Mouse IL-2R Antibody | anti-IL-2R antibody
Anti-IL-2R [Daclizumab], Mouse IgG1
FCM/FACS (Flow Cytometry)
(Flow-cytometry using the anti-CD25 (IL2R) research biosimilar antibody Daclizumab (AAA72231) Human lymphocytes were stained with an isotype control or the rabbit-chimeric version of Daclizumab (AAA72231-23.0, panel B) at a concentration of 1 ug/ml for 30 mins at RT. After washing, bound antibody was detected using a AF488 conjugated donkey anti-rabbit antibody (ab150073) and cells analysed on a FACSCanto flow-cytometer.)
WB (Western Blot)
(Western Blot using anti-IL2R antibody AAA72231 Mouse lipocyte (lane 1), mouse spleen (lane 2), mouse thymus (lane 3), mouse lymph node (lane 4) and human thyroid tumour (lane 5) samples were resolved on a 10% SDS PAGE gel and blots probed with AAA72231-10.0 at 1.5 ug/ml before being detected by a secondary antibody. The expected band size (31 kDa) is seen in the human-derived sample, as well as further bands that are specific to human.)
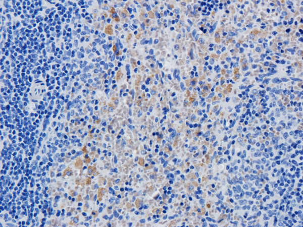
IHC (Immunohistochemisry)
(Immunohistochemical staining of rat spleen using anti-IL2R antibody AAA72231 Formalin fixed rat spleen slices were were stained with AAA72231-10.0 at 5 ug/ml.)
FCM/FACS (Flow Cytometry)
(Flow-cytometry using anti-IL-2R antibody Daclizumab (AAA72231) Rhesus monkey lymphocytes were stained with an isotype control or the rabbit-chimeric version of Daclizumab (AAA72231-23.0, blue) at a concentration of 1 ug/ml for 30 mins at RT. After washing, bound antibody was detected using a AF488 conjugated donkey anti-rabbit antibody (ab150073) and cells analysed on a FlowJo single-cell flow cytometer.)
FCM/FACS (Flow Cytometry)
(Flow-cytometry using anti-IL-2R antibody Daclizumab (AAA72231) Cynomolgus monkey lymphocytes were stained with an isotype control or the rabbit-chimeric version of Daclizumab (AAA72231-23.0, blue) at a concentration of 1 ug/ml for 30 mins at RT. After washing, bound antibody was detected using a AF488 conjugated donkey anti-rabbit antibody (ab150073) and cells analysed on a FlowJo single-cell flow cytometer.)
NCBI and Uniprot Product Information
Customer Reviews
Loading reviews...
Share Your Experience
Similar Products
Product Notes
The IL-2R il2ra (Catalog #AAA72231) is an Antibody produced from Mouse and is intended for research purposes only. The product is available for immediate purchase. The Anti-IL-2R [Daclizumab], Mouse IgG1 reacts with Human, Rhesus Monkey, Cynomolgus Monkey and may cross-react with other species as described in the data sheet. AAA Biotech's IL-2R can be used in a range of immunoassay formats including, but not limited to, Blocking, FCM/FACS (Flow Cytometry). Researchers should empirically determine the suitability of the IL-2R il2ra for an application not listed in the data sheet. Researchers commonly develop new applications and it is an integral, important part of the investigative research process. It is sometimes possible for the material contained within the vial of "IL-2R, Antibody" to become dispersed throughout the inside of the vial, particularly around the seal of said vial, during shipment and storage. We always suggest centrifuging these vials to consolidate all of the liquid away from the lid and to the bottom of the vial prior to opening. Please be advised that certain products may require dry ice for shipping and that, if this is the case, an additional dry ice fee may also be required.Precautions
All products in the AAA Biotech catalog are strictly for research-use only, and are absolutely not suitable for use in any sort of medical, therapeutic, prophylactic, in-vivo, or diagnostic capacity. By purchasing a product from AAA Biotech, you are explicitly certifying that said products will be properly tested and used in line with industry standard. AAA Biotech and its authorized distribution partners reserve the right to refuse to fulfill any order if we have any indication that a purchaser may be intending to use a product outside of our accepted criteria.Disclaimer
Though we do strive to guarantee the information represented in this datasheet, AAA Biotech cannot be held responsible for any oversights or imprecisions. AAA Biotech reserves the right to adjust any aspect of this datasheet at any time and without notice. It is the responsibility of the customer to inform AAA Biotech of any product performance issues observed or experienced within 30 days of receipt of said product. To see additional details on this or any of our other policies, please see our Terms & Conditions page.Item has been added to Shopping Cart
If you are ready to order, navigate to Shopping Cart and get ready to checkout.
