Rabbit anti-Human TPO (Thyroid Peroxidase) Monoclonal Antibody | anti-TPO antibody
TPO (Thyroid Peroxidase) (Thyroid Marker) Recombinant Rabbit Monoclonal Antibody [Clone TPO/6417R]
Gene Names
TPO; MSA; TPX; TDH2A
Reactivity
Human
Applications
Immunohistochemistry
Synonyms
TPO (Thyroid Peroxidase), Antibody; TPO (Thyroid Peroxidase) (Thyroid Marker) Recombinant Rabbit Monoclonal Antibody [Clone TPO/6417R]; TPO (Thyroid Peroxidase) (Thyroid Marker); MSA; TDH2A; Thyroid microsomal antigen; Thyroid peroxidase; Thyroperoxidase; TPO; TPX; anti-TPO antibody
Host
Rabbit
Reactivity
Human
Clonality
Monoclonal
Isotype
Rabbit/IgG
Clone Number
TPO/6417R
Form/Format
200ug/ml of Ab purified from Bioreactor Concentrate by Protein A/G. Prepared in 10mM PBS with 0. 05% BSA & 0. 05% azide. Also available WITHOUT BSA & azide at 1.0mg/ml.
Concentration
Purified Ab with BSA and Azide at 200ug/ml
OR
Purified Ab WITHOUT BSA and Azide at 1.0mg/ml (varies by lot)
OR
Purified Ab WITHOUT BSA and Azide at 1.0mg/ml (varies by lot)
Applicable Applications for anti-TPO antibody
IHC (Immunohistochemistry)
Antibody Type
Recombinant Antibody
Immunogen
Recombinant fragment of human TPO (around aa 685-804) (Exact sequence is proprietary)
Cellular Localization
Cytoplasm, Cell surface
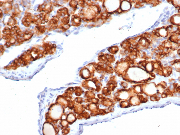
Positive Control
Human thyroid carcinoma.
Hu-chromosome Location
2p25.3
Unigene
467554
Preparation and Storage
Antibody with azide: store at 2 to 8 degree C
Antibody without azide: store at -20 to -80 degree C
Antibody is stable for 24 months. Non-hazardous. No MSDS required.
Antibody without azide: store at -20 to -80 degree C
Antibody is stable for 24 months. Non-hazardous. No MSDS required.
Related Product Information for anti-TPO antibody
Thyroperoxidase (TPO) is a 933 amino acid, type I transmembrane glycoprotein that plays a key role in thyroid gland function and autoimmunity. It is present as a dimer on the apical surface of thyroid follicular cells. TPO functions in the iodination of tyrosine residues in thyroglobulin and phenoxy-ester formation between pairs of iodinated tyrosines to generate the thyroid hormones, thyroxine and triiodothyronine. Mutations in this gene are associated with several disorders of thyroid hormonogenesis, including congenital hypothyroidism, congenital goiter, and thyroid hormone organification defect IIA. Malignant thyroid tumors exhibit an anomaly in TPO resulting in lower affinity for anti-TPO. This antibody may aid in the differentiation between benign and malignant thyroid tumors.
NCBI and Uniprot Product Information
NCBI GI #
NCBI GeneID
NCBI Accession #
NCBI GenBank Nucleotide #
Molecular Weight
102,963 Da
NCBI Official Full Name
thyroid peroxidase isoform a
NCBI Official Synonym Full Names
thyroid peroxidase
NCBI Official Symbol
TPO
NCBI Official Synonym Symbols
MSA; TPX; TDH2A
NCBI Protein Information
thyroid peroxidase; thyroperoxidase; thyroid microsomal antigen
UniProt Protein Name
Thyroid peroxidase
UniProt Gene Name
TPO
UniProt Synonym Gene Names
TPO
UniProt Entry Name
PERT_HUMAN
Customer Reviews
Loading reviews...
Share Your Experience
Similar Products
Product Notes
The TPO tpo (Catalog #AAA215964) is an Antibody produced from Rabbit and is intended for research purposes only. The product is available for immediate purchase. The TPO (Thyroid Peroxidase) (Thyroid Marker) Recombinant Rabbit Monoclonal Antibody [Clone TPO/6417R] reacts with Human and may cross-react with other species as described in the data sheet. AAA Biotech's TPO (Thyroid Peroxidase) can be used in a range of immunoassay formats including, but not limited to, IHC (Immunohistochemistry). Researchers should empirically determine the suitability of the TPO tpo for an application not listed in the data sheet. Researchers commonly develop new applications and it is an integral, important part of the investigative research process. It is sometimes possible for the material contained within the vial of "TPO (Thyroid Peroxidase), Monoclonal Antibody" to become dispersed throughout the inside of the vial, particularly around the seal of said vial, during shipment and storage. We always suggest centrifuging these vials to consolidate all of the liquid away from the lid and to the bottom of the vial prior to opening. Please be advised that certain products may require dry ice for shipping and that, if this is the case, an additional dry ice fee may also be required.Precautions
All products in the AAA Biotech catalog are strictly for research-use only, and are absolutely not suitable for use in any sort of medical, therapeutic, prophylactic, in-vivo, or diagnostic capacity. By purchasing a product from AAA Biotech, you are explicitly certifying that said products will be properly tested and used in line with industry standard. AAA Biotech and its authorized distribution partners reserve the right to refuse to fulfill any order if we have any indication that a purchaser may be intending to use a product outside of our accepted criteria.Disclaimer
Though we do strive to guarantee the information represented in this datasheet, AAA Biotech cannot be held responsible for any oversights or imprecisions. AAA Biotech reserves the right to adjust any aspect of this datasheet at any time and without notice. It is the responsibility of the customer to inform AAA Biotech of any product performance issues observed or experienced within 30 days of receipt of said product. To see additional details on this or any of our other policies, please see our Terms & Conditions page.Item has been added to Shopping Cart
If you are ready to order, navigate to Shopping Cart and get ready to checkout.
