Loading...

Skip to main content
Call us at +1-800-604-9114 for more information about our products or contact us online Need help? +1-800-604-9114 or contact us

Filters


Clonality

Type

Reactivity

Gene Name

Isotype

Host

Application

Clone

Polyclonal Antibodies

At AAA Biotech also known as AAA Bio or AAABio, we provide a broad range of purified polyclonal antibodies (pAbs) that are able to all be browsed online through our website. Due to their high specificity and strong binding affinity, these antibodies are ideal for wide swathes of research and experimental applications.


Our polyclonal antibodies can easily support your work, whether you use them for Western Blotting, Immunocytochemistry (with or without Immunofluorescence used in conjunction), Immunohistochemistry, Immunoprecipitation, and ELISA tests. We highly encourage you to browse our range of pAbs and choose the one that best suits your experimental model.


Viewing 6650-6700 of 10000 product results


product-image-AAA327105_IHC11.jpg IHC (Immunohistochemisry) (AAA327105 at 1/100 staining Mouse muscle tissue by IHC-P. The sample was formaldehyde fixed and a heat mediated antigen retrieval step in citrate buffer was performed. The sample was then blocked and incubated with the antibody for 1.5 hours at 22 degree C. An HRP conjugated goat anti-rabbit antibody was used as the secondary.)

SH2B1, Polyclonal Antibody (Cat# AAA327105)

Full Name
SH2B1 Antibody
Gene Names
SH2B1; PSM; SH2B
Reactivity
Human, Mouse, Rat
Applications
Immunohistochemistry, Western Blot
Purity
The antiserum was purified by peptide affinity chromatography using SulfoLink Coupling Resin.
Pricing
product-image-AAA327109_WB13.jpg WB (Western Blot) (Western blot analysis of Hela whole cell lysates, using MTR4 Antibody. The lane on the left is treated with the antigen-specific peptide.)

MTR4, Polyclonal Antibody (Cat# AAA327109)

Full Name
MTR4 Antibody
Gene Names
MTREX; Dob1; Mtr4; SKIV2L2; fSAP118; KIAA0052
Reactivity
Human, Mouse, Rat
Applications
Immunohistochemistry, Western Blot
Purity
The antiserum was purified by peptide affinity chromatography using SulfoLink Coupling Resin.
Pricing
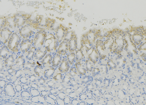
product-image-AAA327115_IHC11.jpg IHC (Immunohistochemisry) (AAA327115 at 1/100 staining Human prostate tissue by IHC-P. The sample was formaldehyde fixed and a heat mediated antigen retrieval step in citrate buffer was performed. The sample was then blocked and incubated with the antibody for 1.5 hours at 22 degree C. An HRP conjugated goat anti-rabbit antibody was used as the secondary.)

TK1, Polyclonal Antibody (Cat# AAA327115)

Full Name
TK1 Antibody
Gene Names
TK1; TK2
Reactivity
Human, Mouse, Rat
Applications
Immunocytochemistry, Immunofluorescence, Immunohistochemistry, Western Blot
Purity
The antiserum was purified by peptide affinity chromatography using SulfoLink Coupling Resin.
Pricing
product-image-AAA327120_IF11.jpg IF (Immunofluorescence) (AAA327120 staining U87 by IF/ICC. The sample were fixed with PFA and permeabilized in 0.1% Triton X-100, then blocked in 10% serum for 45 minutes at 25 degree C. The primary antibody was diluted at 1/200 and incubated with the sample for 1 hour at 37 degree C. An Alexa Fluor 594 conjugated goat anti-rabbit IgG (H+L) Ab, diluted at 1/600, was used as the secondary antibody.)

MAP1LC3A, Polyclonal Antibody (Cat# AAA327120)

Full Name
MAP1LC3A Antibody
Gene Names
MAP1LC3A; LC3; LC3A; ATG8E; MAP1ALC3; MAP1BLC3
Reactivity
Human, Mouse, Rat
Applications
Immunocytochemistry, Immunofluorescence, Immunohistochemistry, Western Blot
Purity
The antiserum was purified by peptide affinity chromatography using SulfoLink Coupling Resin.
Pricing
product-image-AAA327122_IF13.jpg IF (Immunofluorescence) (AAA327122 staining HepG2 by IF/ICC. The sample were fixed with PFA and permeabilized in 0.1% Triton X-100, then blocked in 10% serum for 45 minutes at 25 degree C. The primary antibody was diluted at 1/200 and incubated with the sample for 1 hour at 37 degree C. An Alexa Fluor 594 conjugated goat anti-rabbit IgG (H+L) Ab, diluted at 1/600, was used as the secondary antibody.)

CREM, Polyclonal Antibody (Cat# AAA327122)

Full Name
CREM Antibody
Gene Names
CREM; ICER; CREM-2; hCREM-2
Reactivity
Human, Rat
Applications
Immunocytochemistry, Immunofluorescence, Immunohistochemistry, Western Blot
Purity
The antiserum was purified by peptide affinity chromatography using SulfoLink Coupling Resin.
Pricing
product-image-AAA327126_IHC13.jpg IHC (Immunohiostchemistry) (AAA327126 at 1/100 staining Human Melanoma tissue by IHC-P. The sample was formaldehyde fixed and a heat mediated antigen retrieval step in citrate buffer was performed. The sample was then blocked and incubated with the antibody for 1.5 hours at 22 degree C. An HRP conjugated goat anti-rabbit antibody was used as the secondary.)

