Mouse Thyroglobulin Monoclonal Antibody | anti-TG antibody
Thyroglobulin (Thyroidal Cell Marker)
Gene Names
TG; TGN; AITD3
Reactivity
Human. Others not known.
Applications
Immunohistochemistry, Flow Cytometry, Functional Assay
Synonyms
Thyroglobulin, Antibody; Thyroglobulin (Thyroidal Cell Marker); AITD3; hTG; TDH3; Tg; Tgn; anti-TG antibody
Host
Mouse
Reactivity
Human. Others not known.
Clonality
Monoclonal
Isotype
IgG1
Clone Number
rTGB24
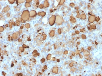
Specificity
Thyroglobulin is a 660kDa dimeric pre-protein with multiple glycosylation sites. It is produced by and processed within the thyroid gland to produce the hormone thyroxine and triiodothyronine. Prior to forming dimers, thyroglobulin monomers undergo conformational maturation in the endoplasmic reticulation. The vast majority of follicular carcinomas of the thyroid will give positive immunoreactivity for anti-thyroglobulin even though sometimes only focally. Poorly differentiated carcinomas of the thyroid are frequently anti-thyroglobulin negative. Adenocarcinomas of other-than-thyroid origin do not react with this antibody. This antibody is useful in identification of thyroid carcinoma of the papillary and follicular types. Presence of thyroglobulin in metastatic lesions establishes the thyroid origin of tumor. Anti-thyroglobulin, combined with anti-calcitonin, can identify medullary carcinomas of the thyroid. Furthermore, anti-thyroglobulin, combined with anti-TTF1, can be a reliable marker to differentiate between primary thyroid and lung neoplasms.
Form/Format
200ug/ml of Ab purified from Bioreactor Concentrate by Protein A/G. Prepared in 10mM PBS with 0.05% BSA & 0.05% azide. Also available WITHOUT BSA & azide at 1.0mg/ml.
Sequence Length
2768
Applicable Applications for anti-TG antibody
IHC (Immunohistochemistry), FCM/FACS (Flow Cytometry)
Immunogen
Human thyroid follicular cells
Cellular Localization
Cytoplasmic, Secreted
Hu-chromosome Location
8q24.22
Positive Control
Thyroid
Preparation and Storage
Antibody with azide - store at 2 to 8 degree C.
Antibody without azide - store at -20 to -80 degree C.
Antibody is stable for 24 months. Non-hazardous. No MSDS required.
Antibody without azide - store at -20 to -80 degree C.
Antibody is stable for 24 months. Non-hazardous. No MSDS required.
References
1.Ossendorp FA, et. al. Journal of Immunological Methods, 1989, 120(2):191-200.
NCBI and Uniprot Product Information
NCBI GI #
NCBI GeneID
NCBI Accession #
NCBI GenBank Nucleotide #
Molecular Weight
660kDa (Dimeric Form)
NCBI Official Full Name
thyroglobulin
NCBI Official Synonym Full Names
thyroglobulin
NCBI Official Symbol
TG
NCBI Official Synonym Symbols
TGN; AITD3
NCBI Protein Information
thyroglobulin
UniProt Protein Name
Thyroglobulin
UniProt Gene Name
TG
UniProt Synonym Gene Names
Tg
Customer Reviews
Loading reviews...
Share Your Experience
Similar Products
Product Notes
The TG tg (Catalog #AAA214528) is an Antibody produced from Mouse and is intended for research purposes only. The product is available for immediate purchase. The Thyroglobulin (Thyroidal Cell Marker) reacts with Human. Others not known. and may cross-react with other species as described in the data sheet. AAA Biotech's Thyroglobulin can be used in a range of immunoassay formats including, but not limited to, IHC (Immunohistochemistry), FCM/FACS (Flow Cytometry). Researchers should empirically determine the suitability of the TG tg for an application not listed in the data sheet. Researchers commonly develop new applications and it is an integral, important part of the investigative research process. It is sometimes possible for the material contained within the vial of "Thyroglobulin, Monoclonal Antibody" to become dispersed throughout the inside of the vial, particularly around the seal of said vial, during shipment and storage. We always suggest centrifuging these vials to consolidate all of the liquid away from the lid and to the bottom of the vial prior to opening. Please be advised that certain products may require dry ice for shipping and that, if this is the case, an additional dry ice fee may also be required.Precautions
All products in the AAA Biotech catalog are strictly for research-use only, and are absolutely not suitable for use in any sort of medical, therapeutic, prophylactic, in-vivo, or diagnostic capacity. By purchasing a product from AAA Biotech, you are explicitly certifying that said products will be properly tested and used in line with industry standard. AAA Biotech and its authorized distribution partners reserve the right to refuse to fulfill any order if we have any indication that a purchaser may be intending to use a product outside of our accepted criteria.Disclaimer
Though we do strive to guarantee the information represented in this datasheet, AAA Biotech cannot be held responsible for any oversights or imprecisions. AAA Biotech reserves the right to adjust any aspect of this datasheet at any time and without notice. It is the responsibility of the customer to inform AAA Biotech of any product performance issues observed or experienced within 30 days of receipt of said product. To see additional details on this or any of our other policies, please see our Terms & Conditions page.Item has been added to Shopping Cart
If you are ready to order, navigate to Shopping Cart and get ready to checkout.
