Mouse Tyrosinase Monoclonal Antibody | anti-TYR antibody
Tyrosinase (Melanoma Marker)
Gene Names
TYR; ATN; CMM8; OCA1; OCA1A; OCAIA; SHEP3
Reactivity
Human. Others not known.
Applications
Immunohistochemistry, Immunofluorescence, Flow Cytometry, Functional Assay
Synonyms
Tyrosinase, Antibody; Tyrosinase (Melanoma Marker); ATN; CMM8; LB24-AB; Monophenol monooxygenase; OCA1; OCA1A; Oculocutaneous albinism IA; SHEP3; SK29-AB; Tumor rejection antigen AB; TYR; anti-TYR antibody
Host
Mouse
Reactivity
Human. Others not known.
Clonality
Monoclonal
Isotype
IgG1
Clone Number
rOCA1/812
Specificity
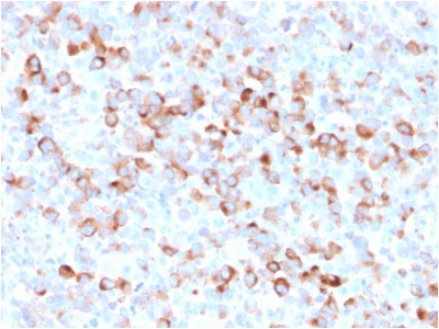
Recognizes a cluster of proteins between 70-80kDa, identified as tyrosinase. Occasionally a minor band at 55kDa is also detected. This MAb shows no cross-reaction with MAGE-1 and tyrosinase-related protein 1, TRP-1/gp75. Tyrosinase is a copper-containing metalloglycoprotein that catalyzes several steps in the melanin pigment biosynthetic pathway; the hydroxylation of tyrosine to L-3, 4-dihydroxy-phenylalanine (dopa), and the subsequent oxidation of dopa to dopaquinone. Mutations of the tyrosinase gene occur in various forms of albinism. Tyrosinase is one of the targets for cytotoxic T-cell recognition in melanoma patients. Staining of melanomas with this MAb shows tyrosinase in melanotic as well as amelanotic variants.This MAb is a useful marker for melanocytes and melanomas.
Form/Format
200ug/ml of Ab purified from Bioreactor Concentrate by Protein A/G. Prepared in 10mM PBS with0.05% BSA & 0.05% azide. Also available WITHOUT BSA & azide at 1.0mg/ml.
Sequence Length
529
Applicable Applications for anti-TYR antibody
IHC (Immunohistochemistry), IF (Immunofluorescence), FCM/FACS (Flow Cytometry)
Immunogen
Recombinant full-length human tyrosinase protein
Cellular Localization
Cytoplasmic
Hu-chromosome Location
11q14.3
Positive Control
SK-MEL-13, SK-MEL-19, SK-MEL-30, SK-MEL-37 cells or Melanoma.
Preparation and Storage
Antibody with azide - store at 2 to 8 degree C.
Antibody without azide - store at -20 to -80 degree C.
Antibody is stable for 24 months. Non-hazardous. No MSDS required.
Antibody without azide - store at -20 to -80 degree C.
Antibody is stable for 24 months. Non-hazardous. No MSDS required.
References
Chen Y-T, et. al. Proc. Natl. Acad. Sci. USA, 1995, 92:8125-8129.
NCBI and Uniprot Product Information
NCBI GI #
NCBI GeneID
NCBI Accession #
NCBI GenBank Nucleotide #
Molecular Weight
70-80kDa
NCBI Official Full Name
tyrosinase
NCBI Official Synonym Full Names
tyrosinase
NCBI Official Symbol
TYR
NCBI Official Synonym Symbols
ATN; CMM8; OCA1; OCA1A; OCAIA; SHEP3
NCBI Protein Information
tyrosinase
UniProt Protein Name
Tyrosinase
UniProt Gene Name
TYR
Customer Reviews
Loading reviews...
Share Your Experience
Similar Products
Product Notes
The TYR tyr (Catalog #AAA214548) is an Antibody produced from Mouse and is intended for research purposes only. The product is available for immediate purchase. The Tyrosinase (Melanoma Marker) reacts with Human. Others not known. and may cross-react with other species as described in the data sheet. AAA Biotech's Tyrosinase can be used in a range of immunoassay formats including, but not limited to, IHC (Immunohistochemistry), IF (Immunofluorescence), FCM/FACS (Flow Cytometry). Researchers should empirically determine the suitability of the TYR tyr for an application not listed in the data sheet. Researchers commonly develop new applications and it is an integral, important part of the investigative research process. It is sometimes possible for the material contained within the vial of "Tyrosinase, Monoclonal Antibody" to become dispersed throughout the inside of the vial, particularly around the seal of said vial, during shipment and storage. We always suggest centrifuging these vials to consolidate all of the liquid away from the lid and to the bottom of the vial prior to opening. Please be advised that certain products may require dry ice for shipping and that, if this is the case, an additional dry ice fee may also be required.Precautions
All products in the AAA Biotech catalog are strictly for research-use only, and are absolutely not suitable for use in any sort of medical, therapeutic, prophylactic, in-vivo, or diagnostic capacity. By purchasing a product from AAA Biotech, you are explicitly certifying that said products will be properly tested and used in line with industry standard. AAA Biotech and its authorized distribution partners reserve the right to refuse to fulfill any order if we have any indication that a purchaser may be intending to use a product outside of our accepted criteria.Disclaimer
Though we do strive to guarantee the information represented in this datasheet, AAA Biotech cannot be held responsible for any oversights or imprecisions. AAA Biotech reserves the right to adjust any aspect of this datasheet at any time and without notice. It is the responsibility of the customer to inform AAA Biotech of any product performance issues observed or experienced within 30 days of receipt of said product. To see additional details on this or any of our other policies, please see our Terms & Conditions page.Item has been added to Shopping Cart
If you are ready to order, navigate to Shopping Cart and get ready to checkout.