CCL5, Polyclonal Antibody (Cat# AAA327126)

Full Name
CCL5 Antibody
Gene Names
CCL5; SISd; eoCP; SCYA5; RANTES; TCP228; D17S136E; SIS-delta
Reactivity
Human
Applications
Immunohistochemistry, Western Blot
Purity
The antiserum was purified by peptide affinity chromatography using SulfoLink Coupling Resin.
Pricing
product-image-AAA327128_WB13.jpg WB (Western Blot) (Western blot analysis of Hepg2 whole cell lysates, using DDX3X Antibody. The lane on the left is treated with the antigen-specific peptide.)

DDX3X, Polyclonal Antibody (Cat# AAA327128)

Full Name
DDX3X Antibody
Gene Names
DDX3X; DBX; DDX3; HLP2; DDX14; CAP-Rf; MRX102
Reactivity
Human, Mouse, Rat
Applications
Immunohistochemistry, Western Blot
Purity
The antiserum was purified by peptide affinity chromatography using SulfoLink Coupling Resin.
Pricing
product-image-AAA327132_WB13.jpg WB (Western Blot) (Western blot analysis of Hela whole cell lysates, using FKBP4 Antibody. The lane on the left is treated with the antigen-specific peptide.)

FKBP4, Polyclonal Antibody (Cat# AAA327132)

Full Name
FKBP4 Antibody
Gene Names
FKBP4; HBI; p52; Hsp56; FKBP51; FKBP52; FKBP59; PPIase
Reactivity
Human, Mouse, Rat
Applications
Immunohistochemistry, Western Blot
Purity
The antiserum was purified by peptide affinity chromatography using SulfoLink Coupling Resin.
Pricing
product-image-AAA327134_WB13.jpg WB (Western Blot) (Western blot analysis of Hela whole cell lysates, using FMR1 Antibody. The lane on the left is treated with the antigen-specific peptide.)

FMR1, Polyclonal Antibody (Cat# AAA327134)

Full Name
FMR1 Antibody
Gene Names
FMR1; POF; FMRP; POF1; FRAXA
Reactivity
Human, Mouse, Rat
Applications
Immunohistochemistry, Western Blot
Purity
The antiserum was purified by peptide affinity chromatography using SulfoLink Coupling Resin.
Pricing
product-image-AAA327139_WB11.jpg WB (Western Blot) (Western blot analysis of K562 whole cell lysates, using PIAS2 Antibody. The lane on the left is treated with the antigen-specific peptide.)

PIAS2, Polyclonal Antibody (Cat# AAA327139)

Full Name
PIAS2 Antibody
Gene Names
PIAS2; DIP; MIZ1; SIZ2; ARIP3; PIASX; ZMIZ4
Reactivity
Human, Mouse, Rat
Applications
Immunocytochemistry, Immunofluorescence, Immunohistochemistry, Western Blot
Purity
The antiserum was purified by peptide affinity chromatography using SulfoLink Coupling Resin.
Pricing
product-image-AAA327140_IHC11.jpg IHC (Immunohistochemisry) (AAA327140 at 1/100 staining Human melanoma tissue by IHC-P. The sample was formaldehyde fixed and a heat mediated antigen retrieval step in citrate buffer was performed. The sample was then blocked and incubated with the antibody for 1.5 hours at 22 degree C. An HRP conjugated goat anti-rabbit antibody was used as the secondary.)

PLAT, Polyclonal Antibody (Cat# AAA327140)

Full Name
PLAT Antibody
Gene Names
PLAT; TPA; T-PA
Reactivity
Human, Mouse, Rat
Applications
Immunohistochemistry, Western Blot
Purity
The antiserum was purified by peptide affinity chromatography using SulfoLink Coupling Resin.
Pricing
product-image-AAA327141_WB11.jpg WB (Western Blot) (Western blot analysis of Mouse liver tissue lysates, using PPARD Antibody. The lane on the left is treated with the antigen-specific peptide.)

PPARD, Polyclonal Antibody (Cat# AAA327141)

Full Name
PPARD Antibody
Gene Names
PPARD; FAAR; NUC1; NUCI; NR1C2; NUCII; PPARB
Reactivity
Human, Mouse, Rat
Applications
Immunohistochemistry, Western Blot
Purity
The antiserum was purified by peptide affinity chromatography using SulfoLink Coupling Resin.
Pricing
product-image-AAA327142_WB13.jpg WB (Western Blot) (Western blot analysis of Hela whole cell lysates, using SMAD4 Antibody. The lane on the left is treated with the antigen-specific peptide.)

