Rabbit ACTA1/alpha-actin Polyclonal Antibody | anti-ACTA1 antibody
ACTA1/alpha-actin Antibody (C-term)
Predicted: Xenopus, Bovine, Chicken, Mouse, Rabbit, Rat, Pig
Predicted: Xenopus, Bovine, Chicken, Mouse, Rabbit, Rat, Pig
FCM/FACS (Flow Cytometry)
(ACTA1/alpha-actin Antibody (C-term) flow cytometric analysis of CEM cells (right histogram) compared to a negative control cell (left histogram).FITC-conjugated goat-anti-rabbit secondary antibodies were used for the analysis.)
IF (Immunofluorescence)
(Confocal immunofluorescent analysis of ACTA1/alpha-actin Antibody (C-term) with A549 cell followed by Alexa Fluor 488-conjugated goat anti-rabbit lgG (green).DAPI was used to stain the cell nuclear (blue).)
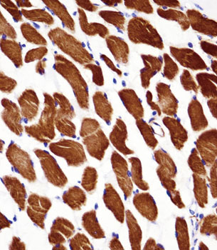
IHC (Immunohiostchemistry)
(ACTA1/alpha-actin Antibody (C-term) immunohistochemistry analysis in formalin fixed and paraffin embedded human skeletal muscle followed by peroxidase conjugation of the secondary antibody and DAB staining.This data demonstrates the use of ACTA1/alpha-actin Antibody (C-term) for immunohistochemistry. Clinical relevance has not been evaluated.)
WB (Western Blot)
(Western blot analysis of lysates from human placenta tissue lysate,RD cell line (from left to right), using ACTA1/alpha-actin Antibody (C-term). It was diluted at 1:1000 at each lane. A goat anti-rabbit IgG H&L(HRP) at 1:10000 dilution was used as the secondary antibody.)
Background: The product encoded by this gene belongs to the actin family of proteins, which are highly conserved proteins that play a role in cell motility, structure and integrity. Alpha, beta and gamma actin isoforms have been identified, with alpha actins being a major constituent of the contractile apparatus, while beta and gamma actins are involved in the regulation of cell motility. This actin is an alpha actin that is found in skeletal muscle. Mutations in this gene cause nemaline myopathy type 3, congenital myopathy with excess of thin myofilaments, congenital myopathy with cores, and congenital myopathy with fiber-type disproportion, diseases that lead to muscle fiber defects.
NCBI and Uniprot Product Information
H=42
M=42
Rat=42 KDa
Customer Reviews
Loading reviews...
Share Your Experience
Similar Products
Product Notes
The ACTA1 acta1 (Catalog #AAA290945) is an Antibody produced from Rabbit and is intended for research purposes only. The product is available for immediate purchase. The ACTA1/alpha-actin Antibody (C-term) reacts with Human Predicted: Xenopus, Bovine, Chicken, Mouse, Rabbit, Rat, Pig and may cross-react with other species as described in the data sheet. AAA Biotech's ACTA1/alpha-actin can be used in a range of immunoassay formats including, but not limited to, ELISA, FCM/FACS (Flow Cytometry), IF (Immunofluorescence), IHC (Immunohistochemistry), WB (Western Blot). Researchers should empirically determine the suitability of the ACTA1 acta1 for an application not listed in the data sheet. Researchers commonly develop new applications and it is an integral, important part of the investigative research process. It is sometimes possible for the material contained within the vial of "ACTA1/alpha-actin, Polyclonal Antibody" to become dispersed throughout the inside of the vial, particularly around the seal of said vial, during shipment and storage. We always suggest centrifuging these vials to consolidate all of the liquid away from the lid and to the bottom of the vial prior to opening. Please be advised that certain products may require dry ice for shipping and that, if this is the case, an additional dry ice fee may also be required.Precautions
All products in the AAA Biotech catalog are strictly for research-use only, and are absolutely not suitable for use in any sort of medical, therapeutic, prophylactic, in-vivo, or diagnostic capacity. By purchasing a product from AAA Biotech, you are explicitly certifying that said products will be properly tested and used in line with industry standard. AAA Biotech and its authorized distribution partners reserve the right to refuse to fulfill any order if we have any indication that a purchaser may be intending to use a product outside of our accepted criteria.Disclaimer
Though we do strive to guarantee the information represented in this datasheet, AAA Biotech cannot be held responsible for any oversights or imprecisions. AAA Biotech reserves the right to adjust any aspect of this datasheet at any time and without notice. It is the responsibility of the customer to inform AAA Biotech of any product performance issues observed or experienced within 30 days of receipt of said product. To see additional details on this or any of our other policies, please see our Terms & Conditions page.Item has been added to Shopping Cart
If you are ready to order, navigate to Shopping Cart and get ready to checkout.
