Rabbit anti-Human ACOD1 Polyclonal Antibody | anti-ACOD1 antibody
ACOD1 Antibody
Gene Names
ACOD1; CAD; IRG1
Reactivity
Human
Applications
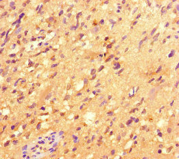
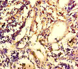
Immunohistochemistry, ELISA
Purity
>95%, Protein G purified
Synonyms
ACOD1, Antibody; ACOD1 Antibody; Cis-aconitate decarboxylase; Aconitate decarboxylase; ACOD1; anti-ACOD1 antibody
Host
Rabbit
Reactivity
Human
Clonality
Polyclonal
Isotype
IgG
Purity/Purification
>95%, Protein G purified
Form/Format
Liquid
Sequence Length
481
Applicable Applications for anti-ACOD1 antibody
IHC (Immunohistochemistry), ELISA
Species
Human
Immunogen
Recombinant human Cis-aconitate decarboxylase protein
Conjugate
Non-conjugated
Buffer
Preservative: 0.03% Proclin 300
Constituents: 50% Glycerol, 0.01M PBS, PH 7.4
Constituents: 50% Glycerol, 0.01M PBS, PH 7.4
Preparation and Storage
Shipped at 4 degree C. Upon delivery aliquot and store at -20 degree C or -80 degree C. Avoid repeated freeze.
Related Product Information for anti-ACOD1 antibody
Involved in the inhibition of the inflammatory response. Acts as a negative regulator of the Toll-like receptors (TLRs)-mediated inflammatory innate response by stimulating the tumor necrosis factor alpha-induced protein TNFAIP3 expression via reactive oxygen species (ROS) in LPS-tolerized macrophages. Involved in antimicrobial response of innate immune cells; ACOD1-mediated itaconic acid production contributes to the antimicrobial activity of macrophages. Plays a role in the embryo implantation.
NCBI and Uniprot Product Information
NCBI GI #
NCBI GeneID
NCBI Accession #
NCBI GenBank Nucleotide #
UniProt Accession #
Molecular Weight
52,628 Da
NCBI Official Full Name
cis-aconitate decarboxylase
NCBI Official Synonym Full Names
aconitate decarboxylase 1
NCBI Official Symbol
ACOD1
NCBI Official Synonym Symbols
CAD; IRG1
NCBI Protein Information
cis-aconitate decarboxylase
UniProt Protein Name
Cis-aconitate decarboxylase
UniProt Gene Name
ACOD1
UniProt Synonym Gene Names
CAD
UniProt Entry Name
IRG1_HUMAN
Customer Reviews
Loading reviews...
Share Your Experience
Similar Products
Product Notes
The ACOD1 acod1 (Catalog #AAA232113) is an Antibody produced from Rabbit and is intended for research purposes only. The product is available for immediate purchase. The ACOD1 Antibody reacts with Human and may cross-react with other species as described in the data sheet. AAA Biotech's ACOD1 can be used in a range of immunoassay formats including, but not limited to, IHC (Immunohistochemistry), ELISA. Researchers should empirically determine the suitability of the ACOD1 acod1 for an application not listed in the data sheet. Researchers commonly develop new applications and it is an integral, important part of the investigative research process. It is sometimes possible for the material contained within the vial of "ACOD1, Polyclonal Antibody" to become dispersed throughout the inside of the vial, particularly around the seal of said vial, during shipment and storage. We always suggest centrifuging these vials to consolidate all of the liquid away from the lid and to the bottom of the vial prior to opening. Please be advised that certain products may require dry ice for shipping and that, if this is the case, an additional dry ice fee may also be required.Precautions
All products in the AAA Biotech catalog are strictly for research-use only, and are absolutely not suitable for use in any sort of medical, therapeutic, prophylactic, in-vivo, or diagnostic capacity. By purchasing a product from AAA Biotech, you are explicitly certifying that said products will be properly tested and used in line with industry standard. AAA Biotech and its authorized distribution partners reserve the right to refuse to fulfill any order if we have any indication that a purchaser may be intending to use a product outside of our accepted criteria.Disclaimer
Though we do strive to guarantee the information represented in this datasheet, AAA Biotech cannot be held responsible for any oversights or imprecisions. AAA Biotech reserves the right to adjust any aspect of this datasheet at any time and without notice. It is the responsibility of the customer to inform AAA Biotech of any product performance issues observed or experienced within 30 days of receipt of said product. To see additional details on this or any of our other policies, please see our Terms & Conditions page.Item has been added to Shopping Cart
If you are ready to order, navigate to Shopping Cart and get ready to checkout.
