Rabbit anti-Human ABCA7 Polyclonal Antibody | anti-ABCA7 antibody
ABCA7 Rabbit anti-Human Polyclonal Antibody
Gene Names
ABCA7; ABCX; ABCA-SSN; FLJ40025
Reactivity
Human
Applications
Immunohistochemistry
Purity
Immunoaffinity purified
Synonyms
ABCA7, Antibody; ABCA7 Rabbit anti-Human Polyclonal Antibody; PathPlus ABCA7 Antibody; ABCA7; ABCA-SSN; Autoantigen SS-N; ABCX; Macrophage ABC transporter; anti-ABCA7 antibody
Host
Rabbit
Reactivity
Human
Clonality
Polyclonal
Purity/Purification
Immunoaffinity purified
Form/Format
PBS, 0.1% Sodium Azide
Concentration
1mg/ml (varies by lot)
Applicable Applications for anti-ABCA7 antibody
IHC (Immunohistochemistry)
Target
Human ABCA7
Immunogen
LP-11019, synthetic peptide
Conjugation
Unconjugated
Family
Transporter
Subfamily
ATP-binding cassette-ABCA/ABC1
Preparation and Storage
Aliquot and store undiluted at -20 degree C or below for up to 1 year. Can be stored undiluted at 4 degree C for up to 1 month. Avoid freeze-thaw cycles.
Related Product Information for anti-ABCA7 antibody
ABCA7 antibody is an unconjugated rabbit polyclonal antibody to ABCA7 from human. Validated for IHC.
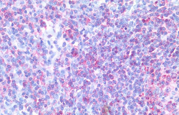
ABCA7 is an ATP-binding cassette transporter that carries various molecules across extra- and intra-cellular membranes. This protein has been detected predominantly in myelo-lymphatic tissues with the highest expression in peripheral leukocytes, thymus, spleen, and bone marrow. ABCA7 is involved in ovarian cancer progression, as it has been found to upregulate the TGF-beta signaling pathway resulting in an accelerated epithelial-to-mesenchymal transition. Knockdown of ABCA7 has been shown to decrease the migration of ovarian cancer cells. In immunohistochemistry of normal tissue, ABCA7 has cytoplasmic and membranous positivity in the brain, bone marrow, lymph nodes, spleen, and thymus, and in leukocytes and immune cells in tissues throughout the body.
ABCA7 is an ATP-binding cassette transporter that carries various molecules across extra- and intra-cellular membranes. This protein has been detected predominantly in myelo-lymphatic tissues with the highest expression in peripheral leukocytes, thymus, spleen, and bone marrow. ABCA7 is involved in ovarian cancer progression, as it has been found to upregulate the TGF-beta signaling pathway resulting in an accelerated epithelial-to-mesenchymal transition. Knockdown of ABCA7 has been shown to decrease the migration of ovarian cancer cells. In immunohistochemistry of normal tissue, ABCA7 has cytoplasmic and membranous positivity in the brain, bone marrow, lymph nodes, spleen, and thymus, and in leukocytes and immune cells in tissues throughout the body.
References
The UniProt Consortium. Nucleic Acids Res. 47: D506-515 (2019); Nucleic Acids Res. 2016 Jan 4;44(D1):D733-45, PMID:26553804; Oncol Lett. 2018 Nov;16(5):5868-5874, PMID: 30333865
NCBI and Uniprot Product Information
NCBI GI #
NCBI GeneID
NCBI Accession #
NCBI GenBank Nucleotide #
Molecular Weight
234,350 Da
NCBI Official Full Name
ATP-binding cassette sub-family A member 7
NCBI Official Synonym Full Names
ATP-binding cassette, sub-family A (ABC1), member 7
NCBI Official Symbol
ABCA7
NCBI Official Synonym Symbols
ABCX; ABCA-SSN; FLJ40025
NCBI Protein Information
ATP-binding cassette sub-family A member 7; autoantigen SS-N; OTTHUMP00000236146; macrophage ABC transporter
UniProt Protein Name
ATP-binding cassette sub-family A member 7
UniProt Gene Name
ABCA7
UniProt Entry Name
ABCA7_HUMAN
Customer Reviews
Loading reviews...
Share Your Experience
Similar Products
Product Notes
The ABCA7 abca7 (Catalog #AAA163025) is an Antibody produced from Rabbit and is intended for research purposes only. The product is available for immediate purchase. The ABCA7 Rabbit anti-Human Polyclonal Antibody reacts with Human and may cross-react with other species as described in the data sheet. AAA Biotech's ABCA7 can be used in a range of immunoassay formats including, but not limited to, IHC (Immunohistochemistry). Researchers should empirically determine the suitability of the ABCA7 abca7 for an application not listed in the data sheet. Researchers commonly develop new applications and it is an integral, important part of the investigative research process. It is sometimes possible for the material contained within the vial of "ABCA7, Polyclonal Antibody" to become dispersed throughout the inside of the vial, particularly around the seal of said vial, during shipment and storage. We always suggest centrifuging these vials to consolidate all of the liquid away from the lid and to the bottom of the vial prior to opening. Please be advised that certain products may require dry ice for shipping and that, if this is the case, an additional dry ice fee may also be required.Precautions
All products in the AAA Biotech catalog are strictly for research-use only, and are absolutely not suitable for use in any sort of medical, therapeutic, prophylactic, in-vivo, or diagnostic capacity. By purchasing a product from AAA Biotech, you are explicitly certifying that said products will be properly tested and used in line with industry standard. AAA Biotech and its authorized distribution partners reserve the right to refuse to fulfill any order if we have any indication that a purchaser may be intending to use a product outside of our accepted criteria.Disclaimer
Though we do strive to guarantee the information represented in this datasheet, AAA Biotech cannot be held responsible for any oversights or imprecisions. AAA Biotech reserves the right to adjust any aspect of this datasheet at any time and without notice. It is the responsibility of the customer to inform AAA Biotech of any product performance issues observed or experienced within 30 days of receipt of said product. To see additional details on this or any of our other policies, please see our Terms & Conditions page.Item has been added to Shopping Cart
If you are ready to order, navigate to Shopping Cart and get ready to checkout.
