Rabbit anti-Human ABCB8 Polyclonal Antibody | anti-ABCB8 antibody
ABCB8 Antibody
Gene Names
ABCB8; MABC1; M-ABC1; EST328128
Reactivity
Human
Applications
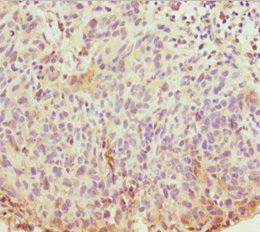
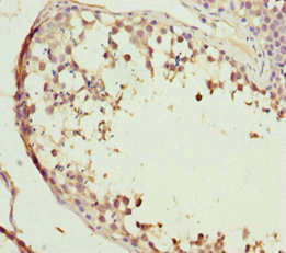
Immunohistochemistry, ELISA
Purity
Antigen Affinity Purified
Synonyms
ABCB8, Antibody; ABCB8 Antibody; ATP-binding cassette sub-family B member 8, mitochondrial; Mitochondrial ATP-binding cassette 1; M-ABC1; ABCB8; MABC1; anti-ABCB8 antibody
Host
Rabbit
Reactivity
Human
Clonality
Polyclonal
Isotype
IgG
Purity/Purification
Antigen Affinity Purified
Form/Format
Liquid
Sequence Length
735
Applicable Applications for anti-ABCB8 antibody
IHC (Immunohistochemistry), ELISA
Species
Human
Immunogen
Recombinant human ATP-binding cassette sub-family B member 8, mitochondrial protein (C-250AA)
Conjugate
Non-conjugated
Buffer
PBS with 0.02% sodium azide, 50% glycerol, pH7.3.
Preparation and Storage
Shipped at 4 degree C. Upon delivery aliquot and store at -20 degree C or -80 degree C. Avoid repeated freeze.
Related Product Information for anti-ABCB8 antibody
ATP-binding cassette (ABC) transporter complex, membrane, mitochondrial envelope, mitochondrion, nucleolus, nucleus, ATP binding, ATPase activity, coupled to transmembrane movement of substances, transporter activity, transmembrane transport
NCBI and Uniprot Product Information
NCBI GI #
NCBI GeneID
NCBI Accession #
NCBI GenBank Nucleotide #
Molecular Weight
59,383 Da
NCBI Official Full Name
ATP-binding cassette sub-family B member 8, mitochondrial isoform a
NCBI Official Synonym Full Names
ATP binding cassette subfamily B member 8
NCBI Official Symbol
ABCB8
NCBI Official Synonym Symbols
MABC1; M-ABC1; EST328128
NCBI Protein Information
ATP-binding cassette sub-family B member 8, mitochondrial
UniProt Protein Name
ATP-binding cassette sub-family B member 8, mitochondrial
UniProt Gene Name
ABCB8
UniProt Synonym Gene Names
MABC1; M-ABC1
UniProt Entry Name
ABCB8_HUMAN
Customer Reviews
Loading reviews...
Share Your Experience
Similar Products
Product Notes
The ABCB8 abcb8 (Catalog #AAA231500) is an Antibody produced from Rabbit and is intended for research purposes only. The product is available for immediate purchase. The ABCB8 Antibody reacts with Human and may cross-react with other species as described in the data sheet. AAA Biotech's ABCB8 can be used in a range of immunoassay formats including, but not limited to, IHC (Immunohistochemistry), ELISA. Researchers should empirically determine the suitability of the ABCB8 abcb8 for an application not listed in the data sheet. Researchers commonly develop new applications and it is an integral, important part of the investigative research process. It is sometimes possible for the material contained within the vial of "ABCB8, Polyclonal Antibody" to become dispersed throughout the inside of the vial, particularly around the seal of said vial, during shipment and storage. We always suggest centrifuging these vials to consolidate all of the liquid away from the lid and to the bottom of the vial prior to opening. Please be advised that certain products may require dry ice for shipping and that, if this is the case, an additional dry ice fee may also be required.Precautions
All products in the AAA Biotech catalog are strictly for research-use only, and are absolutely not suitable for use in any sort of medical, therapeutic, prophylactic, in-vivo, or diagnostic capacity. By purchasing a product from AAA Biotech, you are explicitly certifying that said products will be properly tested and used in line with industry standard. AAA Biotech and its authorized distribution partners reserve the right to refuse to fulfill any order if we have any indication that a purchaser may be intending to use a product outside of our accepted criteria.Disclaimer
Though we do strive to guarantee the information represented in this datasheet, AAA Biotech cannot be held responsible for any oversights or imprecisions. AAA Biotech reserves the right to adjust any aspect of this datasheet at any time and without notice. It is the responsibility of the customer to inform AAA Biotech of any product performance issues observed or experienced within 30 days of receipt of said product. To see additional details on this or any of our other policies, please see our Terms & Conditions page.Item has been added to Shopping Cart
If you are ready to order, navigate to Shopping Cart and get ready to checkout.