SMAD4, Polyclonal Antibody (Cat# AAA327142)

Full Name
SMAD4 Antibody
Gene Names
SMAD4; JIP; DPC4; MADH4; MYHRS
Reactivity
Human, Mouse, Rat
Applications
Immunohistochemistry, Western Blot
Purity
The antiserum was purified by peptide affinity chromatography using SulfoLink Coupling Resin.
Pricing
product-image-AAA327143_IF10.jpg IF (Immunofluorescence) (AAA327143 staining COLO205 by IF/ICC. The sample were fixed with PFA and permeabilized in 0.1% Triton X-100, then blocked in 10% serum for 45 minutes at 25 degree C. The primary antibody was diluted at 1/200 and incubated with the sample for 1 hour at 37 degree C. An Alexa Fluor 594 conjugated goat anti-rabbit IgG (H+L) Ab, diluted at 1/600, was used as the secondary antibody.)

TNFSF12, Polyclonal Antibody (Cat# AAA327143)

Full Name
TNFSF12 Antibody
Gene Names
TNFSF12; APO3L; DR3LG; TWEAK; TNLG4A
Reactivity
Human, Mouse, Rat
Applications
Immunocytochemistry, Immunofluorescence, Immunohistochemistry, Western Blot
Purity
The antiserum was purified by peptide affinity chromatography using SulfoLink Coupling Resin.
Pricing
product-image-AAA327144_IHC13.jpg IHC (Immunohiostchemistry) (AAA327144 at 1/100 staining Human liver cancer tissue by IHC-P. The sample was formaldehyde fixed and a heat mediated antigen retrieval step in citrate buffer was performed. The sample was then blocked and incubated with the antibody for 1.5 hours at 22 degree C. An HRP conjugated goat anti-rabbit antibody was used as the secondary.)

ANPEP, Polyclonal Antibody (Cat# AAA327144)

Full Name
ANPEP Antibody
Gene Names
ANPEP; APN; CD13; LAP1; P150; PEPN; GP150
Reactivity
Human, Mouse, Rat
Applications
Immunohistochemistry, Western Blot
Purity
The antiserum was purified by peptide affinity chromatography using SulfoLink Coupling Resin.
Pricing
product-image-AAA327146_IHC13.jpg IHC (Immunohiostchemistry) (AAA327146 at 1/100 staining Human liver cancer tissue by IHC-P. The sample was formaldehyde fixed and a heat mediated antigen retrieval step in citrate buffer was performed. The sample was then blocked and incubated with the antibody for 1.5 hours at 22 degree C. An HRP conjugated goat anti-rabbit antibody was used as the secondary.)

BMPR2, Polyclonal Antibody (Cat# AAA327146)

Full Name
BMPR2 Antibody
Gene Names
BMPR2; BMR2; PPH1; BMPR3; BRK-3; POVD1; T-ALK; BMPR-II
Reactivity
Human, Mouse, Rat
Applications
Immunohistochemistry, Western Blot
Purity
The antiserum was purified by peptide affinity chromatography using SulfoLink Coupling Resin.
Pricing
product-image-AAA327147_WB10.jpg WB (Western Blot) (Western blot analysis of extracts from rat liver, using CD74 Antibody.)

CD74, Polyclonal Antibody (Cat# AAA327147)

Full Name
CD74 Antibody
Gene Names
CD74; II; p33; DHLAG; HLADG; Ia-GAMMA
Reactivity
Human, Rat
Applications
Immunohistochemistry, Western Blot
Purity
The antiserum was purified by peptide affinity chromatography using SulfoLink Coupling Resin (Thermo Fisher Scientific).
Pricing
product-image-AAA327151_IHC13.jpg IHC (Immunohiostchemistry) (AAA327151 at 1/100 staining Human brain cancer tissue by IHC-P. The sample was formaldehyde fixed and a heat mediated antigen retrieval step in citrate buffer was performed. The sample was then blocked and incubated with the antibody for 1.5 hours at 22 degree C. An HRP conjugated goat anti-rabbit antibody was used as the secondary.)

ATP7B, Polyclonal Antibody (Cat# AAA327151)

Full Name
ATP7B Antibody
Gene Names
ATP7B; WD; PWD; WC1; WND
Reactivity
Human, Mouse, Rat
Applications
Immunohistochemistry, Western Blot
Purity
The antiserum was purified by peptide affinity chromatography using SulfoLink Coupling Resin.
Pricing
product-image-AAA327153_IHC13.jpg IHC (Immunohiostchemistry) (AAA327153 at 1/100 staining Human urothelial cancer tissue by IHC-P. The sample was formaldehyde fixed and a heat mediated antigen retrieval step in citrate buffer was performed. The sample was then blocked and incubated with the antibody for 1.5 hours at 22 degree C. An HRP conjugated goat anti-rabbit antibody was used as the secondary.)

ITGA2B, Polyclonal Antibody (Cat# AAA327153)

Full Name
ITGA2B Antibody
Gene Names
ITGA2B; GT; GTA; CD41; GP2B; HPA3; CD41B; GPIIb; BDPLT2; BDPLT16; PPP1R93
Reactivity
Human, Rat, Mouse
Applications
Immunohistochemistry, Western Blot
Purity
Peptide affinity purification
Pricing
product-image-AAA327155_IF11.jpg IF (Immunofluorescence) (AAA327155 staining A549 cells by IF/ICC. The sample were fixed with PFA and permeabilized in 0.1% Triton X-100, then blocked in 10% serum for 45 minutes at 25 degree C. The primary antibody was diluted at 1/200 and incubated with the sample for 1 hour at 37 degree C. An Alexa Fluor 594 conjugated goat anti-rabbit IgG (H+L) antibody, diluted at 1/600, was used as secondary antibody.)

