Rabbit ACADL Polyclonal Antibody | anti-ACADL antibody
ACADL Antibody
Gene Names
ACADL; LCAD; ACAD4
Reactivity
Human, Mouse, RatPredicted: Pig, Zebrafish, Bovine, Horse, Sheep, Rabbit, Dog, Chicken, Xenopus
Applications
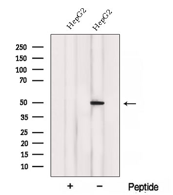
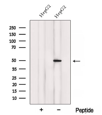
Western Blot
Purity
The antiserum was purified by peptide affinity chromatography using SulfoLink Coupling Resin (Thermo Fisher Scientific).
Synonyms
ACADL, Antibody; ACADL Antibody; ACAD4; ACADL; ACADL_HUMAN; Acyl Coenzyme A dehydrogenase long chain; Acyl-CoA dehydrogenase long chain; FLJ94052; LCAD; Long chain acyl CoA dehydrogenase; Long-chain specific acyl-CoA dehydrogenase, mitochondrial; anti-ACADL antibody
Host
Rabbit
Reactivity
Human, Mouse, Rat
Predicted: Pig, Zebrafish, Bovine, Horse, Sheep, Rabbit, Dog, Chicken, Xenopus
Predicted: Pig, Zebrafish, Bovine, Horse, Sheep, Rabbit, Dog, Chicken, Xenopus
Clonality
Polyclonal
Isotype
IgG
Specificity
ACADL Antibody detects endogenous levels of ACADL.
Purity/Purification
The antiserum was purified by peptide affinity chromatography using SulfoLink Coupling Resin (Thermo Fisher Scientific).
Form/Format
Liquid; Phosphate buffered saline, pH 7.4, 150mM NaCl, 0.02% sodium azide and 50% glycerol.
Concentration
1mg/ml (varies by lot)
Sequence Length
430
Applicable Applications for anti-ACADL antibody
WB (Western Blot)
Immunogen
A synthesized peptide derived from human ACADL.
Fragment
Fab Fragment
Conjugate
Unconjugated
Subcellular Location
Mitochondrion
Preparation and Storage
Store at -20 degree C. Stable for 12 months from date of receipt.
Related Product Information for anti-ACADL antibody
Description: A number of straight-chain acyl-CoA dehydrogenases of different substrate specificities are present in mammalian tissues.
Post Translational Modifications: Acetylation at Lys-318 and Lys-322 in proximity of the cofactor-binding sites strongly reduces catalytic activity. These sites are deacetylated by SIRT3 (By similarity).
Subunit Structure: Homotetramer.
Similarity: Belongs to the acyl-CoA dehydrogenase family.
Post Translational Modifications: Acetylation at Lys-318 and Lys-322 in proximity of the cofactor-binding sites strongly reduces catalytic activity. These sites are deacetylated by SIRT3 (By similarity).
Subunit Structure: Homotetramer.
Similarity: Belongs to the acyl-CoA dehydrogenase family.
NCBI and Uniprot Product Information
NCBI GI #
NCBI GeneID
UniProt Accession #
Molecular Weight
Observed: 48 kDa
Predicted: 48 kDa
Predicted: 48 kDa
NCBI Official Full Name
Long-chain specific acyl-CoA dehydrogenase, mitochondrial
NCBI Official Synonym Full Names
acyl-CoA dehydrogenase long chain
NCBI Official Symbol
ACADL
NCBI Official Synonym Symbols
LCAD; ACAD4
NCBI Protein Information
long-chain specific acyl-CoA dehydrogenase, mitochondrial
UniProt Protein Name
Long-chain specific acyl-CoA dehydrogenase, mitochondrial
UniProt Gene Name
ACADL
UniProt Synonym Gene Names
LCAD
UniProt Entry Name
ACADL_HUMAN
Customer Reviews
Loading reviews...
Share Your Experience
Similar Products
Product Notes
The ACADL acadl (Catalog #AAA328761) is an Antibody produced from Rabbit and is intended for research purposes only. The product is available for immediate purchase. The ACADL Antibody reacts with Human, Mouse, Rat Predicted: Pig, Zebrafish, Bovine, Horse, Sheep, Rabbit, Dog, Chicken, Xenopus and may cross-react with other species as described in the data sheet. AAA Biotech's ACADL can be used in a range of immunoassay formats including, but not limited to, WB (Western Blot). Researchers should empirically determine the suitability of the ACADL acadl for an application not listed in the data sheet. Researchers commonly develop new applications and it is an integral, important part of the investigative research process. It is sometimes possible for the material contained within the vial of "ACADL, Polyclonal Antibody" to become dispersed throughout the inside of the vial, particularly around the seal of said vial, during shipment and storage. We always suggest centrifuging these vials to consolidate all of the liquid away from the lid and to the bottom of the vial prior to opening. Please be advised that certain products may require dry ice for shipping and that, if this is the case, an additional dry ice fee may also be required.Precautions
All products in the AAA Biotech catalog are strictly for research-use only, and are absolutely not suitable for use in any sort of medical, therapeutic, prophylactic, in-vivo, or diagnostic capacity. By purchasing a product from AAA Biotech, you are explicitly certifying that said products will be properly tested and used in line with industry standard. AAA Biotech and its authorized distribution partners reserve the right to refuse to fulfill any order if we have any indication that a purchaser may be intending to use a product outside of our accepted criteria.Disclaimer
Though we do strive to guarantee the information represented in this datasheet, AAA Biotech cannot be held responsible for any oversights or imprecisions. AAA Biotech reserves the right to adjust any aspect of this datasheet at any time and without notice. It is the responsibility of the customer to inform AAA Biotech of any product performance issues observed or experienced within 30 days of receipt of said product. To see additional details on this or any of our other policies, please see our Terms & Conditions page.Item has been added to Shopping Cart
If you are ready to order, navigate to Shopping Cart and get ready to checkout.
