Host
Mouse
Reactivity
Human, Mouse, Rat
Ractivity note: Paraffin, Frozen
Ractivity note: Paraffin, Frozen
Clonality
Monoclonal
Isotype
IgG1
Clone Number
2H11/6E1
Form/Format
Thyroglobulin is a mouse monoclonal antibody derived from cell culture supernatant that is concentrated, dialyzed, filter sterilized and diluted in buffer pH 7.5, containing BSA and sodium azide as a preservative.
Sequence Length
2768
Applicable Applications for anti-TG antibody
IHC (Immunohistochemistry)
Localization
Cytoplasmic
Control
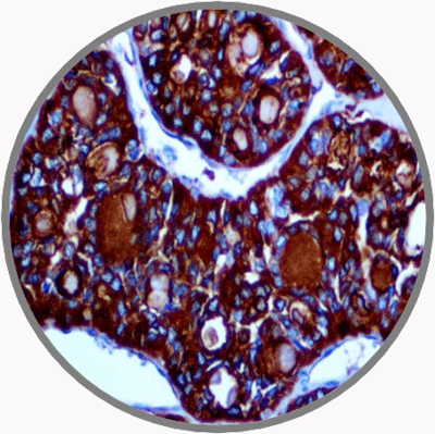
Thyroid, Thyroid Carcinoma
Intended Use
This antibody is intended for use in Immunohistochemical applications on formalinfixed paraffin-embedded tissues (FFPE), frozen tissue sections and cell preparations. Interpretation of results should be performed by a qualified medical professional.
Immunogen
Purified human thyroglobulin.
Precautions
1. For professional users only. Results should be interpreted by a qualified medical professional.
2. This product contains <0.1% sodium azide (NaN?) as a preservative. Ensure proper handling procedures are used with this reagent.
3. Always wear personal protective equipment such as laboratory coat, goggles and gloves when handling reagents.
4. Dispose of unused solution with copious amount of water.
5. Do not ingest reagent. If reagent is ingested, seek medical advice immediately.
6. Avoid contact with eyes. If contact occurs, flush with large quantities of water.
7. Follow safety precautions of the heating device used for epitope retrieval (TintoRetriever Pressure Cooker or similar).
8. For additional safety information refer to Safety Data Sheet for this product.
9. For complete recommendations for handling biological specimens, please refer to the CDC document, “Guidelines for Safe Work Practices in Human and AMDL”
2. This product contains <0.1% sodium azide (NaN?) as a preservative. Ensure proper handling procedures are used with this reagent.
3. Always wear personal protective equipment such as laboratory coat, goggles and gloves when handling reagents.
4. Dispose of unused solution with copious amount of water.
5. Do not ingest reagent. If reagent is ingested, seek medical advice immediately.
6. Avoid contact with eyes. If contact occurs, flush with large quantities of water.
7. Follow safety precautions of the heating device used for epitope retrieval (TintoRetriever Pressure Cooker or similar).
8. For additional safety information refer to Safety Data Sheet for this product.
9. For complete recommendations for handling biological specimens, please refer to the CDC document, “Guidelines for Safe Work Practices in Human and AMDL”
Staining Procedure
1. Cut and mount 3-5 micron formalin-fixed paraffin-embedded tissues on positively charged slides such as Hydrophilic Plus Slides (please inquire).
2. Air dry for 2 hours at 58° C.
3. Deparaffinize, dehydrate and rehydrate tissues.
4. Subject tissues to heat induced epitope retrieval (HIER) using a suitable retrieval solution such as ImmunoDNA Retriever with Citrate (please inquire) or EDTA (please inquire).
5. Any of three heating methods may be used:
a. TintoRetriever Pressure Cooker or Equivalent Place tissues/slides in a staining dish or coplin jar containing the ImmunoDNA Retriever with Citrate or EDTA, and place on trivet in the pressure cooker. Add 1-2 inches of distilled water to the pressure cooker and turn heat to high. Incubate for 15 minutes. Open and immediately transfer slides to room temperature.
b. TintoRetriever PT Module or Water Bath Method Place tissues/slides in a pre-warmed staining dish or coplin jar containing the ImmunoDNA Retriever with Citrate or EDTA at 95°-99° C. Incubate for 30-60 minutes.
c. Conventional Steamer Method Place tissues/slides in a pre-warmed staining dish or coplin jar containing the ImmunoDNA Retriever with Citrate or EDTA in a steamer, cover and steam for 30-60 minutes.
6. After heat treatment, transfer slides in ImmunoDNA Retriever with Citrate or EDTA to room temperature and let stand for 15-20 minutes.
7. For manual staining, perform antibody incubation at ambient temperature. For automated staining methods, perform antibody incubation according to instrument manufacturer’s instructions.
8. Wash slides with ImmunoDNA washer or DI water.
9. Continue IHC staining protocol. Wash slides between each step with ImmunoDNA washer solution.
2. Air dry for 2 hours at 58° C.
3. Deparaffinize, dehydrate and rehydrate tissues.
4. Subject tissues to heat induced epitope retrieval (HIER) using a suitable retrieval solution such as ImmunoDNA Retriever with Citrate (please inquire) or EDTA (please inquire).
