Loading...

Skip to main content
Call us at +1-800-604-9114 for more information about our products or contact us online Need help? +1-800-604-9114 or contact us

Filters


Clonality

Type

Reactivity

Gene Name

Isotype

Host

Application

Clone

Polyclonal Antibodies

At AAA Biotech also known as AAA Bio or AAABio, we provide a broad range of purified polyclonal antibodies (pAbs) that are able to all be browsed online through our website. Due to their high specificity and strong binding affinity, these antibodies are ideal for wide swathes of research and experimental applications.


Our polyclonal antibodies can easily support your work, whether you use them for Western Blotting, Immunocytochemistry (with or without Immunofluorescence used in conjunction), Immunohistochemistry, Immunoprecipitation, and ELISA tests. We highly encourage you to browse our range of pAbs and choose the one that best suits your experimental model.


Viewing 9200-9250 of 10000 product results


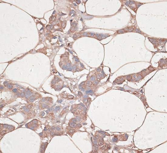
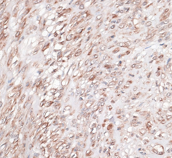
product-image-AAA169247_IHC13.jpg IHC (Immunohiostchemistry) (Immunohistochemistry of paraffin-embedded Human liver cancer tissue using BMPR1B Polyclonal Antibody at dilution 1:25)

BMPR1B, Polyclonal Antibody (Cat# AAA169247)

Full Name
BMPR1B Polyclonal Antibody
Gene Names
BMPR1B; ALK6; ALK-6; CDw293
Reactivity
Human, Mouse, Rat
Applications
Immunohistochemistry
Purity
Antigen affinity purification
Pricing
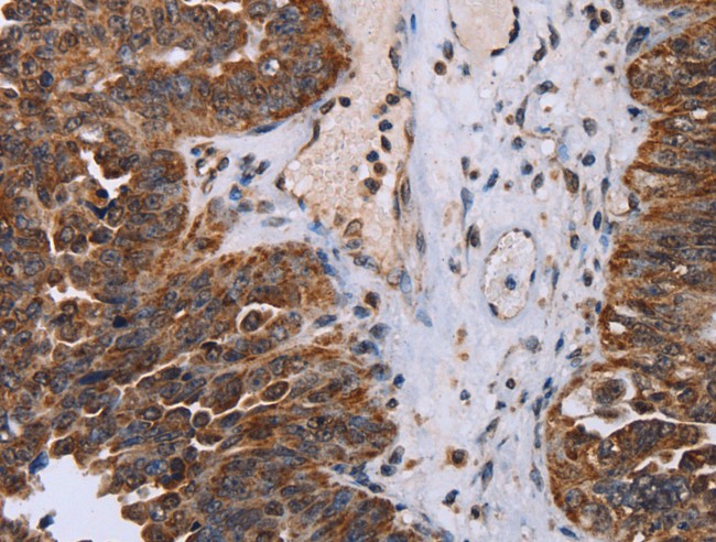
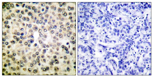
product-image-AAA169261_IHC11.jpg IHC (Immunohistochemisry) (Immunohistochemistry of paraffin-embedded Human gastric cancer using ACTA2 Polyclonal Antibody at dilution of 1:40)

ACTA2, Polyclonal Antibody (Cat# AAA169261)

Full Name
ACTA2 Polyclonal Antibody
Gene Names
ACTA2; AAT6; ACTSA; MYMY5
Reactivity
Human, Mouse, Rat
Applications
Immunohistochemistry, Western Blot
Purity
Antigen affinity purification
Pricing
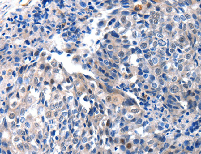
product-image-AAA169272_IHC13.jpg IHC (Immunohiostchemistry) (Immunohistochemical of paraffin-embedded human thyroid cancer using HAX1 antibody at dilution of 1:200 (400x lens).)

HAX1, Polyclonal Antibody (Cat# AAA169272)

Full Name
HAX1 Antibody
Reactivity
Human, Mouse, Rat
Applications
Immunohistochemistry, Western Blot
Purity
Antigen affinity purification
Pricing
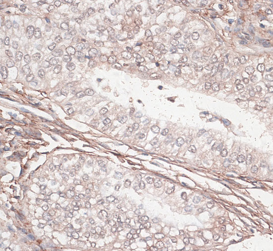
product-image-AAA176624_IHC11.jpg IHC (Immunohistochemisry) (Immunohistochemistry of paraffin-embedded Human tonsil tissue using GPCPD1 Polyclonal Antibody at dilution of 1:50(×200))

GPCPD1, Polyclonal Antibody (Cat# AAA176624)

Full Name
GPCPD1 Polyclonal Antibody
Gene Names
GPCPD1; EDI3; GDE5; GDPD6; PREI4
Reactivity
Human, Monkey, Rat
Applications
Immunohistochemistry, Western Blot
Purity
Antigen Affinity Purification
Pricing
product-image-AAA176517_IHC13.png IHC (Immunohiostchemistry) (Immunohistochemistry of paraffin-embedded Human tonsil tissue using TXNDC12 Polyclonal Antibody at dilution of 1:50(×200))

TXNDC12, Polyclonal Antibody (Cat# AAA176517)

Full Name
TXNDC12 Polyclonal Antibody
Gene Names
TXNDC12; AG1; AGR1; ERP16; ERP18; ERP19; TLP19; hAG-1; PDIA16; hTLP19
Reactivity
Human, Mouse, Rat
Applications
Immunohistochemistry
Purity
Antigen Affinity Purification
Pricing
product-image-AAA201366_WB13.jpg WB (Western Blot) (WB Suggested Anti-CEMP1 AntibodyTitration: 1.0 ug/mlPositive Control: Hela Whole cell)

