anti-Human Tisotumab Monoclonal Antibody | anti-F3 antibody
Research Grade Tisotumab
Gene Names
F3; TF; TFA; CD142
Reactivity
Human
Purity
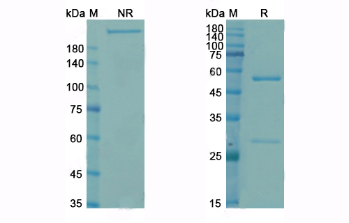
>95% as determined by SDS-PAGE; Protein A or G purified from cell culture supernatant.
Synonyms
Tisotumab, Antibody; Research Grade Tisotumab; HuMax-TF-ADC; TF-011-MMAE; HuMax-TF; Tissue factor; CD142; F3; Thromboplastin; Coagulation factor III; TF; anti-F3 antibody
Reactivity
Human
Clonality
Monoclonal
Isotype
IgG1-kappa
Clone Number
Tisotumab
Purity/Purification
>95% as determined by SDS-PAGE; Protein A or G purified from cell culture supernatant.
Form/Format
Liquid. 100 mM Pro-Ac, 20 mM Arg, pH 5.0
Concentration
9.33 mg/ml (varies by lot)
Host Species
Human
Expression System
Mammalian Cells
Dry Ice Note
The product may be shipped with dry ice, and an additional fee may be added to your shipping cost.
Preparation and Storage
Store at -20 degree C short term. Store at -80 degree C long term.
Use a manual defrost freezer and avoid repeated freeze-thaw cycles.
Use a manual defrost freezer and avoid repeated freeze-thaw cycles.
Product Categories/Family for anti-F3 antibody
References
Tisotumab vedotin in patients with advanced or metastatic solid tumours (InnovaTV 201): a first-in-human, multicentre, phase 1-2 trial, PMID: 30745090
Tisotumab Vedotin Yields Responses as Second-Line Cervical Cancer Therapy, PMID: 33931438
Efficacy and safety of tisotumab vedotin in previously treated recurrent or metastatic cervical cancer (innovaTV 204/GOG-3023/ENGOT-cx6): a multicentre, open-label, single-arm, phase 2 study, PMID: 33845034
Treating Tissue Factor-Positive Cancers with Antibody-Drug Conjugates That Do Not Affect Blood Clotting, PMID: 30126944
Tisotumab Vedotin Yields Responses as Second-Line Cervical Cancer Therapy, PMID: 33931438
Efficacy and safety of tisotumab vedotin in previously treated recurrent or metastatic cervical cancer (innovaTV 204/GOG-3023/ENGOT-cx6): a multicentre, open-label, single-arm, phase 2 study, PMID: 33845034
Treating Tissue Factor-Positive Cancers with Antibody-Drug Conjugates That Do Not Affect Blood Clotting, PMID: 30126944
NCBI and Uniprot Product Information
NCBI GI #
NCBI GeneID
NCBI Accession #
NCBI GenBank Nucleotide #
NCBI Official Full Name
tissue factor isoform 2
NCBI Official Synonym Full Names
coagulation factor III (thromboplastin, tissue factor)
NCBI Official Symbol
F3
NCBI Official Synonym Symbols
TF; TFA; CD142
NCBI Protein Information
tissue factor
UniProt Protein Name
Tissue factor
UniProt Gene Name
F3
UniProt Synonym Gene Names
TF
UniProt Entry Name
TF_HUMAN
Customer Reviews
Loading reviews...
Share Your Experience
Similar Products
Product Notes
The F3 f3 (Catalog #AAA120040) is an Antibody and is intended for research purposes only. The product is available for immediate purchase. The Research Grade Tisotumab reacts with Human and may cross-react with other species as described in the data sheet. It is sometimes possible for the material contained within the vial of "Tisotumab, Monoclonal Antibody" to become dispersed throughout the inside of the vial, particularly around the seal of said vial, during shipment and storage. We always suggest centrifuging these vials to consolidate all of the liquid away from the lid and to the bottom of the vial prior to opening. Please be advised that certain products may require dry ice for shipping and that, if this is the case, an additional dry ice fee may also be required.Precautions
All products in the AAA Biotech catalog are strictly for research-use only, and are absolutely not suitable for use in any sort of medical, therapeutic, prophylactic, in-vivo, or diagnostic capacity. By purchasing a product from AAA Biotech, you are explicitly certifying that said products will be properly tested and used in line with industry standard. AAA Biotech and its authorized distribution partners reserve the right to refuse to fulfill any order if we have any indication that a purchaser may be intending to use a product outside of our accepted criteria.Disclaimer
Though we do strive to guarantee the information represented in this datasheet, AAA Biotech cannot be held responsible for any oversights or imprecisions. AAA Biotech reserves the right to adjust any aspect of this datasheet at any time and without notice. It is the responsibility of the customer to inform AAA Biotech of any product performance issues observed or experienced within 30 days of receipt of said product. To see additional details on this or any of our other policies, please see our Terms & Conditions page.Item has been added to Shopping Cart
If you are ready to order, navigate to Shopping Cart and get ready to checkout.
