Mouse anti-Human EGFR Antibody | anti-EGFR antibody
Anti-EGFR [Matuzumab], Mouse IgG1
ELISA
(Binding curve of anti-EGFR antibody Matuzumab (AAA72239-10.0) to EGFR-Fc fusion protein ELISA Plate coated with human EGFR-Fc (Pr00117-10.9) at a concentration of 5 ug/ml. A 3-fold serial dilution from 100 to 0.1 ng/ml was performed using AAA72239-10.0. For detection, a 1:4000 dilution of HRP labelled anti-human kappa light chain antibody was used.)
IF (Immunofluorescence)
(Immunofluorescence staining of fixed A431 cells with anti-EGFR antibody Matuzumab (AAA72239) Immunofluorescence analysis of unpermeabilisd paraformaldehyde fixed A431 cells on Shi-fix coverslips stained with the chimeric rabbit version of Matuzumab (AAA72239-23.0) at 10 ug/ml for 1h followed by Alexa Fluor 488 secondary antibody (1 ug/ml), showing membrane staining. The nuclear stain is DAPI (blue). Panels show from left-right, top-bottom AAA72239-23.0, DAPI, merged channels and an isotype control. The isotype control was stained with unimmunised rabbit IgG followed by Alexa Fluor 488 secondary antibody.)
FCM/FACS (Flow Cytometry)
(Flow-cytometry using the anti-EGFR antibody Matuzumab (AAA72239) HeLa (A) and A431 (B) cells were stained with unimmunized rabbit IgG antibody (black line) or the rabbit-chimeric version of Matuzumab (AAA72239-23.0, blue line) at a concentration of 10 ug/ml for 30 mins at RT. After washing, bound antibody was detected using an anti-rabbit IgG JK (FITC-conjugate) antibody (129936) at 2 ug/ml and cells analyzed on a FACSCanto flow-cytometer.)
IHC (Immunohiostchemistry)
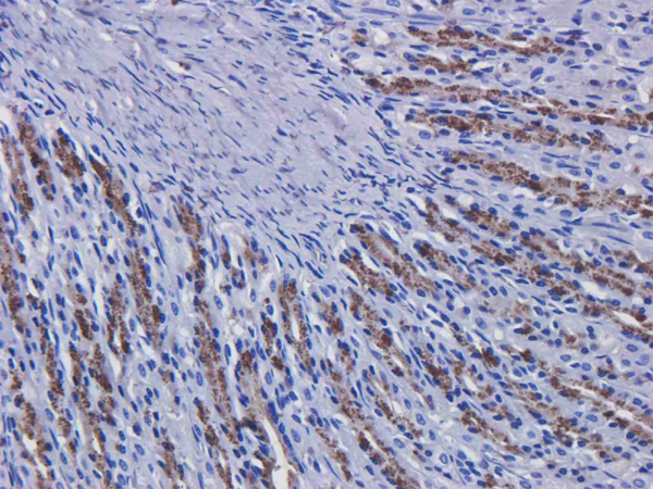
(Immunohistochemical staining of rat stomach tissue using anti-EGFR antibody (AAA72239) Matuzumab. Anti-EGFR staining of formaldehyde fixed paraffin embedded rat stomach tissue, at 40x magnification. The human IgG1-chimeric version of Matuzumab (AAA72239-10.0) was used to stain samples at a concentration of 5 ug/ml.)
IHC (Immunohistochemistry)
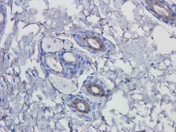
(Immunohistochemical staining of mouse skin tissue using anti-EGFR antibody (AAA72239) Matuzumab. Anti-EGFR staining of formaldehyde fixed paraffin embedded mouse skin tissue, at 40x magnification. The human IgG1-chimeric version of Matuzumab (AAA72239-10.0) was used to stain samples at a concentration of 5 ug/ml.)
NCBI and Uniprot Product Information
Customer Reviews
Loading reviews...
Share Your Experience
Similar Products
Product Notes
The EGFR egfr (Catalog #AAA72239) is an Antibody produced from Mouse and is intended for research purposes only. The product is available for immediate purchase. The Anti-EGFR [Matuzumab], Mouse IgG1 reacts with Human and may cross-react with other species as described in the data sheet. AAA Biotech's EGFR can be used in a range of immunoassay formats including, but not limited to, WB (Western Blot), IF (Immunofluorescence), FCM/FACS (Flow Cytometry), ELISA, Blocking, Antagonistic Antibody. Researchers should empirically determine the suitability of the EGFR egfr for an application not listed in the data sheet. Researchers commonly develop new applications and it is an integral, important part of the investigative research process. It is sometimes possible for the material contained within the vial of "EGFR, Antibody" to become dispersed throughout the inside of the vial, particularly around the seal of said vial, during shipment and storage. We always suggest centrifuging these vials to consolidate all of the liquid away from the lid and to the bottom of the vial prior to opening. Please be advised that certain products may require dry ice for shipping and that, if this is the case, an additional dry ice fee may also be required.Precautions
All products in the AAA Biotech catalog are strictly for research-use only, and are absolutely not suitable for use in any sort of medical, therapeutic, prophylactic, in-vivo, or diagnostic capacity. By purchasing a product from AAA Biotech, you are explicitly certifying that said products will be properly tested and used in line with industry standard. AAA Biotech and its authorized distribution partners reserve the right to refuse to fulfill any order if we have any indication that a purchaser may be intending to use a product outside of our accepted criteria.Disclaimer
Though we do strive to guarantee the information represented in this datasheet, AAA Biotech cannot be held responsible for any oversights or imprecisions. AAA Biotech reserves the right to adjust any aspect of this datasheet at any time and without notice. It is the responsibility of the customer to inform AAA Biotech of any product performance issues observed or experienced within 30 days of receipt of said product. To see additional details on this or any of our other policies, please see our Terms & Conditions page.Item has been added to Shopping Cart
If you are ready to order, navigate to Shopping Cart and get ready to checkout.