CEMP1, Polyclonal Antibody (Cat# AAA201366)

Full Name
CEMP1 Antibody - C-terminal region
Gene Names
CEMP1; CP23; CP-23
Reactivity
Human
Applications
Western Blot
Purity
Affinity Purified
Pricing
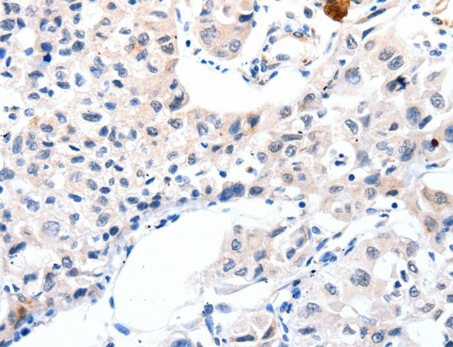
product-image-AAA167755_IHC11.jpg IHC (Immunohistochemisry) (Immunohistochemistry of paraffin-embedded Human lung cancer using IGFBP7 Polyclonal Antibody at dilution of 1:25)

IGFBP7, Polyclonal Antibody (Cat# AAA167755)

Full Name
IGFBP7 Polyclonal Antibody
Gene Names
IGFBP7; AGM; PSF; TAF; FSTL2; IBP-7; MAC25; IGFBP-7; RAMSVPS; IGFBP-7v; IGFBPRP1
Reactivity
Human, Mouse, Rat
Applications
Immunohistochemistry, Western Blot
Purity
Antigen affinity purification
Pricing
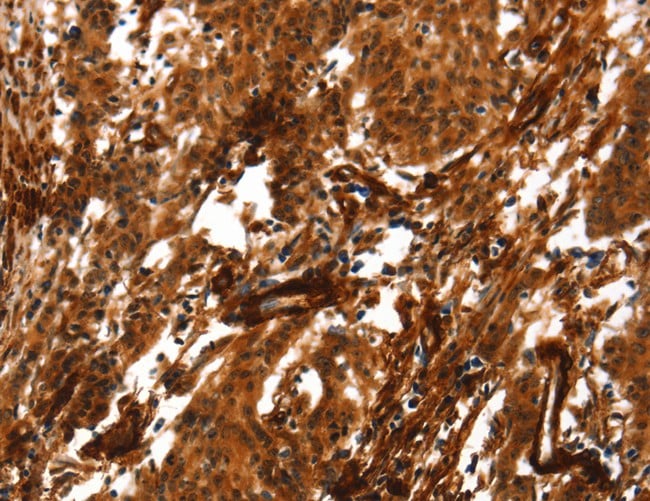
product-image-AAA168033_IHC13.jpg IHC (Immunohiostchemistry) (Immunohistochemistry of paraffin-embedded Human liver cancer tissue using DSTN Polyclonal Antibody at dilution 1:30)

DSTN, Polyclonal Antibody (Cat# AAA168033)

Full Name
DSTN Polyclonal Antibody
Gene Names
DSTN; ADF; ACTDP; HEL32; bA462D18.2
Reactivity
Human, Mouse, Rat
Applications
Immunohistochemistry
Purity
Antigen affinity purification
Pricing
product-image-AAA168105_IHC13.jpg IHC (Immunohiostchemistry) (Immunohistochemistry of paraffin-embedded Human breast cancer tissue using DDX11 Polyclonal Antibody at dilution 1:30)

DDX11, Polyclonal Antibody (Cat# AAA168105)

Full Name
DDX11 Polyclonal Antibody
Reactivity
Human, Mouse, Rat
Applications
Immunohistochemistry
Purity
Antigen affinity purification
Pricing
product-image-AAA167311_IHC11.jpg IHC (Immunohistochemisry) (Immunohistochemistry of paraffin-embedded Human colon cancer using CASP10 Polyclonal Antibody at dilution of 1:20)

CASP10, Polyclonal Antibody (Cat# AAA167311)

Full Name
CASP10 Polyclonal Antibody
Gene Names
CASP10; MCH4; ALPS2; FLICE2
Reactivity
Human, Mouse, Rat
Applications
Immunohistochemistry, Western Blot
Purity
Antigen affinity purification
Pricing
product-image-AAA170157_IHC11.jpg IHC (Immunohistochemisry) (Immunohistochemistry of paraffin-embedded Human breast cancer using ARHGDIA Polyclonal Antibody at dilution of 1:30)

ARHGDIA, Polyclonal Antibody (Cat# AAA170157)

Full Name
ARHGDIA Polyclonal Antibody
Gene Names
ARHGDIA; GDIA1; NPHS8; RHOGDI; RHOGDI-1; HEL-S-47e
Reactivity
Human, Mouse, Rat
Applications
Immunohistochemistry, Western Blot
Purity
Antigen affinity purification
Pricing
product-image-AAA172268_WB13.jpg WB (Western Blot) (Western Blot analysis of Rat kidney using Phospho-KOR-1 (Ser369) Polyclonal Antibody at dilution of 1:1000.)

