Rabbit anti-Human ABI3BP Polyclonal Antibody | anti-ABI3BP antibody
ABI3BP Antibody
Gene Names
ABI3BP; TARSH; NESHBP
Reactivity
Human
Applications
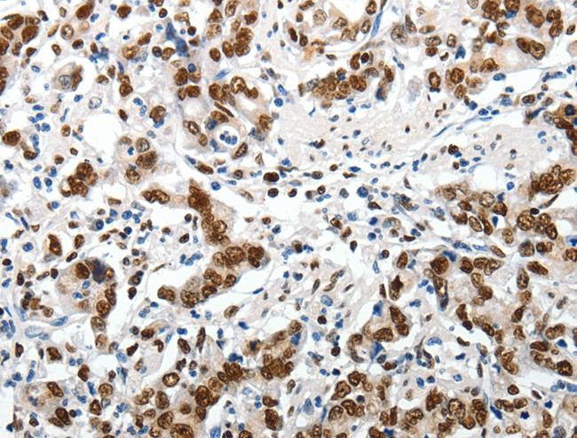
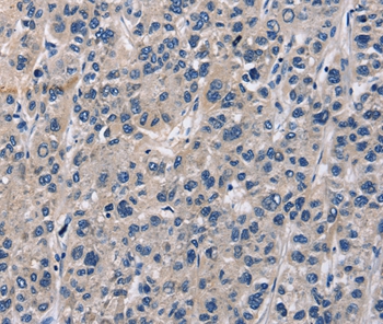
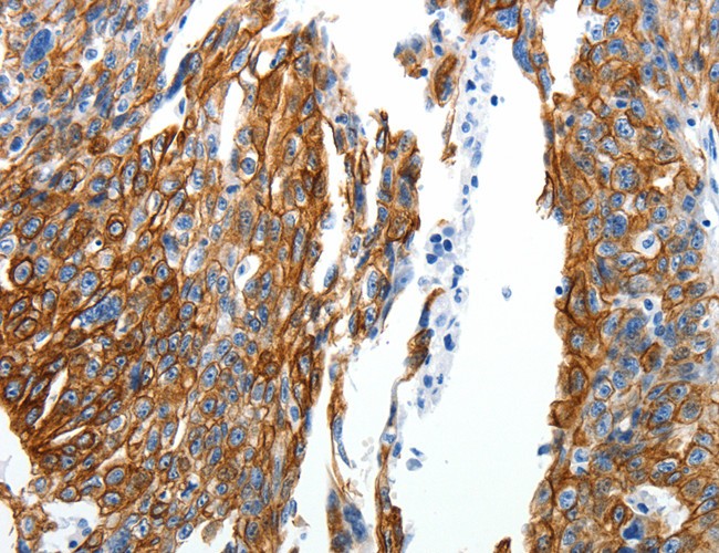
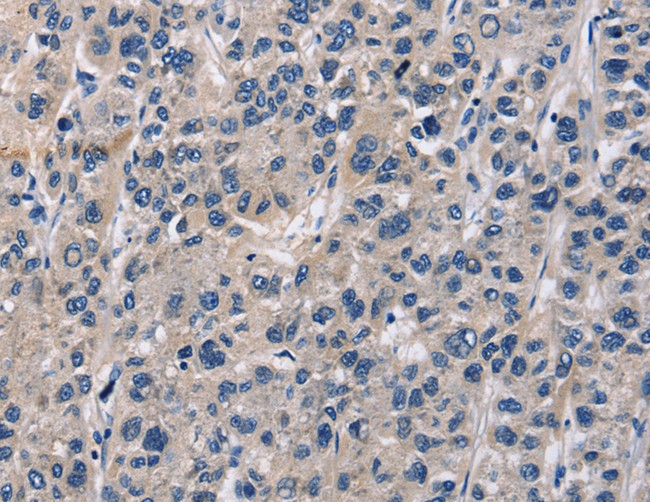
Immunohistochemistry
Purity
Antigen affinity purification.
