Rabbit ABCA5 Polyclonal Antibody | anti-ABCA5 antibody
ABCA5 antibody - C-terminal region
Gene Names
ABCA5; HTC3; ABC13; EST90625
Reactivity
Cow, Dog, Horse, Human, Mouse, Rabbit, Rat
Applications
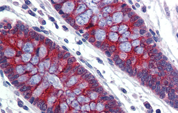
Western Blot, Immunohistochemistry
Purity
Affinity Purified
Synonyms
ABCA5, Antibody; ABCA5 antibody - C-terminal region; anti-ABCA5 antibody
Host
Rabbit
Reactivity
Cow, Dog, Horse, Human, Mouse, Rabbit, Rat
Clonality
Polyclonal
Purity/Purification
Affinity Purified
Form/Format
Liquid. Purified antibody supplied in 1x PBS buffer with 0.09% (w/v) sodium azide and 2% sucrose.
Sequence
Synthetic peptide located within the following region: HKEYDDKKDFLLSRKVKKVATKYISFCVKKGEILGLLGPNGAGKSTIINI
Sequence Length
1642
Applicable Applications for anti-ABCA5 antibody
WB (Western Blot), IHC (Immunohistochemistry)
Homology
Cow: 79%; Dog: 86%; Horse: 86%; Human: 100%; Mouse: 93%; Rabbit: 86%; Rat: 93%
Immunogen
The immunogen is a synthetic peptide directed towards the C terminal region of human ABCA5
Preparation and Storage
For short term use, store at 2-8 degree C up to 1 week. For long term storage, store at -20 degree C in small aliquots to prevent freeze-thaw cycles.
Related Product Information for anti-ABCA5 antibody
This is a rabbit polyclonal antibody against ABCA5. It was validated on Western Blot using a cell lysate as a positive control.
Target Description: The membrane-associated protein ABCA5 is a member of the superfamily of ATP-binding cassette (ABC) transporters. ABC proteins transport various molecules across extra- and intracellular membranes. ABC genes are divided into seven distinct subfamilies (ABC1, MDR/TAP, MRP, ALD, OABP, GCN20, and White). ABCA5 is a member of the ABC1 subfamily. Members of the ABC1 subfamily comprise the only major ABC subfamily found exclusively in multicellular eukaryotes. This gene is clustered among 4 other ABC1 family members on 17q24, but neither the substrate nor the function of this gene is known. Alternative splicing of this gene results in several transcript variants; however, not all variants have been fully described. The membrane-associated protein encoded by this gene is a member of the superfamily of ATP-binding cassette (ABC) transporters. ABC proteins transport various molecules across extra- and intracellular membranes. ABC genes are divided into seven distinct subfamilies (ABC1, MDR/TAP, MRP, ALD, OABP, GCN20, and White). This encoded protein is a member of the ABC1 subfamily. Members of the ABC1 subfamily comprise the only major ABC subfamily found exclusively in multicellular eukaryotes. This gene is clustered among 4 other ABC1 family members on 17q24, but neither the substrate nor the function of this gene is known. Alternative splicing of this gene results in several transcript variants; however, not all variants have been fully described.
Target Description: The membrane-associated protein ABCA5 is a member of the superfamily of ATP-binding cassette (ABC) transporters. ABC proteins transport various molecules across extra- and intracellular membranes. ABC genes are divided into seven distinct subfamilies (ABC1, MDR/TAP, MRP, ALD, OABP, GCN20, and White). ABCA5 is a member of the ABC1 subfamily. Members of the ABC1 subfamily comprise the only major ABC subfamily found exclusively in multicellular eukaryotes. This gene is clustered among 4 other ABC1 family members on 17q24, but neither the substrate nor the function of this gene is known. Alternative splicing of this gene results in several transcript variants; however, not all variants have been fully described. The membrane-associated protein encoded by this gene is a member of the superfamily of ATP-binding cassette (ABC) transporters. ABC proteins transport various molecules across extra- and intracellular membranes. ABC genes are divided into seven distinct subfamilies (ABC1, MDR/TAP, MRP, ALD, OABP, GCN20, and White). This encoded protein is a member of the ABC1 subfamily. Members of the ABC1 subfamily comprise the only major ABC subfamily found exclusively in multicellular eukaryotes. This gene is clustered among 4 other ABC1 family members on 17q24, but neither the substrate nor the function of this gene is known. Alternative splicing of this gene results in several transcript variants; however, not all variants have been fully described.
Product Categories/Family for anti-ABCA5 antibody
NCBI and Uniprot Product Information
NCBI GI #
NCBI GeneID
NCBI Accession #
NCBI GenBank Nucleotide #
UniProt Accession #
Molecular Weight
186kDa
NCBI Official Full Name
ATP-binding cassette sub-family A member 5
NCBI Official Synonym Full Names
ATP binding cassette subfamily A member 5
NCBI Official Symbol
ABCA5
NCBI Official Synonym Symbols
HTC3; ABC13; EST90625
NCBI Protein Information
ATP-binding cassette sub-family A member 5
UniProt Protein Name
ATP-binding cassette sub-family A member 5
UniProt Gene Name
ABCA5
UniProt Synonym Gene Names
KIAA1888
UniProt Entry Name
ABCA5_HUMAN
Customer Reviews
Loading reviews...
Share Your Experience
Similar Products
Product Notes
The ABCA5 abca5 (Catalog #AAA199300) is an Antibody produced from Rabbit and is intended for research purposes only. The product is available for immediate purchase. The ABCA5 antibody - C-terminal region reacts with Cow, Dog, Horse, Human, Mouse, Rabbit, Rat and may cross-react with other species as described in the data sheet. AAA Biotech's ABCA5 can be used in a range of immunoassay formats including, but not limited to, WB (Western Blot), IHC (Immunohistochemistry). Researchers should empirically determine the suitability of the ABCA5 abca5 for an application not listed in the data sheet. Researchers commonly develop new applications and it is an integral, important part of the investigative research process. The amino acid sequence is listed below: Synthetic peptide located within the following region: HKEYDDKKDF LLSRKVKKVA TKYISFCVKK GEILGLLGPN GAGKSTIINI. It is sometimes possible for the material contained within the vial of "ABCA5, Polyclonal Antibody" to become dispersed throughout the inside of the vial, particularly around the seal of said vial, during shipment and storage. We always suggest centrifuging these vials to consolidate all of the liquid away from the lid and to the bottom of the vial prior to opening. Please be advised that certain products may require dry ice for shipping and that, if this is the case, an additional dry ice fee may also be required.Precautions
All products in the AAA Biotech catalog are strictly for research-use only, and are absolutely not suitable for use in any sort of medical, therapeutic, prophylactic, in-vivo, or diagnostic capacity. By purchasing a product from AAA Biotech, you are explicitly certifying that said products will be properly tested and used in line with industry standard. AAA Biotech and its authorized distribution partners reserve the right to refuse to fulfill any order if we have any indication that a purchaser may be intending to use a product outside of our accepted criteria.Disclaimer
Though we do strive to guarantee the information represented in this datasheet, AAA Biotech cannot be held responsible for any oversights or imprecisions. AAA Biotech reserves the right to adjust any aspect of this datasheet at any time and without notice. It is the responsibility of the customer to inform AAA Biotech of any product performance issues observed or experienced within 30 days of receipt of said product. To see additional details on this or any of our other policies, please see our Terms & Conditions page.Item has been added to Shopping Cart
If you are ready to order, navigate to Shopping Cart and get ready to checkout.