KOR-1, Polyclonal Antibody (Cat# AAA172268)

Full Name
Phospho-KOR-1 (S369) Polyclonal Antibody
Reactivity
Mouse, Rat
Applications
Immunohistochemistry, Western Blot
Purity
Antigen Affinity Purified
Pricing
product-image-AAA175649_IHC13.png IHC (Immunohiostchemistry) (Immunohistochemistry of paraffin-embedded Human tonsil tissue using CEP89 Polyclonal Antibody at dilution of 1:95(×200))

CEP89, Polyclonal Antibody (Cat# AAA175649)

Full Name
CEP89 Polyclonal Antibody
Gene Names
CEP89; CEP123; CCDC123
Reactivity
Human
Applications
Immunohistochemistry
Purity
Antigen Affinity Purification
Pricing
product-image-AAA175797_IHC13.png IHC (Immunohiostchemistry) (Immunohistochemistry of paraffin-embedded Human esophagus cancer tissue using MBL2 Polyclonal Antibody at dilution of 1:25(×200))

MBL2, Polyclonal Antibody (Cat# AAA175797)

Full Name
MBL2 Polyclonal Antibody
Gene Names
MBL2; MBL; MBP; MBP1; MBPD; MBL2D; MBP-C; COLEC1; HSMBPC
Reactivity
Human, Rat
Applications
Immunohistochemistry
Purity
Antigen Affinity Purification
Pricing
product-image-AAA175611_IHC13.png IHC (Immunohiostchemistry) (Immunohistochemistry of paraffin-embedded Human tonsil tissue using LRAT Polyclonal Antibody at dilution of 1:55(×200))

LRAT, Polyclonal Antibody (Cat# AAA175611)

Full Name
LRAT Polyclonal Antibody
Gene Names
LRAT; LCA14
Reactivity
Human, Mouse, Rat
Applications
Immunohistochemistry, Western Blot
Purity
Antigen Affinity Purification
Pricing
product-image-AAA177328_IF8.jpg IF (Immunofluorescence) (Immunofluorescence analysis of Rat heart using LAMC1 Polyclonal Antibody at dilution of 1:100. Blue: DAPI for nuclear staining.)

LAMC1, Polyclonal Antibody (Cat# AAA177328)

Full Name
LAMC1 Polyclonal Antibody
Gene Names
LAMC1; LAMB2
Reactivity
Human, Mouse, Rat
Applications
Immunofluorescence, Immunohistochemistry
Purity
Affinity purification
Pricing
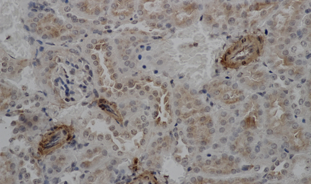
product-image-AAA177353_IHC10.jpg IHC (Immunohistochemistry) (Immunohistochemistry of paraffin-embedded Mouse kidney using SMN1 Polyclonal Antibody at dilution of 1:100 (40x lens).)

SMN1, Polyclonal Antibody (Cat# AAA177353)

Full Name
SMN1 Polyclonal Antibody
Gene Names
SMN1; SMA; SMN; SMA1; SMA2; SMA3; SMA4; SMA@; SMNT; BCD541; GEMIN1; TDRD16A; T-BCD541
Reactivity
Human, Mouse, Rat
Applications
Immunohistochemistry, Western Blot
Purity
Affinity purification
Pricing
product-image-AAA177562_IF10.jpg IF (Immunofluorescence) (Immunofluorescence analysis of U-2 OS cells using CD47 Polyclonal Antibody at dilution of 1:100. Blue: DAPI for nuclear staining.)

CD47, Polyclonal Antibody (Cat# AAA177562)

Full Name
CD47 Polyclonal Antibody
Gene Names
CD47; IAP; OA3; MER6
Reactivity
Human, Mouse, Rat
Applications
Immunofluorescence, Immunohistochemistry
Purity
Affinity purification
Pricing
product-image-AAA178652_WB13.jpg WB (Western Blot) (Western blotting of Dimethyl-Lysine polyclonal antibody at dilution of 1:500.)

Dimethyl-Lysine, Polyclonal Antibody (Cat# AAA178652)

Full Name
Dimethyl-Lysine Polyclonal Antibody
Reactivity
Human, Mouse, E coli
Applications
Dot Blot, Western Blot
Purity
Antigen Affinity Purification
Pricing
product-image-AAA179207_WB13.jpg WB (Western Blot) (Western blot analysis of extracts of various cell lines using SNRNP40 Polyclonal Antibody at 1:1000 dilution.)

SNRNP40, Polyclonal Antibody (Cat# AAA179207)

Full Name
SNRNP40 Polyclonal Antibody
Gene Names
SNRNP40; 40K; SPF38; WDR57; PRP8BP; HPRP8BP; PRPF8BP
Reactivity
Human, Mouse
Applications
Western Blot
Purity
Affinity purification
Pricing
product-image-AAA179446_IHC13.jpg IHC (Immunohiostchemistry) (Immunohistochemistry of paraffin-embedded mouse adrenal gland using AGRP Polyclonal Antibody at dilution of 1:50 (40x lens).Perform high pressure antigen retrieval with 10 mM citrate buffer pH 6.0 before commencing with IHC staining protocol.)

