Rabbit ACADS/SCAD Polyclonal Antibody | anti-ACADS antibody
Anti-ACADS/SCAD Antibody
IF (Immunofluorescence)
(Figure 2. IF analysis of ACADS/SCAD using anti-ACADS/SCAD antibody (AAA125738).ACADS/SCAD was detected in immunocytochemical section of MCF-7 cells. Enzyme antigen retrieval was performed using IHC enzyme antigen retrieval reagent for 15 mins. The cells were blocked with 10% goat serum. And then incubated with 5μg/mL rabbit anti-ACADS/SCAD Antibody (AAA125738) overnight at 4 degree C. DyLight®488 Conjugated Goat Anti-Rabbit IgG was used as secondary antibody at 1:100 dilution and incubated for 30 minutes at 37 degree C. The section was counterstained with DAPI. Visualize using a fluorescence microscope and filter sets appropriate for the label used.)
WB (Western Blot)
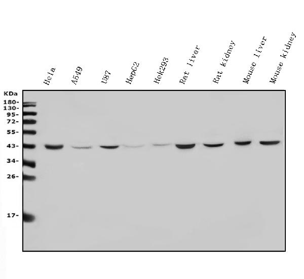
(Figure 1. Western blot analysis of ACADS/SCAD using anti-ACADS/SCAD antibody (AAA125738).Electrophoresis was performed on a 5-20% SDS-PAGE gel at 70V (Stacking gel) / 90V (Resolving gel) for 2-3 hours. The sample well of each lane was loaded with 50ug of sample under reducing conditions.Lane 1: human Hela whole cell lysatesLane 2: human A549 whole cell lysatesLane 3: human U87 whole cell lysatesLane 4: human HepG2 whole cell lysatesLane 5: human Hek293 whole cell lysatesLane 6: rat liver tissue lysatesLane 7: rat kidney tissue lysatesLane 8: mouse liver tissue lysatesLane 9: mouse kidney tissue lysates.After Electrophoresis, proteins were transferred to a Nitrocellulose membrane at 150mA for 50-90 minutes. Blocked the membrane with 5% Non-fat Milk/ TBS for 1. 5 hour at RT. The membrane was incubated with rabbit anti-ACADS/SCAD antigen affinity purified polyclonal antibody (Catalog # AAA125738) at 0. 5 μg/mL overnight at 4 degree C, then washed with TBS-0. 1%Tween 3 times with 5 minutes each and probed with a goat anti-rabbit IgG-HRP secondary antibody at a dilution of 1:5000 for 1. 5 hour at RT. The signal is developed using an Enhanced Chemiluminescent detection (ECL) kit with Tanon 5200 system. A specific band was detected for ACADS/SCAD at approximately 44KD. The expected band size for ACADS/SCAD is at 44KD.)
2. Corydon, M. J., Vockley, J., Rinaldo, P., Rhead, W. J., Kjeldsen, M., Winter, V., Riggs, C., Babovic-Vuksanovic, D., Smeitink, J., De Jong, J., Levy, H., Sewell, A. C., Roe, C., Matern, D., Dasouki, M., Gregersen, N. Role of common gene variations in the molecular pathogenesis of short-chain acyl-CoA dehydrogenase deficiency. Pediat. Res. 49: 18-23, 2001.
3. Gregersen, N., Winter, V. S., Corydon, M. J., Corydon, T. J., Rinaldo, P., Ribes, A., Martinez, G., Bennett, M. J., Vianey-Saban, C., Bhala, A., Hale, D. E., Lehnert, W., Kmoch, S., Roig, M., Riudor, E., Eiberg, H., Andresen, B. S., Bross, P., Bolund, L. A., Kolvraa, S. Identification of four new mutations in the short-chain acyl-CoA dehydrogenase (SCAD) gene in two patients: one of the variant alleles, 511C-T, is present at an unexpectedly high frequency in the general population, as was the case for 625G-A, together conferring susceptibility to ethylmalonic aciduria. Hum. Molec. Genet. 7: 619-627, 1998.
NCBI and Uniprot Product Information
Customer Reviews
Loading reviews...
Share Your Experience
Similar Products
Product Notes
The ACADS acads (Catalog #AAA125738) is an Antibody produced from Rabbit and is intended for research purposes only. The product is available for immediate purchase. The Anti-ACADS/SCAD Antibody reacts with Human, Mouse, Rat and may cross-react with other species as described in the data sheet. AAA Biotech's ACADS/SCAD can be used in a range of immunoassay formats including, but not limited to, IF (Immunofluorescence), ICC (Immunocytochemistry), WB (Western Blot). Researchers should empirically determine the suitability of the ACADS acads for an application not listed in the data sheet. Researchers commonly develop new applications and it is an integral, important part of the investigative research process. It is sometimes possible for the material contained within the vial of "ACADS/SCAD, Polyclonal Antibody" to become dispersed throughout the inside of the vial, particularly around the seal of said vial, during shipment and storage. We always suggest centrifuging these vials to consolidate all of the liquid away from the lid and to the bottom of the vial prior to opening. Please be advised that certain products may require dry ice for shipping and that, if this is the case, an additional dry ice fee may also be required.Precautions
All products in the AAA Biotech catalog are strictly for research-use only, and are absolutely not suitable for use in any sort of medical, therapeutic, prophylactic, in-vivo, or diagnostic capacity. By purchasing a product from AAA Biotech, you are explicitly certifying that said products will be properly tested and used in line with industry standard. AAA Biotech and its authorized distribution partners reserve the right to refuse to fulfill any order if we have any indication that a purchaser may be intending to use a product outside of our accepted criteria.Disclaimer
Though we do strive to guarantee the information represented in this datasheet, AAA Biotech cannot be held responsible for any oversights or imprecisions. AAA Biotech reserves the right to adjust any aspect of this datasheet at any time and without notice. It is the responsibility of the customer to inform AAA Biotech of any product performance issues observed or experienced within 30 days of receipt of said product. To see additional details on this or any of our other policies, please see our Terms & Conditions page.Item has been added to Shopping Cart
If you are ready to order, navigate to Shopping Cart and get ready to checkout.