Synonyms
ABI3BP, Antibody; ABI3BP Antibody; TARSH; NESHBP; anti-ABI3BP antibody
Host
Rabbit
Reactivity
Human
Clonality
Polyclonal
Specificity
The antibody detects endogenous levels of total ABI3BP protein.
Purity/Purification
Antigen affinity purification.
Form/Format
Rabbit IgG in pH7.3 PBS, 0.05% NaN3, 50% Glycerol.
Concentration
2.4 mg/ml (varies by lot)
Sequence Length
1075
Applicable Applications for anti-ABI3BP antibody
IHC (Immunohistochemistry)
Immunogen Type
Recombinant Protein
Immunogen Description
Fusion protein corresponding to a region derived from internal residues of human ABI family, member 3 (NESH) binding protein
Target Name
ABI3BP
Preparation and Storage
Store at -20 degree C
Related Product Information for anti-ABI3BP antibody
A target of NESH-SH3/Abi3bp (TARSH) was originally identified as an SH3 domain-binding molecule of the NESH-SH3/Abi3 protein that is involved in Rac-dependent actin polymerization. In recent studies, TARSH gene expression was dramatically induced in mouse embryonic fibroblasts (MEFs) replicative senescence and suppressed in human lung carcinoma specimens and thyroid carcinomas. However, the molecular mechanism underlying the regulation of TARSH in tumorigenesis remains unclear.
Product Categories/Family for anti-ABI3BP antibody
NCBI and Uniprot Product Information
NCBI GI #
NCBI GeneID
NCBI Accession #
NCBI GenBank Nucleotide #
Molecular Weight
86,789 Da
NCBI Official Full Name
target of Nesh-SH3
NCBI Official Synonym Full Names
ABI family, member 3 (NESH) binding protein
NCBI Official Symbol
ABI3BP
NCBI Official Synonym Symbols
TARSH; NESHBP
NCBI Protein Information
target of Nesh-SH3
UniProt Protein Name
Target of Nesh-SH3
UniProt Gene Name
ABI3BP
UniProt Synonym Gene Names
NESHBP; TARSH; Tarsh; NeshBP
UniProt Entry Name
TARSH_HUMAN
Customer Reviews
Loading reviews...
Share Your Experience
Similar Products
Product Notes
The ABI3BP abi3bp (Catalog #AAA305127) is an Antibody produced from Rabbit and is intended for research purposes only. The product is available for immediate purchase. The ABI3BP Antibody reacts with Human and may cross-react with other species as described in the data sheet. AAA Biotech's ABI3BP can be used in a range of immunoassay formats including, but not limited to, IHC (Immunohistochemistry). Researchers should empirically determine the suitability of the ABI3BP abi3bp for an application not listed in the data sheet. Researchers commonly develop new applications and it is an integral, important part of the investigative research process. It is sometimes possible for the material contained within the vial of "ABI3BP, Polyclonal Antibody" to become dispersed throughout the inside of the vial, particularly around the seal of said vial, during shipment and storage. We always suggest centrifuging these vials to consolidate all of the liquid away from the lid and to the bottom of the vial prior to opening. Please be advised that certain products may require dry ice for shipping and that, if this is the case, an additional dry ice fee may also be required.Precautions
All products in the AAA Biotech catalog are strictly for research-use only, and are absolutely not suitable for use in any sort of medical, therapeutic, prophylactic, in-vivo, or diagnostic capacity. By purchasing a product from AAA Biotech, you are explicitly certifying that said products will be properly tested and used in line with industry standard. AAA Biotech and its authorized distribution partners reserve the right to refuse to fulfill any order if we have any indication that a purchaser may be intending to use a product outside of our accepted criteria.Disclaimer
Though we do strive to guarantee the information represented in this datasheet, AAA Biotech cannot be held responsible for any oversights or imprecisions. AAA Biotech reserves the right to adjust any aspect of this datasheet at any time and without notice. It is the responsibility of the customer to inform AAA Biotech of any product performance issues observed or experienced within 30 days of receipt of said product. To see additional details on this or any of our other policies, please see our Terms & Conditions page.Item has been added to Shopping Cart
If you are ready to order, navigate to Shopping Cart and get ready to checkout.