AGRP, Polyclonal Antibody (Cat# AAA179446)

Full Name
AGRP Polyclonal Antibody
Gene Names
AGRP; ART; AGRT; ASIP2
Reactivity
Mouse, Rat
Applications
Immunohistochemistry, Western Blot
Purity
Affinity purification
Pricing
product-image-AAA118289_IHC11.jpg IHC (Immunohistochemisry) (Immunohistochemistry of paraffin-embedded human placenta using AAA118289 at dilution 1:100)

BMP and activin membrane-bound inhibitor homolog, Polyclonal Antibody (Cat# AAA118289)

Full Name
Rabbit anti-human BMP and activin membrane-bound inhibitor homolog polyclonal Antibody(BAMBI)
Gene Names
BAMBI; NMA
Reactivity
Human
Applications
Immunohistochemistry
Purity
Antigen Affinity Purified
Pricing
product-image-AAA118416_WB13.jpg WB (Western Blot) (Western BlotPositive WB detected in:HepG2 whole cell lysate,HEK293 whole cell lysate,Mouse kidney tissueAll lanes: GEMIN8 antibody at 4ug/mlSecondaryGoat polyclonal to rabbit IgG at 1/50000 dilutionPredicted band size: 29 kDaObserved band size: 29,33 kDa)

GEMIN8, Polyclonal Antibody (Cat# AAA118416)

Full Name
GEMIN8 Antibody
Gene Names
GEMIN8; FAM51A1
Reactivity
Human
Applications
Immunohistochemistry, Western Blot
Purity
>95%, Protein G Purified
Pricing
product-image-AAA179749_IHC13.jpg IHC (Immunohiostchemistry) (Immunohistochemistry of paraffin-embedded Human lung using AGER Polyclonal Antibody at dilution of 1:450.)

AGER, Polyclonal Antibody (Cat# AAA179749)

Full Name
AGER Polyclonal antibody
Gene Names
AGER; RAGE
Reactivity
Human, Mouse, Rat
Applications
Immunohistochemistry, Western Blot
Purity
Antigen Affinity Purification
Pricing
product-image-AAA179763_IHC11.jpg IHC (Immunohistochemisry) (Immunohistochemistry of paraffin-embedded Human breast cancer using Adipoq Polyclonal Antibody at dilution of 1:600)

ADIPOQ, Polyclonal Antibody (Cat# AAA179763)

Full Name
ADIPOQ Polyclonal Antibody
Gene Names
Adipoq; Acdc; Acrp30
Reactivity
Human, Mouse, Rat
Applications
Immunohistochemistry, Western Blot
Purity
Antigen Affinity Purification
Pricing
product-image-AAA178676_IHC8.jpg IHC (Immunohistochemistry) (Immunohistochemistry of paraffin-embedded rat ovary using MTAP Polyclonal antibody at dilution of 1:50 (40x lens).Perform high pressure antigen retrieval with 10 mM citrate buffer pH 6.0 before commencing with IHC staining protocol.)

MTAP, Polyclonal Antibody (Cat# AAA178676)

Full Name
MTAP Polyclonal Antibody
Gene Names
MTAP; BDMF; MSAP; DMSFH; LGMBF; DMSMFH; c86fus; HEL-249
Reactivity
Human, Mouse, Rat
Applications
Immunohistochemistry, Western Blot
Purity
Affinity purification
Pricing
product-image-AAA179577_IF10.jpg IF (Immunofluorescence) (Immunofluorescence analysis of NIH/3T3 cells using HMGCR Polyclonal Antibody at dilution of 1:200 (40x lens). Blue: DAPI for nuclear staining.)

HMGCR, Polyclonal Antibody (Cat# AAA179577)

Full Name
HMGCR Polyclonal Antibody
Gene Names
HMGCR; LDLCQ3
Reactivity
Human, Mouse, Rat
Applications
Immunofluorescence, Western Blot
Purity
Affinity purification
Pricing
product-image-AAA179541_IF11.jpg IF (Immunofluorescence) (Immunofluorescence analysis of U2OS cells using JAK1 Polyclonal Antibody at dilution of 1:300 (40x lens). Blue: DAPI for nuclear staining.)

JAK1, Polyclonal Antibody (Cat# AAA179541)

Full Name
JAK1 Polyclonal Antibody
Gene Names
JAK1; JTK3; JAK1A; JAK1B
Reactivity
Human, Mouse, Rat
Applications
Immunofluorescence, Western Blot
Purity
Affinity purification
Pricing
product-image-AAA126238_FCM11.jpg FCM/FACS (Flow Cytometry) (Figure 3. Flow Cytometry analysis of ANA-1 cells using anti-Sox11 antibody (AAA126238).Overlay histogram showing ANA-1 cells stained with AAA126238 (Blue line). The cells were blocked with 10% normal goat serum. And then incubated with rabbit anti-Sox11 Antibody (AAA126238, 1 ug/1x10^6 cells) for 30 min at 20 degree C. DyLight488 conjugated goat anti-rabbit IgG was used as secondary antibody for 30 minutes at 20 degree C. Isotype control antibody (Green line) was rabbit IgG (1 ug/1x10^6) used under the same conditions. Unlabelled sample (Red line) was also used as a control.)

Sox11, Polyclonal Antibody (Cat# AAA126238)

Full Name
Anti-Sox11 Antibody Picoband
Gene Names
Sox11; end1; AI836553; 1110038H03Rik; 6230403H02Rik
Reactivity
Mouse, Rat
Applications
Flow Cytometry, Immunohistochemistry, Western Blot
Purity
Immunogen affinity purified.
Pricing
product-image-AAA126054_FCM13.jpg FCM/FACS (Flow Cytometry) (Figure 2. Flow Cytometry analysis of HEL cells using anti-CXCR5 antibody (AAA126054).Overlay histogram showing HEL cells stained with AAA126054 (Blue line). The cells were blocked with 10% normal goat serum. And then incubated with rabbit anti-CXCR5 Antibody (AAA126054, 1 ug/1x10^6 cells) for 30 min at 20 degree C. DyLight488 conjugated goat anti-rabbit IgG was used as secondary antibody for 30 minutes at 20 degree C. Isotype control antibody (Green line) was rabbit IgG (1 ug/1x10^6) used under the same conditions. Unlabelled sample (Red line) was also used as a control.)