CSTA, Polyclonal Antibody (Cat# AAA327155)

Full Name
CSTA Antibody
Gene Names
CSTA; AREI; PSS4; STF1; STFA
Reactivity
Human
Applications
Immunocytochemistry, Immunofluorescence, Immunohistochemistry, Western Blot
Purity
The antiserum was purified by peptide affinity chromatography using SulfoLink Coupling Resin.
Pricing
product-image-AAA327158_IF11.jpg IF (Immunofluorescence) (AAA327158 staining Hela cells by IF/ICC. The sample were fixed with PFA and permeabilized in 0.1% Triton X-100, then blocked in 10% serum for 45 minutes at 25 degree C. The primary antibody was diluted at 1/200 and incubated with the sample for 1 hour at 37 degree C. An Alexa Fluor 594 conjugated goat anti-rabbit IgG (H+L) antibody, diluted at 1/600, was used as secondary antibody.)

GRB2, Polyclonal Antibody (Cat# AAA327158)

Full Name
GRB2 Antibody
Gene Names
GRB2; ASH; Grb3-3; MST084; NCKAP2; MSTP084; EGFRBP-GRB2
Reactivity
Human, Mouse, Rat
Applications
Immunocytochemistry, Immunofluorescence, Immunohistochemistry, Western Blot
Purity
The antiserum was purified by peptide affinity chromatography using SulfoLink Coupling Resin.
Pricing
product-image-AAA327159_WB13.jpg WB (Western Blot) (Western blot analysis of Hela whole cell lysates, using GSTP1 Antibody. The lane on the left is treated with the antigen-specific peptide.)

GSTP1, Polyclonal Antibody (Cat# AAA327159)

Full Name
GSTP1 Antibody
Gene Names
GSTP1; PI; DFN7; GST3; GSTP; FAEES3; HEL-S-22
Reactivity
Human, Mouse, Rat
Applications
Immunohistochemistry, Western Blot
Purity
The antiserum was purified by peptide affinity chromatography using SulfoLink Coupling Resin.
Pricing
product-image-AAA327164_IHC11.jpg IHC (Immunohistochemisry) (AAA327164 at 1/100 staining Human brain cancer tissue by IHC-P. The sample was formaldehyde fixed and a heat mediated antigen retrieval step in citrate buffer was performed. The sample was then blocked and incubated with the antibody for 1.5 hours at 22 degree C. An HRP conjugated goat anti-rabbit antibody was used as the secondary.)

SH3GL2, Polyclonal Antibody (Cat# AAA327164)

Full Name
SH3GL2 Antibody
Gene Names
SH3GL2; CNSA2; SH3P4; EEN-B1; SH3D2A
Reactivity
Human, Mouse, Rat
Applications
Immunocytochemistry, Immunofluorescence, Immunohistochemistry, Western Blot
Purity
The antiserum was purified by peptide affinity chromatography using SulfoLink Coupling Resin.
Pricing
product-image-AAA327165_IHC13.jpg IHC (Immunohiostchemistry) (AAA327165 at 1/100 staining Human liver cancer tissue by IHC-P. The sample was formaldehyde fixed and a heat mediated antigen retrieval step in citrate buffer was performed. The sample was then blocked and incubated with the antibody for 1.5 hours at 22 degree C. An HRP conjugated goat anti-rabbit antibody was used as the secondary.)

SLC3A2, Polyclonal Antibody (Cat# AAA327165)

Full Name
SLC3A2 Antibody
Gene Names
SLC3A2; 4F2; CD98; MDU1; 4F2HC; 4T2HC; NACAE; CD98HC
Reactivity
Human
Applications
Immunohistochemistry, Western Blot
Purity
The antiserum was purified by peptide affinity chromatography using SulfoLink Coupling Resin.
Pricing
product-image-AAA327171_WB13.jpg WB (Western Blot) (Western blot analysis of Tie-2 using HUVEC whole cell lysates)

Tie-2, Polyclonal Antibody (Cat# AAA327171)

Full Name
Tie-2 Antibody
Gene Names
TEK; TIE2; VMCM; GLC3E; TIE-2; VMCM1; CD202B
Reactivity
Human, Mouse, Rat
Applications
Immunohistochemistry, Western Blot
Purity
The antiserum was purified by peptide affinity chromatography using SulfoLink Coupling Resin.
Pricing
product-image-AAA327175_IF11.png IF (Immunofluorescence) (AAA327175 staining MCF7 by IF/ICC. The sample were fixed with PFA and permeabilized in 0.1% Triton X-100,then blocked in 10% serum for 45 minutes at 25 degree C. The primary antibody was diluted at 1/200 and incubated with the sample for 1 hour at 37 degree C. An Alexa Fluor 594 conjugated goat anti-rabbit IgG (H+L) Ab, diluted at 1/600, was used as the secondary antibody.)

