Rabbit anti-Rat, Mouse Abeta40 Polyclonal Antibody | anti-Abeta40 antibody
Abeta40 Polyclonal Antibody
Reactivity
Rat, Mouse
Applications
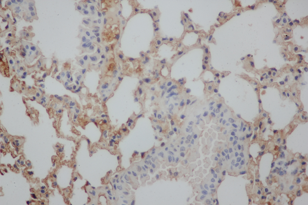
Immunohistochemistry
Purity
Affinity Purification
Synonyms
Abeta40, Antibody; Abeta40 Polyclonal Antibody; A4; AAA; ABETA; ABPP; AICD 50; AICD 57; AICD 59; Amyloid beta A4 protein; APP; beta Amyloid; CTFgamma; CVAP; Protease nexin II; S APP alpha Soluble APP beta; anti-Abeta40 antibody
Host
Rabbit
Reactivity
Rat, Mouse
Clonality
Polyclonal
Isotype
IgG
Purity/Purification
Affinity Purification
Concentration
2mg/mL (varies by lot)
Applicable Applications for anti-Abeta40 antibody
IHC (Immunohistochemistry)
Immunogen
Recombinant Human Beta-amyloid 40 protein
Buffer
PBS with 0.02% sodium azide, 50% glycerol, pH7.3.
Preparation and Storage
Store at -20°C. Avoid freeze/thaw cycles.
Related Product Information for anti-Abeta40 antibody
Abeta derives from APP via proteolytic cleavage by proteases called alpha-, beta- and gamma-secretase. The alpha-secretase cleavage precludes the formation of Abeta, while the beta- and gamma-cleavages generate APP components with amyloidogenic features. Amyloid beta A4 precursor protein (APP), encoded by APP gene which locate on human chromosome 21q, is a cell surface receptor and performs physiological functions on the surface of neurons relevant to neurite growth, neuronal adhesion and axonogenesis. APP expressed in all fetal tissues and is pronounced in brain, kidney, heart and spleen, but weak in liver. Defects in APP are the cause of Alzheimer disease type 1 (AD1). This antibody can recogniaze the N-terminus of human APP: Soluble APP-alpha and Soluble APP-beta.
Product Categories/Family for anti-Abeta40 antibody
NCBI and Uniprot Product Information
UniProt Accession #
Customer Reviews
Loading reviews...
Share Your Experience
Similar Products
Product Notes
The Abeta40 (Catalog #AAA172986) is an Antibody produced from Rabbit and is intended for research purposes only. The product is available for immediate purchase. The Abeta40 Polyclonal Antibody reacts with Rat, Mouse and may cross-react with other species as described in the data sheet. AAA Biotech's Abeta40 can be used in a range of immunoassay formats including, but not limited to, IHC (Immunohistochemistry). Researchers should empirically determine the suitability of the Abeta40 for an application not listed in the data sheet. Researchers commonly develop new applications and it is an integral, important part of the investigative research process. It is sometimes possible for the material contained within the vial of "Abeta40, Polyclonal Antibody" to become dispersed throughout the inside of the vial, particularly around the seal of said vial, during shipment and storage. We always suggest centrifuging these vials to consolidate all of the liquid away from the lid and to the bottom of the vial prior to opening. Please be advised that certain products may require dry ice for shipping and that, if this is the case, an additional dry ice fee may also be required.Precautions
All products in the AAA Biotech catalog are strictly for research-use only, and are absolutely not suitable for use in any sort of medical, therapeutic, prophylactic, in-vivo, or diagnostic capacity. By purchasing a product from AAA Biotech, you are explicitly certifying that said products will be properly tested and used in line with industry standard. AAA Biotech and its authorized distribution partners reserve the right to refuse to fulfill any order if we have any indication that a purchaser may be intending to use a product outside of our accepted criteria.Disclaimer
Though we do strive to guarantee the information represented in this datasheet, AAA Biotech cannot be held responsible for any oversights or imprecisions. AAA Biotech reserves the right to adjust any aspect of this datasheet at any time and without notice. It is the responsibility of the customer to inform AAA Biotech of any product performance issues observed or experienced within 30 days of receipt of said product. To see additional details on this or any of our other policies, please see our Terms & Conditions page.Item has been added to Shopping Cart
If you are ready to order, navigate to Shopping Cart and get ready to checkout.
