Mouse Vimentin Monoclonal Antibody | anti-VIM antibody
Vimentin (Mesenchymal Cell Marker) Recombinant Mouse Monoclonal Antibody [Clone rVIM/6575]
Reactivity
Human, Rat, Horse, Chicken, Cow, Cat, Dog, and Pig. Very broad species reactivityDoes not react with Mouse.
Applications
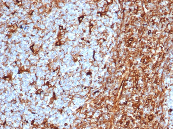
Immunohistochemistry, Western Blot
Synonyms
Vimentin, Antibody; Vimentin (Mesenchymal Cell Marker) Recombinant Mouse Monoclonal Antibody [Clone rVIM/6575]; Vimentin (Mesenchymal Cell Marker); VIM; anti-VIM antibody
Host
Mouse
Reactivity
Human, Rat, Horse, Chicken, Cow, Cat, Dog, and Pig. Very broad species reactivity
Does not react with Mouse.
Does not react with Mouse.
Clonality
Monoclonal
Isotype
Mouse/IgG1, kappa
Clone Number
rVIM/6575
Form/Format
200ug/ml of Ab purified from Bioreactor Concentrate by Protein A/G. Prepared in 10mM PBS with 0. 05% BSA & 0. 05% azide. Also available WITHOUT BSA & azide at 1.0mg/ml.
Concentration
Purified Ab with BSA and Azide at 200ug/ml
OR
Purified Ab WITHOUT BSA and Azide at 1.0mg/ml (varies by lot)
OR
Purified Ab WITHOUT BSA and Azide at 1.0mg/ml (varies by lot)
Applicable Applications for anti-VIM antibody
IHC (Immunohistochemistry), WB (Western Blot)
Antibody Type
Recombinant Antibody
Immunogen
Recombinant full-length human Vimentin protein
Cellular Localization
Cytoplasmic
Positive Control
U-87, Raji, Jurkat or HeLa cells. Human lymph node or tonsil.
Hu-chromosome Location
10p12.33
Unigene
455493
Preparation and Storage
Antibody with azide: store at 2 to 8 degree C
Antibody without azide: store at -20 to -80 degree C
Antibody is stable for 24 months. Non-hazardous. No MSDS required.
Antibody without azide: store at -20 to -80 degree C
Antibody is stable for 24 months. Non-hazardous. No MSDS required.
Related Product Information for anti-VIM antibody
This MAb reacts with a 58kDa protein identified as vimentin. It shows no cross-reaction with other closely related intermediate filament proteins (IFP s) such as desmin, keratin, neurofilament, and glial fibrillary acid protein. Anti-vimentin alone is of limited value as a test tool; however, when used in panels with other antibodies, it is useful for the sub-classification of a given tumor. Expression of vimentin, when used in conjunction with anti-keratin, is helpful when distinguishing melanomas from undifferentiated carcinomas and large cell lymphomas. All melanomas and Schwannomas react strongly with anti-vimentin. It labels a variety of mesenchymal cells, including melanocytes, lymphocytes, endothelial cells, and fibroblasts. Non-reactivity of anti-vimentin is often considered more useful than its positive reactivity, since there are a few tumors that do not contain vimentin, e. g. hepatoma and seminoma. Anti-vimentin is also useful as a tissue process control reagent.
NCBI and Uniprot Product Information
NCBI GI #
NCBI GeneID
NCBI Accession #
NCBI GenBank Nucleotide #
UniProt Accession #
Molecular Weight
53,652 Da
NCBI Official Full Name
vimentin
NCBI Official Synonym Full Names
vimentin
NCBI Official Symbol
VIM
NCBI Protein Information
vimentin
UniProt Protein Name
Vimentin
UniProt Gene Name
VIM
UniProt Entry Name
VIME_HUMAN
Customer Reviews
Loading reviews...
Share Your Experience
Similar Products
Product Notes
The VIM vim (Catalog #AAA215980) is an Antibody produced from Mouse and is intended for research purposes only. The product is available for immediate purchase. The Vimentin (Mesenchymal Cell Marker) Recombinant Mouse Monoclonal Antibody [Clone rVIM/6575] reacts with Human, Rat, Horse, Chicken, Cow, Cat, Dog, and Pig. Very broad species reactivity Does not react with Mouse. and may cross-react with other species as described in the data sheet. AAA Biotech's Vimentin can be used in a range of immunoassay formats including, but not limited to, IHC (Immunohistochemistry), WB (Western Blot). Researchers should empirically determine the suitability of the VIM vim for an application not listed in the data sheet. Researchers commonly develop new applications and it is an integral, important part of the investigative research process. It is sometimes possible for the material contained within the vial of "Vimentin, Monoclonal Antibody" to become dispersed throughout the inside of the vial, particularly around the seal of said vial, during shipment and storage. We always suggest centrifuging these vials to consolidate all of the liquid away from the lid and to the bottom of the vial prior to opening. Please be advised that certain products may require dry ice for shipping and that, if this is the case, an additional dry ice fee may also be required.Precautions
All products in the AAA Biotech catalog are strictly for research-use only, and are absolutely not suitable for use in any sort of medical, therapeutic, prophylactic, in-vivo, or diagnostic capacity. By purchasing a product from AAA Biotech, you are explicitly certifying that said products will be properly tested and used in line with industry standard. AAA Biotech and its authorized distribution partners reserve the right to refuse to fulfill any order if we have any indication that a purchaser may be intending to use a product outside of our accepted criteria.Disclaimer
Though we do strive to guarantee the information represented in this datasheet, AAA Biotech cannot be held responsible for any oversights or imprecisions. AAA Biotech reserves the right to adjust any aspect of this datasheet at any time and without notice. It is the responsibility of the customer to inform AAA Biotech of any product performance issues observed or experienced within 30 days of receipt of said product. To see additional details on this or any of our other policies, please see our Terms & Conditions page.Item has been added to Shopping Cart
If you are ready to order, navigate to Shopping Cart and get ready to checkout.