Occludin, Polyclonal Antibody (Cat# AAA327175)

Full Name
Occludin Antibody
Gene Names
OCLN; BLCPMG; PTORCH1; PPP1R115
Reactivity
Human, Mouse, Rat, Pig
Applications
Immunocytochemistry, Immunofluorescence, Immunohistochemistry, Western Blot
Purity
The antiserum was purified by peptide affinity chromatography using SulfoLink Coupling Resin.
Pricing
product-image-AAA327176_WB13.jpg WB (Western Blot) (Western blot analysis of ADH6 using HUVEC whole cell lysates)

ADH6, Polyclonal Antibody (Cat# AAA327176)

Full Name
ADH6 Antibody
Gene Names
ADH6; ADH-5
Reactivity
Human, Mouse, Rat
Applications
Immunohistochemistry, Western Blot
Purity
The antiserum was purified by peptide affinity chromatography using SulfoLink Coupling Resin.
Pricing
product-image-AAA327178_WB8.jpg WB (Western Blot) (Western blot analysis of CCR2 using HeLa whole cell lysates)

CCR2, Polyclonal Antibody (Cat# AAA327178)

Full Name
CCR2 Antibody
Gene Names
CCR2; CKR2; CCR-2; CCR2A; CCR2B; CD192; CKR2A; CKR2B; CMKBR2; MCP-1-R; CC-CKR-2
Reactivity
Human, Mouse, Rat
Applications
Immunohistochemistry, Western Blot
Purity
The antiserum was purified by peptide affinity chromatography using SulfoLink Coupling Resin.
Pricing
product-image-AAA212806_WB13.jpg WB (Western Blot) (Detection of human and mouse BZW2 by western blot. Samples: Whole cell lysate (50 ug) from HeLa, HEK293T, Jurkat, mouse TCMK-1, and mouse NIH 3T3 cells prepared using NETN lysis buffer. Antibodies: Affinity purified rabbit anti-BZW2 antibody AAA212806 (lot AAA212806-1) used for WB at 0.1 ug/ml. Detection: Chemiluminescence with an exposure time of 3 minutes.)

BZW2, Polyclonal Antibody (Cat# AAA212806)

Full Name
Rabbit anti-BZW2 Antibody, Affinity Purified
Gene Names
BZW2; MST017; HSPC028; MSTP017
Reactivity
Human, Mouse
Applications
Immunoprecipitation, Western Blot
Purity
Antigen Affinity Purified
Pricing
product-image-AAA212445_WB10.jpg WB (Western Blot) (Detection of human and mouse TCEB2 by western blot. Samples: Whole cell lysate (50 ug) from Jurkat, HEK293T, HeLa, mouse TCMK-1, and mouse NIH 3T3 cells. Antibodies: Affinity purified rabbit anti-TCEB2 antibody AAA212445 (lot AAA212445-1) used for WB at 1 ug/ml. Detection: Chemiluminescence with an exposure time of 3 minutes.)

TCEB2, Polyclonal Antibody (Cat# AAA212445)

Full Name
Rabbit anti-TCEB2 Antibody, Affinity Purified
Gene Names
TCEB2; ELOB; SIII
Reactivity
Human, Mouse
Applications
Immunohistochemistry, Immunoprecipitation, Western Blot
Purity
Antigen Affinity Purified
Pricing
product-image-AAA326240_IF11.jpg IF (Immunofluorescence) (AAA326240 staining Hela cells by IF/ICC. The sample were fixed with PFA and permeabilized in 0.1% Triton X-100, then blocked in 10% serum for 45 minutes at 25 degree C. The primary antibody was diluted at 1/200 and incubated with the sample for 1 hour at 37 degree C. An Alexa Fluor 594 conjugated goat anti-rabbit IgG (H+L) antibody, diluted at 1/600, was used as secondary antibody.)

BTK, Polyclonal Antibody (Cat# AAA326240)

Full Name
BTK Antibody
Gene Names
BTK; AT; ATK; BPK; XLA; IMD1; AGMX1; PSCTK1
Reactivity
Human, Mouse, Rat
Applications
Immunocytochemistry, Immunofluorescence, Immunohistochemistry, Western Blot
Purity
The antiserum was purified by peptide affinity chromatography using SulfoLink Coupling Resin.
Pricing
product-image-AAA326244_WB11.jpg WB (Western Blot) (Western blot analysis of Mouse spleen lysate, using ITGAM Antibody. The lane on the left is treated with the antigen-specific peptide.)

ITGAM, Polyclonal Antibody (Cat# AAA326244)

Full Name
ITGAM Antibody
Gene Names
ITGAM; CR3A; MO1A; CD11B; MAC-1; MAC1A; SLEB6
Reactivity
Human, Mouse, Rat
Applications
Immunohistochemistry, Western Blot
Purity
The antiserum was purified by peptide affinity chromatography using SulfoLink Coupling Resin.
Pricing
product-image-AAA326245_WB11.jpg WB (Western Blot) (Western blot analysis of extracts of mouse muscle, using THRB antibody. The lane on the left is treated with the antigen-specific peptide.)

