Mouse anti-Human TGFB2 Monoclonal Antibody | anti-TGFB2 antibody
TGFB2 Antibody
WB (Western Blot)
(TGFB2/MB10181 antibody western blot analysis in A549 cell line lysates (35ug/lane).This demonstrates the TGFB2/MB10181 antibody detected the TGFB2/MB10181 protein (arrow).)
IF (Immunofluorescence)
(Confocal immunofluorescent analysis of TGFB2 Antibody with A549 cell followed by Alexa Fluor 488-conjugated goat anti-rabbit lgG (green).DAPI was used to stain the cell nuclear (blue).)
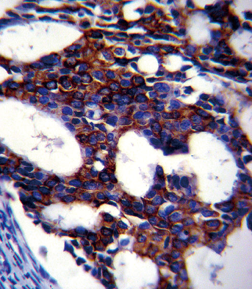
IHC (Immunohiostchemistry)
(TGFB2 Antibody immunohistochemistry analysis in formalin fixed and paraffin embedded human colon carcinoma followed by peroxidase conjugation of the secondary antibody and DAB staining.This data demonstrates the use of TGFB2 Antibody for immunohistochemistry. Clinical relevance has not been evaluated.)
IHC (Immunohistochemistry)
(TGFB2 Antibody immunohistochemistry analysis in formalin fixed and paraffin embedded human breast carcinoma followed by peroxidase conjugation of the secondary antibody and DAB staining.This data demonstrates the use of TGFB2 Antibody for immunohistochemistry. Clinical relevance has not been evaluated.)
factor beta (TGFB) family of cytokines, which are multifunctional
peptides that regulate proliferation, differentiation, adhesion,
migration, and other functions in many cell types by transducing
their signal through combinations of transmembrane type I and type
II receptors (TGFBR1 and TGFBR2) and their downstream effectors,
the SMAD proteins. Disruption of the TGFB/SMAD pathway has been
implicated in a variety of human cancers. The encoded protein is
secreted and has suppressive effects of interleukin-2 dependent
T-cell growth. Translocation t(1;7)(q41;p21) between this gene and
HDAC9 is associated with Peters' anomaly, a congenital defect of
the anterior chamber of the eye. The knockout mice lacking this
gene show perinatal mortality and a wide range of developmental,
including cardiac, defects. Alternatively spliced transcript
variants encoding different isoforms have been identified.
Bailey, S.D., et al. Diabetes Care (2010) In press :
Jugessur, A., et al. PLoS ONE 5 (7), E11493 (2010) :
Johnatty, S.E., et al. PLoS Genet. 6 (7), E1001016 (2010) :
Sambo, M.R., et al. PLoS ONE 5 (6), E11141 (2010) :
NCBI and Uniprot Product Information
Customer Reviews
Loading reviews...
Share Your Experience
Similar Products
Product Notes
The TGFB2 tgfb2 (Catalog #AAA283466) is an Antibody produced from Mouse and is intended for research purposes only. The product is available for immediate purchase. The TGFB2 Antibody reacts with Human and may cross-react with other species as described in the data sheet. AAA Biotech's TGFB2 can be used in a range of immunoassay formats including, but not limited to, WB (Western Blot), IF (Immunofluorescence), IHC (Immunohistochemistry), ELISA. Researchers should empirically determine the suitability of the TGFB2 tgfb2 for an application not listed in the data sheet. Researchers commonly develop new applications and it is an integral, important part of the investigative research process. It is sometimes possible for the material contained within the vial of "TGFB2, Monoclonal Antibody" to become dispersed throughout the inside of the vial, particularly around the seal of said vial, during shipment and storage. We always suggest centrifuging these vials to consolidate all of the liquid away from the lid and to the bottom of the vial prior to opening. Please be advised that certain products may require dry ice for shipping and that, if this is the case, an additional dry ice fee may also be required.Precautions
All products in the AAA Biotech catalog are strictly for research-use only, and are absolutely not suitable for use in any sort of medical, therapeutic, prophylactic, in-vivo, or diagnostic capacity. By purchasing a product from AAA Biotech, you are explicitly certifying that said products will be properly tested and used in line with industry standard. AAA Biotech and its authorized distribution partners reserve the right to refuse to fulfill any order if we have any indication that a purchaser may be intending to use a product outside of our accepted criteria.Disclaimer
Though we do strive to guarantee the information represented in this datasheet, AAA Biotech cannot be held responsible for any oversights or imprecisions. AAA Biotech reserves the right to adjust any aspect of this datasheet at any time and without notice. It is the responsibility of the customer to inform AAA Biotech of any product performance issues observed or experienced within 30 days of receipt of said product. To see additional details on this or any of our other policies, please see our Terms & Conditions page.Item has been added to Shopping Cart
If you are ready to order, navigate to Shopping Cart and get ready to checkout.