5. Any of three heating methods may be used:
a. TintoRetriever Pressure Cooker or Equivalent Place tissues/slides in a staining dish or coplin jar containing the ImmunoDNA Retriever with Citrate or EDTA, and place on trivet in the pressure cooker. Add 1-2 inches of distilled water to the pressure cooker and turn heat to high. Incubate for 15 minutes. Open and immediately transfer slides to room temperature.
b. TintoRetriever PT Module or Water Bath Method Place tissues/slides in a pre-warmed staining dish or coplin jar containing the ImmunoDNA Retriever with Citrate or EDTA at 95°-99° C. Incubate for 30-60 minutes.
c. Conventional Steamer Method Place tissues/slides in a pre-warmed staining dish or coplin jar containing the ImmunoDNA Retriever with Citrate or EDTA in a steamer, cover and steam for 30-60 minutes.
6. After heat treatment, transfer slides in ImmunoDNA Retriever with Citrate or EDTA to room temperature and let stand for 15-20 minutes.
7. For manual staining, perform antibody incubation at ambient temperature. For automated staining methods, perform antibody incubation according to instrument manufacturer’s instructions.
8. Wash slides with ImmunoDNA washer or DI water.
9. Continue IHC staining protocol. Wash slides between each step with ImmunoDNA washer solution.
Mounting Protocols
For detailed instructions using biodegradable permanent mounting media such as XyGreen PermaMounter (please inquire) or organic solvent based resin such as PermaMounter (please inquire).
Product Limitations
Due to inherent variability present in immunohistochemical procedures (including fixation time of tissues, dilution factor of antibody, retrieval method utilized and incubation time), optimal performance should be established through the use of positive and negative controls. Results should be interpreted by a qualified medical professional.
Preparation and Storage
Store at 2°C to 8°C.
Stability: This product is stable up to the expiration date on the product label. Do not use after expiration date listed on package label. Temperature fluctuations should be avoided. Store appropriately when not in use, and avoid prolonged exposure to room temperature conditions.
Stability: This product is stable up to the expiration date on the product label. Do not use after expiration date listed on package label. Temperature fluctuations should be avoided. Store appropriately when not in use, and avoid prolonged exposure to room temperature conditions.
Related Product Information for anti-TG antibody
Thyroglobulin (Tg) is a 660 kDa, dimeric protein produced by and used entirely within the thyroid gland. Tg is used by the thyroid gland to produce the thyroid hormones thyroxine (T4) and triiodothyronine (T3). The active form of thyroxine, triiodothyronine, is produced both within the thyroid gland and on the periphery by 5'-deiodinase, which has been referred to as Tetraiodothyronine-5-deiodinase.This antibody reacts with human thyroglobulin as demonstrated by a single band of immunoblotting in a lysate of human thyroid tissue. The vast majority of follicular carcinomas of the thyroid will give positive immunoreactivity for thyroglobulin, sometimes only focally. Poorly-differentiated Carcinomas of the Thyroid are frequently thyroglobulin negative. Adenocarcinomas of non-thyroid origin do not react with this antibody.
NCBI and Uniprot Product Information
NCBI GI #
NCBI GeneID
NCBI Accession #
NCBI GenBank Nucleotide #
NCBI Official Full Name
thyroglobulin
NCBI Official Synonym Full Names
thyroglobulin
NCBI Official Symbol
TG
NCBI Official Synonym Symbols
TGN; AITD3
NCBI Protein Information
thyroglobulin
UniProt Protein Name
Thyroglobulin
UniProt Gene Name
TG
UniProt Synonym Gene Names
Tg
UniProt Entry Name
THYG_HUMAN
Customer Reviews
Loading reviews...
Share Your Experience
Similar Products
Product Notes
The TG tg (Catalog #AAA59306) is an Antibody produced from Mouse and is intended for research purposes only. The product is available for immediate purchase. The Thyroglobulin reacts with Human, Mouse, Rat Ractivity note: Paraffin, Frozen and may cross-react with other species as described in the data sheet. AAA Biotech's Thyroglobulin can be used in a range of immunoassay formats including, but not limited to, IHC (Immunohistochemistry). Researchers should empirically determine the suitability of the TG tg for an application not listed in the data sheet. Researchers commonly develop new applications and it is an integral, important part of the investigative research process. It is sometimes possible for the material contained within the vial of "Thyroglobulin, Monoclonal Antibody" to become dispersed throughout the inside of the vial, particularly around the seal of said vial, during shipment and storage. We always suggest centrifuging these vials to consolidate all of the liquid away from the lid and to the bottom of the vial prior to opening. Please be advised that certain products may require dry ice for shipping and that, if this is the case, an additional dry ice fee may also be required.Precautions
All products in the AAA Biotech catalog are strictly for research-use only, and are absolutely not suitable for use in any sort of medical, therapeutic, prophylactic, in-vivo, or diagnostic capacity. By purchasing a product from AAA Biotech, you are explicitly certifying that said products will be properly tested and used in line with industry standard. AAA Biotech and its authorized distribution partners reserve the right to refuse to fulfill any order if we have any indication that a purchaser may be intending to use a product outside of our accepted criteria.Disclaimer
Though we do strive to guarantee the information represented in this datasheet, AAA Biotech cannot be held responsible for any oversights or imprecisions. AAA Biotech reserves the right to adjust any aspect of this datasheet at any time and without notice. It is the responsibility of the customer to inform AAA Biotech of any product performance issues observed or experienced within 30 days of receipt of said product. To see additional details on this or any of our other policies, please see our Terms & Conditions page.Item has been added to Shopping Cart
If you are ready to order, navigate to Shopping Cart and get ready to checkout.