THRB, Polyclonal Antibody (Cat# AAA326245)

Full Name
THRB Antibody
Gene Names
THRB; GRTH; PRTH; THR1; ERBA2; NR1A2; THRB1; THRB2; C-ERBA-2; C-ERBA-BETA
Reactivity
Human, Mouse, Rat
Applications
Immunocytochemistry, Immunofluorescence, Immunohistochemistry, Western Blot
Purity
The antiserum was purified by peptide affinity chromatography using SulfoLink Coupling Resin.
Pricing
product-image-AAA326246_IF11.jpg IF (Immunofluorescence) (AAA326246 staining HeLa cells by IF/ICC. The sample were fixed with PFA and permeabilized in 0.1% Triton X-100, then blocked in 10% serum for 45 minutes at 25 degree C. The primary antibody was diluted at 1/200 and incubated with the sample for 1 hour at 37 degree C. An Alexa Fluor 594 conjugated goat anti-rabbit IgG (H+L) antibody, diluted at 1/600, was used as secondary antibody.)

NR1I2, Polyclonal Antibody (Cat# AAA326246)

Full Name
NR1I2 Antibody
Gene Names
NR1I2; BXR; PAR; PRR; PXR; SAR; SXR; ONR1; PAR1; PAR2; PARq
Reactivity
Human, Mouse, Rat
Applications
Immunocytochemistry, Immunofluorescence, Immunohistochemistry, Western Blot
Purity
The antiserum was purified by peptide affinity chromatography using SulfoLink Coupling Resin.
Pricing
product-image-AAA326247_WB11.jpg WB (Western Blot) (Western blot analysis of extracts of Hela, using SCARB1 antibody. The lane on the left is treated with the antigen-specific peptide.)

SCARB1, Polyclonal Antibody (Cat# AAA326247)

Full Name
SCARB1 Antibody
Gene Names
SCARB1; CLA1; SRB1; CLA-1; SR-BI; CD36L1; HDLQTL6
Reactivity
Human, Mouse, Rat
Applications
Immunocytochemistry, Immunofluorescence, Immunohistochemistry, Western Blot
Purity
The antiserum was purified by peptide affinity chromatography using SulfoLink Coupling Resin.
Pricing
product-image-AAA326255_WB11.jpg WB (Western Blot) (Western blot analysis of Hepg2 whole cell lysates, using ETS1 Antibody. The lane on the left is treated with the antigen-specific peptide.)

ETS1, Polyclonal Antibody (Cat# AAA326255)

Full Name
ETS1 Antibody
Gene Names
ETS1; p54; ETS-1; EWSR2; c-ets-1
Reactivity
Human, Mouse, Rat
Applications
Immunocytochemistry, Immunofluorescence, Immunohistochemistry, Western Blot
Purity
The antiserum was purified by peptide affinity chromatography using SulfoLink Coupling Resin.
Pricing
product-image-AAA326257_WB13.jpg WB (Western Blot) (Western blot analysis of Hepg2 whole cell lysates, using SULT1A1 Antibody. The lane on the left is treated with the antigen-specific peptide.)

SULT1A1, Polyclonal Antibody (Cat# AAA326257)

Full Name
SULT1A1 Antibody
Gene Names
SULT1A1; PST; STP; STP1; P-PST; ST1A1; ST1A3; TSPST1; HAST1/HAST2
Reactivity
Human, Mouse, Rat
Applications
Immunohistochemistry, Western Blot
Purity
The antiserum was purified by peptide affinity chromatography using SulfoLink Coupling Resin.
Pricing
product-image-AAA326258_WB13.jpg WB (Western Blot) (Western blot analysis of Mouse liver tissue lysates, using RBP4 Antibody. The lane on the left is treated with the antigen-specific peptide.)

RBP4, Polyclonal Antibody (Cat# AAA326258)

Full Name
RBP4 Antibody
Gene Names
RBP4; RDCCAS; MCOPCB10
Reactivity
Human, Mouse, Rat
Applications
Immunohistochemistry, Western Blot
Purity
The antiserum was purified by peptide affinity chromatography using SulfoLink Coupling Resin.
Pricing
product-image-AAA326263_IF11.jpg IF (Immunofluorescence) (AAA326263 staining HepG2  cells by IF/ICC. The sample were fixed with PFA and permeabilized in 0.1% Triton X-100, then blocked in 10% serum for 45 minutes at 25 degree C. The primary antibody was diluted at 1/200 and incubated with the sample for 1 hour at 37 degree C. An Alexa Fluor 594 conjugated goat anti-rabbit IgG (H+L) antibody, diluted at 1/600, was used as secondary antibody.)

ELAVL1, Polyclonal Antibody (Cat# AAA326263)

Full Name
ELAVL1 Antibody
Gene Names
ELAVL1; HUR; Hua; MelG; ELAV1
Reactivity
Human, Mouse, Rat
Applications
Immunocytochemistry, Immunofluorescence, Immunohistochemistry, Western Blot
Purity
The antiserum was purified by peptide affinity chromatography using SulfoLink Coupling Resin.
Pricing
product-image-AAA326269_IF11.jpg IF (Immunofluorescence) (AAA326269 staining HepG2  cells by IF/ICC. The sample were fixed with PFA and permeabilized in 0.1% Triton X-100, then blocked in 10% serum for 45 minutes at 25 degree C. The primary antibody was diluted at 1/200 and incubated with the sample for 1 hour at 37 degree C. An Alexa Fluor 594 conjugated goat anti-rabbit IgG (H+L) antibody, diluted at 1/600, was used as secondary antibody.)