CXCR5, Polyclonal Antibody (Cat# AAA126054)

Full Name
Anti-CXCR5 Antibody Picoband
Gene Names
CXCR5; BLR1; CD185; MDR15
Reactivity
Human, Mouse, Rat
Applications
Flow Cytometry, Western Blot
Purity
Immunogen affinity purified.
Pricing
product-image-AAA127914_FCM11.png FCM/FACS (Flow Cytometry) (Figure 3. Flow Cytometry analysis of K562 cells using anti-SYCN antibody (AAA127914).Overlay histogram showing K562 cells stained with AAA127914 (Blue line). To facilitate intracellular staining, cells were fixed with 4% paraformaldehyde and permeabilized with permeabilization buffer. The cells were blocked with 10% normal goat serum. And then incubated with rabbit anti-SYCN Antibody (AAA127914, 1ug/1x106 cells) for 30 min at 20 degree C. DyLight488 conjugated goat anti-rabbit IgG was used as secondary antibody for 30 minutes at 20 degree C. Isotype control antibody (Green line) was rabbit IgG (1ug/1x106) used under the same conditions. Unlabelled sample (Red line) was also used as a control.)

SYCN, Polyclonal Antibody (Cat# AAA127914)

Full Name
Anti-SYCN Antibody Picoband
Gene Names
SYCN; SYL; INSSA1
Reactivity
Human, Mouse, Rat
Applications
Flow Cytometry, Immunofluorescence, Immunocytochemistry, Western Blot
Purity
Immunogen affinity purified.
Pricing
product-image-AAA125691_FCM13.jpg FCM/FACS (Flow Cytometry) (Figure 2. Flow Cytometry analysis of SiHa cells using anti-FOXN1 antibody (AAA125691).Overlay histogram showing SiHa cells stained with AAA125691 (Blue line). The cells were blocked with 10% normal goat serum. And then incubated with rabbit anti-FOXN1 Antibody (AAA125691, 1μg/1x106 cells) for 30 min at 20 degree C. DyLight®488 conjugated goat anti-rabbit IgG (5-10μg/1x106 cells) was used as secondary antibody for 30 minutes at 20 degree C. Isotype control antibody (Green line) was rabbit IgG (1μg/1x106) used under the same conditions. Unlabelled sample (Red line) was also used as a control.)

FOXN1, Polyclonal Antibody (Cat# AAA125691)

Full Name
Anti-FOXN1 Antibody
Gene Names
FOXN1; WHN; RONU; FKHL20
Reactivity
Human, Mouse, Rat
Applications
Flow Cytometry, Western Blot
Purity
Immunogen affinity purified.
Pricing
product-image-AAA127176_FCM11.png FCM/FACS (Flow Cytometry) (Figure 3. Flow Cytometry analysis of U20S cells using anti-RANBP9 antibody (AAA127176).Overlay histogram showing U20S cells stained with AAA127176 (Blue line). To facilitate intracellular staining, cells were fixed with 4% paraformaldehyde and permeabilized with permeabilization buffer. The cells were blocked with 10% normal goat serum. And then incubated with rabbit anti-RANBP9 Antibody (AAA127176, 1ug/1x106 cells) for 30 min at 20 degree C. DyLight488 conjugated goat anti-rabbit IgG was used as secondary antibody for 30 minutes at 20 degree C. Isotype control antibody (Green line) was rabbit IgG (1ug/1x106) used under the same conditions. Unlabelled sample (Red line) was also used as a control.)

RANBP9, Polyclonal Antibody (Cat# AAA127176)

Full Name
Anti-RANBP9 Antibody Picoband
Gene Names
RANBP9; BPM-L; BPM90; RANBPM; RanBP7
Reactivity
Human
Applications
Flow Cytometry, Immunofluorescence, Immunocytochemistry, Western Blot
Purity
Immunogen affinity purified.
Pricing
product-image-AAA127260_FCM13.png FCM/FACS (Flow Cytometry) (Figure 2. Flow Cytometry analysis of K562 cells using anti-SYNGAP1 antibody (AAA127260).Overlay histogram showing K562 cells stained with AAA127260 (Blue line). To facilitate intracellular staining, cells were fixed with 4% paraformaldehyde and permeabilized with permeabilization buffer. The cells were blocked with 10% normal goat serum. And then incubated with rabbit anti-SYNGAP1 Antibody (AAA127260, 1ug/1x106 cells) for 30 min at 20 degree C. DyLight488 conjugated goat anti-rabbit IgG was used as secondary antibody for 30 minutes at 20 degree C. Isotype control antibody (Green line) was rabbit IgG (1ug/1x106) used under the same conditions. Unlabelled sample (Red line) was also used as a control.)

SYNGAP1, Polyclonal Antibody (Cat# AAA127260)

Full Name
Anti-SYNGAP1 Antibody Picoband
Gene Names
SYNGAP1; MRD5; RASA1; RASA5; SYNGAP
Reactivity
Human, Mouse, Rat
Applications
Flow Cytometry, Western Blot
Purity
Immunogen affinity purified.
Pricing
product-image-AAA127320_FACS8.jpg FCM/FACS (Flow Cytometry) (Figure 5. Flow Cytometry analysis of SH-SY5Y cells using anti-RNF111 antibody (AAA127320).Overlay histogram showing SH-SY5Y cells stained with AAA127320 (Blue line). To facilitate intracellular staining, cells were fixed with 4% paraformaldehyde and permeabilized with permeabilization buffer. The cells were blocked with 10% normal goat serum. And then incubated with rabbit anti-RNF111 Antibody (AAA127320, 1ug/1x106 cells) for 30 min at 20 degree C. DyLight488 conjugated goat anti-rabbit IgG was used as secondary antibody for 30 minutes at 20 degree C. Isotype control antibody (Green line) was rabbit IgG (1ug/1x106) used under the same conditions. Unlabelled sample without incubation with primary antibody and secondary antibody (Red line) was used as a blank control.)

