparation and Storage
Store at -20 degree C. Stable for one year from the date of shipment.
Related Product Information for anti-smyd5 antibody
SET and MYND domai containg 5 also named Retinoic acid-induced protein 152. This protein encoded by this gene is one member of SET domain-containg proteins family.
Product Categories/Family for anti-smyd5 antibody
References
1. Shago M, Giguere V. Mol Cell Biol. 1996 Aug; 16(8): 4337-48. 2. Gerhard DS, Wagner L, Genome Res. 2004 Oct; 14(10B); 2121-7.
NCBI and Uniprot Product Information
NCBI GI #
NCBI GeneID
NCBI Accession #
NCBI GenBank Nucleotide #
Molecular Weight
Predicted MW: 47kDa
NCBI Official Full Name
SET and MYND domain-containing protein 5
NCBI Official Synonym Full Names
SMYD family member 5
NCBI Official Symbol
smyd5
NCBI Official Synonym Symbols
zgc:103480
NCBI Protein Information
SET and MYND domain-containing protein 5
Customer Reviews
Loading reviews...
Share Your Experience
Similar Products
Product Notes
The smyd5 (Catalog #AAA62291) is an Antibody produced from Mouse and is intended for research purposes only. The product is available for immediate purchase. The smyd5 (18F5) Mouse mAb reacts with Human, Monkey, Mouse, Chinese Hamster, Dog, Rat and may cross-react with other species as described in the data sheet. AAA Biotech's smyd5 can be used in a range of immunoassay formats including, but not limited to, IF (Immunofluorescence), WB (Western Blot). Researchers should empirically determine the suitability of the smyd5 for an application not listed in the data sheet. Researchers commonly develop new applications and it is an integral, important part of the investigative research process. It is sometimes possible for the material contained within the vial of "smyd5, Monoclonal Antibody" to become dispersed throughout the inside of the vial, particularly around the seal of said vial, during shipment and storage. We always suggest centrifuging these vials to consolidate all of the liquid away from the lid and to the bottom of the vial prior to opening. Please be advised that certain products may require dry ice for shipping and that, if this is the case, an additional dry ice fee may also be required.Precautions
All products in the AAA Biotech catalog are strictly for research-use only, and are absolutely not suitable for use in any sort of medical, therapeutic, prophylactic, in-vivo, or diagnostic capacity. By purchasing a product from AAA Biotech, you are explicitly certifying that said products will be properly tested and used in line with industry standard. AAA Biotech and its authorized distribution partners reserve the right to refuse to fulfill any order if we have any indication that a purchaser may be intending to use a product outside of our accepted criteria.Disclaimer
Though we do strive to guarantee the information represented in this datasheet, AAA Biotech cannot be held responsible for any oversights or imprecisions. AAA Biotech reserves the right to adjust any aspect of this datasheet at any time and without notice. It is the responsibility of the customer to inform AAA Biotech of any product performance issues observed or experienced within 30 days of receipt of said product. To see additional details on this or any of our other policies, please see our Terms & Conditions page.Item has been added to Shopping Cart
If you are ready to order, navigate to Shopping Cart and get ready to checkout.