INDO, Polyclonal Antibody (Cat# AAA326269)

Full Name
INDO Antibody
Gene Names
IDO1; IDO; INDO; IDO-1
Reactivity
Human, Rat
Applications
Immunocytochemistry, Immunofluorescence, Immunohistochemistry, Western Blot
Purity
The antiserum was purified by peptide affinity chromatography using SulfoLink Coupling Resin.
Pricing
product-image-AAA326270_WB13.jpg WB (Western Blot) (Western blot analysis of extracts of Y79 cell lines, using SPARC antibody.)

SPARC, Polyclonal Antibody (Cat# AAA326270)

Full Name
SPARC Antibody
Gene Names
SPARC; ON; OI17; BM-40
Reactivity
Human, Mouse, Rat
Applications
Immunohistochemistry, Western Blot
Purity
The antiserum was purified by peptide affinity chromatography using SulfoLink Coupling Resin.
Pricing
product-image-AAA326275_WB13.jpg WB (Western Blot) (Western blot analysis of extracts of 293T, using FABP2 antibody. The lane on the left is treated with the antigen-specific peptide.)

FABP2, Polyclonal Antibody (Cat# AAA326275)

Full Name
FABP2 Antibody
Gene Names
FABP2; FABPI; I-FABP
Reactivity
Human, Mouse, Rat
Applications
Immunohistochemistry, Western Blot
Purity
The antiserum was purified by peptide affinity chromatography using SulfoLink Coupling Resin.
Pricing
product-image-AAA326277_WB13.jpg WB (Western Blot) (Western blot analysis of HeLa whole cell lysate, using KPNA2 Antibody. The lane on the left is treated with the antigen-specific peptide.)

KPNA2, Polyclonal Antibody (Cat# AAA326277)

Full Name
KPNA2 Antibody
Gene Names
KPNA2; QIP2; RCH1; IPOA1; SRP1alpha; SRP1-alpha
Reactivity
Human, Mouse, Rat
Applications
Immunohistochemistry, Western Blot
Purity
The antiserum was purified by peptide affinity chromatography using SulfoLink Coupling Resin.
Pricing
product-image-AAA326278_WB13.jpg WB (Western Blot) (Western blot analysis of Hela whole cell lysates, using TFPI Antibody. The lane on the left is treated with the antigen-specific peptide.)

TFPI, Polyclonal Antibody (Cat# AAA326278)

Full Name
TFPI Antibody
Gene Names
TFPI; EPI; TFI; LACI; TFPI1
Reactivity
Human, Mouse, Rat
Applications
Immunohistochemistry, Western Blot
Purity
The antiserum was purified by peptide affinity chromatography using SulfoLink Coupling Resin.
Pricing
product-image-AAA326288_WB13.jpg WB (Western Blot) (Western blot analysis of extracts of A431, using ETV6 antibody. The lane on the left is treated with the antigen-specific peptide.)

ETV6, Polyclonal Antibody (Cat# AAA326288)

Full Name
ETV6 Antibody
Gene Names
ETV6; TEL; THC5; TEL/ABL
Reactivity
Human, Mouse, Rat
Applications
Immunohistochemistry, Western Blot
Purity
The antiserum was purified by peptide affinity chromatography using SulfoLink Coupling Resin.
Pricing
product-image-AAA326297_WB13.jpg WB (Western Blot) (Western blot analysis of extracts from Hela cells, using CD46 Ab. The lane on the left was treated with blocking peptide. Observed bands: 55 kDa.)

CD46, Polyclonal Antibody (Cat# AAA326297)

Full Name
CD46 Antibody
Gene Names
CD46; MCP; TLX; AHUS2; MIC10; TRA2.10
Reactivity
Human, Mouse, Rat
Applications
Immunohistochemistry, Western Blot
Purity
The antiserum was purified by peptide affinity chromatography using SulfoLink Coupling Resin (Thermo Fisher Scientific).
Pricing
product-image-AAA326301_WB13.jpg WB (Western Blot) (Western blot analysis of extracts of mouse brain, using PDE4D antibody. The lane on the left is treated with the antigen-specific peptide.)

PDE4D, Polyclonal Antibody (Cat# AAA326301)

Full Name
PDE4D Antibody
Gene Names
PDE4D; DPDE3; PDE43; STRK1; ACRDYS2; HSPDE4D; PDE4DN2
Reactivity
Human, Mouse, Rat
Applications
Immunohistochemistry, Western Blot
Purity
The antiserum was purified by peptide affinity chromatography using SulfoLink Coupling Resin.
Pricing
product-image-AAA168152_IHC11.jpg IHC (Immunohistochemisry) (Immunohistochemistry of paraffin-embedded Human lung cancer using RAB22A Polyclonal Antibody at dilution of 1:100)

RAB22A, Polyclonal Antibody (Cat# AAA168152)