RNF111, Polyclonal Antibody (Cat# AAA127320)

Full Name
Anti-RNF111 Antibody Picoband
Gene Names
RNF111; ARK
Reactivity
Human, Mouse, Rat
Applications
Flow Cytometry, Immunofluorescence, Immunocytochemistry, Immunohistochemistry, Western Blot
Purity
Immunogen affinity purified.
Pricing
product-image-AAA127497_FCM13.png FCM/FACS (Flow Cytometry) (Figure 2. Flow Cytometry analysis of JK cells using anti-PET112/GATB antibody (AAA127497).Overlay histogram showing JK cells stained with AAA127497 (Blue line). To facilitate intracellular staining, cells were fixed with 4% paraformaldehyde and permeabilized with permeabilization buffer. The cells were blocked with 10% normal goat serum. And then incubated with rabbit anti-PET112/GATB Antibody (AAA127497, 1ug/1x106 cells) for 30 min at 20 degree C. DyLight488 conjugated goat anti-rabbit IgG was used as secondary antibody for 30 minutes at 20 degree C. Isotype control antibody (Green line) was rabbit IgG (1ug/1x106) used under the same conditions. Unlabelled sample (Red line) was also used as a control.)

GATB, Polyclonal Antibody (Cat# AAA127497)

Full Name
Anti-GATB Antibody Picoband
Gene Names
GATB; PET112; HSPC199; PET112L
Reactivity
Human, Mouse
Applications
Flow Cytometry, Western Blot
Purity
Immunogen affinity purified.
Pricing
product-image-AAA127715_FCM11.png FCM/FACS (Flow Cytometry) (Figure 3. Flow Cytometry analysis of HepG2 cells using anti-MPHOSPH10 antibody (AAA127715).Overlay histogram showing HepG2 cells stained with AAA127715 (Blue line). To facilitate intracellular staining, cells were fixed with 4% paraformaldehyde and permeabilized with permeabilization buffer. The cells were blocked with 10% normal goat serum. And then incubated with rabbit anti-MPHOSPH10 Antibody (AAA127715, 1ug/1x106 cells) for 30 min at 20 degree C. DyLight488 conjugated goat anti-rabbit IgG was used as secondary antibody for 30 minutes at 20 degree C. Isotype control antibody (Green line) was rabbit IgG (1ug/1x106) used under the same conditions. Unlabelled sample (Red line) was also used as a control.)

MPHOSPH10, Polyclonal Antibody (Cat# AAA127715)

Full Name
Anti-MPHOSPH10 Antibody Picoband
Gene Names
MPHOSPH10; CT90; MPP10; MPP10P; PPP1R106
Reactivity
Human
Applications
Flow Cytometry, Immunofluorescence, Immunocytochemistry, Western Blot
Purity
Immunogen affinity purified.
Pricing
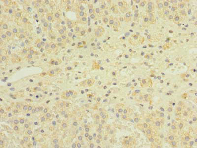
product-image-AAA124705_IHC10.jpg IHC (Immunohistochemistry) (Figure 4. IHC analysis of SHIP using anti-SHIP antibody (AAA124705).SHIP was detected in paraffin-embedded section of rat spleen tissue. Heat mediated antigen retrieval was performed in citrate buffer (pH6, epitope retrieval solution) for 20 mins. The tissue section was blocked with 10% goat serum. The tissue section was then incubated with 2ug/ml rabbit anti-SHIP Antibody (AAA124705) overnight at 4 degree C. Biotinylated goat anti-rabbit IgG was used as secondary antibody and incubated for 30 minutes at 37 degree C. The tissue section was developed using Strepavidin-Biotin-Complex (SABC) with DAB as the chromogen.)

SHIP, Polyclonal Antibody (Cat# AAA124705)

Full Name
Anti-SHIP Picoband Antibody
Gene Names
INPP5D; SHIP; SHIP1; SHIP-1; hp51CN; SIP-145; p150Ship
Reactivity
Human, Mouse, Rat
No cross reactivity with other proteins.
Applications
Western Blot, Immunohistochemistry
Pricing
product-image-AAA127019_FCM13.jpg FCM/FACS (Flow Cytometry) (Figure 2. Flow Cytometry analysis of MCF-7 cells using anti-EGR2 antibody (AAA127019).Overlay histogram showing MCF-7 cells stained with AAA127019 (Blue line). To facilitate intracellular staining, cells were fixed with 4% paraformaldehyde and permeabilized with permeabilization buffer. The cells were blocked with 10% normal goat serum. And then incubated with rabbit anti-EGR2 Antibody (AAA127019, 1ug/1x106 cells) for 30 min at 20 degree C. DyLight488 conjugated goat anti-rabbit IgG was used as secondary antibody for 30 minutes at 20 degree C. Isotype control antibody (Green line) was rabbit IgG (1ug/1x106) used under the same conditions. Unlabelled sample without incubation with primary antibody and secondary antibody (Red line) was used as a blank control.)

