Vimentin Monoclonal Antibody | anti-VIM antibody
Vimentin Mouse Monoclonal Antibody (1A7)
Reactivity
Human, Rat, Mouse
Applications
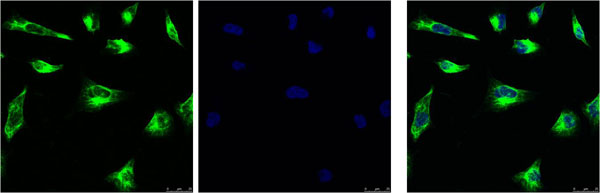
Immunofluorescence, Western Blot
Synonyms
Vimentin, Antibody; Vimentin Mouse Monoclonal Antibody (1A7); FLJ36605 antibody; VIM antibody; VIME antibody; anti-VIM antibody
Reactivity
Human, Rat, Mouse
Clonality
Monoclonal
Isotype
IgG1
Specificity
Antibody can detects endogenous Vimentin protein.
Form/Format
PBS, pH 7.4, containing 0.02% sodium azide as Preservative and 50% Glycerol.
Sequence Length
466
Applicable Applications for anti-VIM antibody
IF (Immunofluorescence), WB (Western Blot)
Preparation and Storage
Store at-20 degree C. Do not aliquot the antibody.
Related Product Information for anti-VIM antibody
The cytoskeleton consists of three types of cytosolic fibers: microfilaments (actin filaments), intermediate filaments, and microtubules.Vimentin is a type III intermediate filament (IF) protein that is expressed in mesenchymal cells.
NCBI and Uniprot Product Information
NCBI GI #
NCBI GeneID
NCBI Accession #
NCBI GenBank Nucleotide #
UniProt Accession #
Molecular Weight
50-57KD
NCBI Official Full Name
vimentin
NCBI Official Synonym Full Names
vimentin
NCBI Official Symbol
VIM
NCBI Protein Information
vimentin
UniProt Protein Name
Vimentin
UniProt Gene Name
VIM
Customer Reviews
Loading reviews...
Share Your Experience
Similar Products
Product Notes
The VIM vim (Catalog #AAA267053) is an Antibody and is intended for research purposes only. The product is available for immediate purchase. The Vimentin Mouse Monoclonal Antibody (1A7) reacts with Human, Rat, Mouse and may cross-react with other species as described in the data sheet. AAA Biotech's Vimentin can be used in a range of immunoassay formats including, but not limited to, IF (Immunofluorescence), WB (Western Blot). Researchers should empirically determine the suitability of the VIM vim for an application not listed in the data sheet. Researchers commonly develop new applications and it is an integral, important part of the investigative research process. It is sometimes possible for the material contained within the vial of "Vimentin, Monoclonal Antibody" to become dispersed throughout the inside of the vial, particularly around the seal of said vial, during shipment and storage. We always suggest centrifuging these vials to consolidate all of the liquid away from the lid and to the bottom of the vial prior to opening. Please be advised that certain products may require dry ice for shipping and that, if this is the case, an additional dry ice fee may also be required.Precautions
All products in the AAA Biotech catalog are strictly for research-use only, and are absolutely not suitable for use in any sort of medical, therapeutic, prophylactic, in-vivo, or diagnostic capacity. By purchasing a product from AAA Biotech, you are explicitly certifying that said products will be properly tested and used in line with industry standard. AAA Biotech and its authorized distribution partners reserve the right to refuse to fulfill any order if we have any indication that a purchaser may be intending to use a product outside of our accepted criteria.Disclaimer
Though we do strive to guarantee the information represented in this datasheet, AAA Biotech cannot be held responsible for any oversights or imprecisions. AAA Biotech reserves the right to adjust any aspect of this datasheet at any time and without notice. It is the responsibility of the customer to inform AAA Biotech of any product performance issues observed or experienced within 30 days of receipt of said product. To see additional details on this or any of our other policies, please see our Terms & Conditions page.Item has been added to Shopping Cart
If you are ready to order, navigate to Shopping Cart and get ready to checkout.