Full Name
RAB22A Polyclonal Antibody
Reactivity
Human, Mouse, Rat
Applications
Immunohistochemistry, Western Blot
Purity
Antigen affinity purification
Pricing
product-image-AAA200047_WB13.jpg WB (Western Blot) (WB Suggested Anti-LPCAT1 Antibody Titration: 0.2-1 ug/mlELISA Titer: 1:312500Positive Control: Human Small Intestine)

LPCAT1, Polyclonal Antibody (Cat# AAA200047)

Full Name
LPCAT1 antibody - middle region
Gene Names
LPCAT1; AYTL2; lpcat; AGPAT9; PFAAP3; AGPAT10; LPCAT-1; lysoPAFAT
Reactivity
Cow, Dog, Guinea Pig, Horse, Human, Mouse, Pig, Rat, Zebrafish
Applications
Western Blot
Purity
Affinity Purified
Pricing
product-image-AAA149652_IHC13.jpg IHC (Immunohiostchemistry) (DAB staining on IHC-P; Samples: Rat Spleen Tissue; Primary Ab: 10ug/ml Rabbit Anti-Rat PTPRC Antibo)

Protein Tyrosine Phosphatase Receptor Type C (CD45), Polyclonal Antibody (Cat# AAA149652)

Full Name
Polyclonal Antibody to Protein Tyrosine Phosphatase Receptor Type C (CD45)
Gene Names
Ptprc; Lca; RT7; CD45; L-CA; T200
Reactivity
Human, Rat
Applications
Immunoprecipitation, Immunocytochemistry, Immunohistochemistry, Western Blot
Purity
Antigen-specific affinity chromatography followed by Protein A affinity chromatography
Pricing

What are Polyclonal Antibodies?


Polyclonal antibodies are antibodies that come from multiple B cell clones of a host animal. The typical hosts used for the majority of polyclonal antibody production are rabbits, goats, sheep, and donkeys. These polyclonal antibodies, once having identified their target, will bind to different epitopes located at different regions or sequences on the same protein/antigen. As a result, they are ideal at locating and binding to the target, even if the target is in very low concentrations (due to many different antibodies being able to bind to the same target molecule, which allows for significant amplification of a downstream signal).


Polyclonal antibodies are typically produced by injecting an antigen into a host animal, which causes the animal’s immune system to attack the foreign antigen by mass generating antibodies against it. After a period of time, serum is collected from the animal and purified using physicochemical fractionation, class-specific affinity purification, and/or antigen-affinity purification.


Key Uses of Polyclonal Antibodies


  • Western Blotting: This method is used to find specific proteins in biological samples after separating them by size.

  • Immunohistochemistry: IHC helps visualize the location of proteins in tissue sections using various staining techniques.

  • ELISA: (Enzyme-Linked Immunosorbent Assay) is typically used to identify specific protein quantities in a sample. ELISAs can be either “Quantitative” or “Qualitative”.

  • Flow Cytometry: technique that identifies and measures the specific protein on the surface or inside the cells in a fluid suspension.

  • Immunoprecipitation: IP isolates and studies a specific protein from a complex mixture using antibodies.


Why Buy Polyclonal Antibodies from AAA Biotech?


1. Ideal for Various Applications


Our antibodies are generally going to be validated for use in multiple types of assays, including ELISA, Western Blotting, Immunohistochemistry, Immunoprecipitation, amongst others. They are ideal for a wide range of research applications.


2. Rigorous Quality Control


All of the antibodies in our catalog undergo strict quality testing to ensure specificity, sensitivity, and consistent performance. We are confident in the ability of our antibodies to provide you with accurate results.


3. Wide Assortment of Antibodies


Antibodies in are catalog can be found for both common and exotic species, and these antibodies are also available in both conjugated and recombinant forms to suit many diverse experimental needs.


4. Highly Purified


Our antibodies are available in purified forms with over 85% purity, as confirmed by SDS-PAGE. They are also available with tags such as His, Flag, GST, or MBP. We cater to customers worldwide.


FAQ


1. How are polyclonal antibodies produced?


Traditionally, polyclonal antibodies are produced by injecting an antigen into a host animal (such as a rabbit or goat), which then triggers an immune response from the host animal. The animal’s B cells produce antibodies that will recognize different parts of the injected antigen. These antibodies are then collected from the animal’s blood and purified for use.


2. How do polyclonal antibodies differ from monoclonal antibodies?


Polyclonal antibodies are a mix of antibodies that bind to different locations (epitopes) of the same antigen, while monoclonal antibodies are identical and bind to just one specific epitope. This makes polyclonal antibodies more versatile and better at detecting proteins that may be present in low quantities or in altered/modified forms.


3. How should I store polyclonal antibodies?


Polyclonal antibodies should be stored at 4°C for short-term use (up to a few weeks) and at -20°C or -80°C for long-term storage. Avoid repeated freeze-thaw cycles by dividing them into small aliquots. Always check the datasheet for specific storage instructions.


Submit a Question

Please complete the form below and a representative will contact you as soon as possible.

Request more Information

Please complete the form below and a representative will contact you as soon as possible.

Request a Manual

Please complete the form below and a representative will contact you as soon as possible.

Request a Quote

Please complete the form below and a representative will contact you as soon as possible.