EGR2, Polyclonal Antibody (Cat# AAA127019)

Full Name
Anti-EGR2 Antibody Picoband
Gene Names
EGR2; AT591; CMT1D; CMT4E; KROX20
Reactivity
Human, Mouse, Rat
Applications
Flow Cytometry, Western Blot
Purity
Immunogen affinity purified.
Pricing
product-image-AAA50914_WB11.jpg WB (Western Blot) (Antibody (0.2 ug/ml) staining of HEK293 cell lysate (35 ug protein in RIPA buffer). Primary incubation was 1 hour. Detected by chemiluminescence.)

P4HA1, Polyclonal Antibody (Cat# AAA50914)

Full Name
Goat Polyclonal to Human P4HA1
Gene Names
P4HA1; P4HA
Reactivity
Human, Monkey, Bat, Bovine, Dog, Horse, Pig, Rabbit, Chicken (tested or 100% immunogen sequence identity)
Applications
Western Blot, Immunohistochemistry
Purity
Immunoaffinity Purified
Pricing
product-image-AAA50734_WB11.jpg WB (Western Blot) (Western blot of ACE2 in human kidney lysate with ACE2 antibody at (A) 0.5, (B) 1 and (C) 2 ug/ml.)

ACE2 / ACE-2, Polyclonal Antibody (Cat# AAA50734)

Full Name
Rabbit Polyclonal to Human ACE2 / ACE-2
Gene Names
ACE2; ACEH
Reactivity
Human, Mouse
Applications
Western Blot, Immunohistochemistry
Purity
Immunoaffinity Purified
Pricing
product-image-AAA51492_IHC15.jpg IHC (Immunohistochemistry) (Anti-S1PR1 / EDG1 antibody IHC of human placenta, endothelium. Immunohistochemistry of formalin-fixed, paraffin-embedded tissue after heat-induced antigen retrieval. Antibody concentration 2.5 ug/ml.)

S1PR1 / EDG1 / S1P1, Polyclonal Antibody (Cat# AAA51492)

Full Name
Rabbit Polyclonal (IgG) to Human S1PR1 / EDG1 / S1P1
Gene Names
S1PR1; EDG1; S1P1; CD363; ECGF1; EDG-1; CHEDG1; D1S3362
Reactivity
Human, Mouse, Rat
Applications
Western Blot, Immunohistochemistry
Purity
Affinity Purified
Pricing
product-image-AAA52473_WB13.jpg WB (Western Blot) (OAS2 antibody (0.3 ug/ml) staining of Daudi (A), Jurkat (B) and K562 (C) lysates (35 ug protein in RIPA buffer). Primary incubation was 1 hour. Detected by chemiluminescence.)

OAS2, Polyclonal Antibody (Cat# AAA52473)

Full Name
Goat Polyclonal to Human OAS2
Reactivity
Gibbon, Chimpanzee, Human
Applications
Western Blot, Immunohistochemistry
Purity
Immunoaffinity Purified
Pricing
product-image-AAA142669_IHC10.jpg IHC (Immunohistochemistry) (DAB staining on IHC-P; Samples: Human Skin cancer Tissue))

S100 Calcium Binding Protein A14, Polyclonal Antibody (Cat# AAA142669)

Full Name
Polyclonal Antibody to S100 Calcium Binding Protein A14 (S100A14)
Gene Names
S100A14; BCMP84; S100A15
Reactivity
Human, Mouse, Pig
Applications
Immunohistochemistry, Immunocytochemistry, Western Blot
Purity
Affinity Chromatography
Pricing
product-image-AAA142719_IHC13.jpg IHC (Immunohiostchemistry) (DAB staining on IHC-P;Samples: Porcine Stomach Tissue;Primary Ab: 20ug/ml Rabbit Anti-Porcine MCP1 AntibodySecond Ab: 2ug/mL HRPLinked Caprine Anti-Rabbit IgG Polyclonal Antibody)

Monocyte Chemotactic Protein 1, Polyclonal Antibody (Cat# AAA142719)

Full Name
Polyclonal Antibody to Monocyte Chemotactic Protein 1 (MCP1)
Gene Names
CCL2; MCP-1
Reactivity
Pig
Applications
Immunoprecipitation, Immunocytochemistry, Immunohistochemistry, Western Blot
Purity
Antigen-specific affinity chromatography followed by Protein A affinity chromatography
Pricing
product-image-AAA145091_IHC11.jpg IHC (Immunohistochemisry) (DAB staining on IHC-P; Samples: Mouse Stomach Tissue))

Insulin Promoter Factor 1, Polyclonal Antibody (Cat# AAA145091)

Full Name
Insulin Promoter Factor 1 (IPF) Polyclonal Antibody
Gene Names
Pdx1; Ipf1; IDX-1; IPF-1; Mody4; STF-1; pdx-1
Reactivity
Mouse, Human, Rat
Applications
Immunohistochemistry, Immunocytochemistry, Western Blot
Purity
Affinity Chromatography
Pricing
product-image-AAA318287_WB13.jpg WB (Western Blot) (Western blot analysis of lysates from 293 cells treated with UV 15', using ATRIP (Phospho-Ser224) Antibody.)

ATRIP, Polyclonal Antibody (Cat# AAA318287)

Full Name
ATRIP (Phospho-Ser224) Antibody
Reactivity
Human
Applications
Immunohistochemistry, Western Blot
Purity
Purified from rabbit antiserum by affinity-chromatography using phospho peptide. The antibody against non-phospho peptide was removed by chromatography using corresponding non-phospho peptide.
Pricing
product-image-AAA318318_WB13.jpg WB (Western Blot) (Western blot analysis of lysates from Jurkat cells treated with EGF 200ng/ml 5', using FOS (Phospho-Thr232) Antibody.)

