Mouse anti-Human PODXL Antibody | anti-PODXL antibody
PODXL Antibody
Gene Names
PODXL; PC; PCLP; Gp200; PCLP-1
Reactivity
Human
Applications
ELISA, Flow Cytometry, Functional Assay, Immunohistochemistry, Western Blot
Synonyms
PODXL; N/A; PODXL Antibody; PC; PCLP; Gp200; PCLP-1; MGC138240; anti-PODXL antibody
Host
Mouse
Reactivity
Human
Isotype
IgG1
Clone Number
5F5
Form/Format
Ascitic fluid containing 0.03% sodium azide.
Sequence Length
558
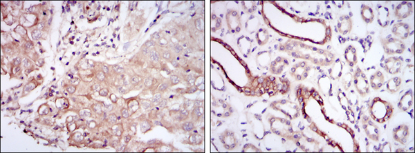
Applicable Applications for anti-PODXL antibody
ELISA, FCM/FACS (Flow Cytometry), IHC (Immunohistochemistry), WB (Western Blot)
Immunogen
Purified recombinant fragment of human PODXL expressed in E. Coli.
Preparation and Storage
Store at 4 degree C, for long term storage, store at-20 degree C.
Related Product Information for anti-PODXL antibody
This gene encodes a member of the sialomucin protein family. The encoded protein was originally identified as an important component of glomerular podocytes. Podocytes are highly differentiated epithelial cells with interdigitating foot processes covering the outer aspect of the glomerular basement membrane. Other biological activities of the encoded protein include: binding in a membrane protein complex with Na+/H+ exchanger regulatory factor to intracellular cytoskeletal elements, playing a role in hematopoetic cell differentiation, and being expressed in vascular endothelium cells and binding to L-selectin. (provided by RefSeq)Tissue specificity: Glomerular epithelium cell (podocyte).
Product Categories/Family for anti-PODXL antibody
NCBI and Uniprot Product Information
NCBI GI #
NCBI GeneID
NCBI Accession #
NCBI GenBank Nucleotide #
Molecular Weight
49kDa
NCBI Official Full Name
podocalyxin isoform 1
NCBI Official Synonym Full Names
podocalyxin like
NCBI Official Symbol
PODXL
NCBI Official Synonym Symbols
PC; PCLP; Gp200; PCLP-1
NCBI Protein Information
podocalyxin
UniProt Protein Name
Podocalyxin
UniProt Gene Name
PODXL
UniProt Synonym Gene Names
PCLP; PCLP1; PC; PCLP-1
Customer Reviews
Loading reviews...
Share Your Experience
Similar Products
Product Notes
The PODXL podxl (Catalog #AAA108594) is an Antibody produced from Mouse and is intended for research purposes only. The product is available for immediate purchase. The PODXL Antibody reacts with Human and may cross-react with other species as described in the data sheet. AAA Biotech's PODXL can be used in a range of immunoassay formats including, but not limited to, ELISA, FCM/FACS (Flow Cytometry), IHC (Immunohistochemistry), WB (Western Blot). Researchers should empirically determine the suitability of the PODXL podxl for an application not listed in the data sheet. Researchers commonly develop new applications and it is an integral, important part of the investigative research process. It is sometimes possible for the material contained within the vial of "PODXL, Antibody" to become dispersed throughout the inside of the vial, particularly around the seal of said vial, during shipment and storage. We always suggest centrifuging these vials to consolidate all of the liquid away from the lid and to the bottom of the vial prior to opening. Please be advised that certain products may require dry ice for shipping and that, if this is the case, an additional dry ice fee may also be required.Precautions
All products in the AAA Biotech catalog are strictly for research-use only, and are absolutely not suitable for use in any sort of medical, therapeutic, prophylactic, in-vivo, or diagnostic capacity. By purchasing a product from AAA Biotech, you are explicitly certifying that said products will be properly tested and used in line with industry standard. AAA Biotech and its authorized distribution partners reserve the right to refuse to fulfill any order if we have any indication that a purchaser may be intending to use a product outside of our accepted criteria.Disclaimer
Though we do strive to guarantee the information represented in this datasheet, AAA Biotech cannot be held responsible for any oversights or imprecisions. AAA Biotech reserves the right to adjust any aspect of this datasheet at any time and without notice. It is the responsibility of the customer to inform AAA Biotech of any product performance issues observed or experienced within 30 days of receipt of said product. To see additional details on this or any of our other policies, please see our Terms & Conditions page.Item has been added to Shopping Cart
If you are ready to order, navigate to Shopping Cart and get ready to checkout.