FOS, Polyclonal Antibody (Cat# AAA318318)

Full Name
FOS (Phospho-Thr232) Antibody
Gene Names
FOS; p55; AP-1; C-FOS
Reactivity
Human, Mouse, Rat
Applications
Immunohistochemistry, Western Blot
Purity
Purified from rabbit antiserum by affinity-chromatography using phospho peptide. The antibody against non-phospho peptide was removed by chromatography using corresponding non-phospho peptide.
Pricing
product-image-AAA318323_WB13.jpg WB (Western Blot) (Western blot analysis of lysates from HepG2 cells treated with PMA 125ng/ml 20', using HER2 (Phospho-Tyr1112) Antibody.)

HER2, Polyclonal Antibody (Cat# AAA318323)

Full Name
HER2 (Phospho-Tyr1112) Antibody
Gene Names
ERBB2; NEU; NGL; HER2; TKR1; CD340; HER-2; MLN 19; HER-2/neu
Reactivity
Human, Mouse, Rat
Applications
Western Blot
Purity
Purified from rabbit antiserum by affinity-chromatography using phospho peptide. The antibody against non-phospho peptide was removed by chromatography using corresponding non-phospho peptide.
Pricing
product-image-AAA318015_WB11.jpg WB (Western Blot) (Western blot analysis of lysates from COS7 cells, treated with sorbitol 0.4M 24h, using NF-kappaB p65 Antibody. The lane on the right is blocked with the synthesized peptide.)

NF-kappaB p65, Polyclonal Antibody (Cat# AAA318015)

Full Name
NF-kappaB p65 Antibody
Gene Names
RELA; p65; NFKB3
Reactivity
Human, Mouse
Applications
Immunofluorescence, Immunohistochemistry, Western Blot
Purity
Purified from rabbit antiserum by affinity-chromatography using immunogen.
Pricing

What are Polyclonal Antibodies?


Polyclonal antibodies are antibodies that come from multiple B cell clones of a host animal. The typical hosts used for the majority of polyclonal antibody production are rabbits, goats, sheep, and donkeys. These polyclonal antibodies, once having identified their target, will bind to different epitopes located at different regions or sequences on the same protein/antigen. As a result, they are ideal at locating and binding to the target, even if the target is in very low concentrations (due to many different antibodies being able to bind to the same target molecule, which allows for significant amplification of a downstream signal).


Polyclonal antibodies are typically produced by injecting an antigen into a host animal, which causes the animal’s immune system to attack the foreign antigen by mass generating antibodies against it. After a period of time, serum is collected from the animal and purified using physicochemical fractionation, class-specific affinity purification, and/or antigen-affinity purification.


Key Uses of Polyclonal Antibodies


  • Western Blotting: This method is used to find specific proteins in biological samples after separating them by size.

  • Immunohistochemistry: IHC helps visualize the location of proteins in tissue sections using various staining techniques.

  • ELISA: (Enzyme-Linked Immunosorbent Assay) is typically used to identify specific protein quantities in a sample. ELISAs can be either “Quantitative” or “Qualitative”.

  • Flow Cytometry: technique that identifies and measures the specific protein on the surface or inside the cells in a fluid suspension.

  • Immunoprecipitation: IP isolates and studies a specific protein from a complex mixture using antibodies.


Why Buy Polyclonal Antibodies from AAA Biotech?


1. Ideal for Various Applications


Our antibodies are generally going to be validated for use in multiple types of assays, including ELISA, Western Blotting, Immunohistochemistry, Immunoprecipitation, amongst others. They are ideal for a wide range of research applications.


2. Rigorous Quality Control


All of the antibodies in our catalog undergo strict quality testing to ensure specificity, sensitivity, and consistent performance. We are confident in the ability of our antibodies to provide you with accurate results.


3. Wide Assortment of Antibodies


Antibodies in are catalog can be found for both common and exotic species, and these antibodies are also available in both conjugated and recombinant forms to suit many diverse experimental needs.


4. Highly Purified


Our antibodies are available in purified forms with over 85% purity, as confirmed by SDS-PAGE. They are also available with tags such as His, Flag, GST, or MBP. We cater to customers worldwide.


FAQ


1. How are polyclonal antibodies produced?


Traditionally, polyclonal antibodies are produced by injecting an antigen into a host animal (such as a rabbit or goat), which then triggers an immune response from the host animal. The animal’s B cells produce antibodies that will recognize different parts of the injected antigen. These antibodies are then collected from the animal’s blood and purified for use.


2. How do polyclonal antibodies differ from monoclonal antibodies?


Polyclonal antibodies are a mix of antibodies that bind to different locations (epitopes) of the same antigen, while monoclonal antibodies are identical and bind to just one specific epitope. This makes polyclonal antibodies more versatile and better at detecting proteins that may be present in low quantities or in altered/modified forms.


3. How should I store polyclonal antibodies?


Polyclonal antibodies should be stored at 4°C for short-term use (up to a few weeks) and at -20°C or -80°C for long-term storage. Avoid repeated freeze-thaw cycles by dividing them into small aliquots. Always check the datasheet for specific storage instructions.


Submit a Question

Please complete the form below and a representative will contact you as soon as possible.

Request more Information

Please complete the form below and a representative will contact you as soon as possible.

Request a Manual

Please complete the form below and a representative will contact you as soon as possible.

Request a Quote

Please complete the form below and a representative will contact you as soon as possible.