Rabbit ADAM9 Polyclonal Antibody | anti-ADAM9 antibody
Phospho-ADAM9 (Thr761) Antibody
Predicted: Pig, Horse, Rabbit
Predicted: Pig, Horse, Rabbit
WB (Western Blot)
(Western blot analysis of extracts of Mouse kidney tissue sample,using Phospho-ADAM9(Thr761) Antibody.)
IHC (Immunohiostchemistry)
(At 1/100 staining mouse kidney tissue sections by IHC-P. The tissue was formaldehyde fixed and a heat mediated antigen retrieval step in citrate buffer was performed. The tissue was then blocked and incubated with the antibody for 1.5 hours at 22 degree C. An HRP conjugated goat anti-rabbit antibody was used as the secondary)
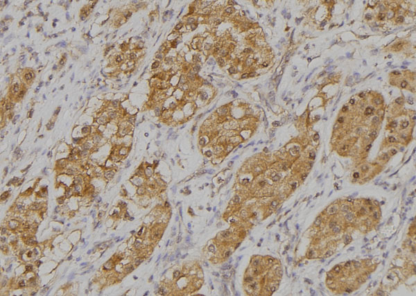
IHC (Immunohistochemistry)
(At 1/100 staining human kidney tissue sections by IHC-P. The tissue was formaldehyde fixed and a heat mediated antigen retrieval step in citrate buffer was performed. The tissue was then blocked and incubated with the antibody for 1.5 hours at 22 degree C. An HRP conjugated goat anti-rabbit antibody was used as the secondary)
Post Translational Modifications: Proteolytically cleaved in the trans-Golgi network before it reaches the plasma membrane to generate a mature protein. The removal of the pro-domain occurs via cleavage at two different sites. Processed most likely by a pro-protein convertase such as furin, at the boundary between the pro-domain and the catalytic domain. An additional upstream cleavage pro-protein convertase site (Arg-56/Glu-57) has an important role in the activation of ADAM9. Phosphorylation is induced in vitro by phorbol-12-myristate-13-acetate (PMA).
Subunit Structure: Interacts with SH3GL2 and SNX9 through its cytoplasmic tail (PubMed:10531379). Interacts with ITGA6.
NCBI and Uniprot Product Information
Predicted: 91 kDa
Customer Reviews
Loading reviews...
Share Your Experience
Similar Products
Product Notes
The ADAM9 adam9 (Catalog #AAA328259) is an Antibody produced from Rabbit and is intended for research purposes only. The product is available for immediate purchase. The Phospho-ADAM9 (Thr761) Antibody reacts with Human, Mouse, Rat Predicted: Pig, Horse, Rabbit and may cross-react with other species as described in the data sheet. AAA Biotech's ADAM9 can be used in a range of immunoassay formats including, but not limited to, ELISA (Peptide ELISA), IHC (Immunohistochemistry), WB (Western Blot). Researchers should empirically determine the suitability of the ADAM9 adam9 for an application not listed in the data sheet. Researchers commonly develop new applications and it is an integral, important part of the investigative research process. It is sometimes possible for the material contained within the vial of "ADAM9, Polyclonal Antibody" to become dispersed throughout the inside of the vial, particularly around the seal of said vial, during shipment and storage. We always suggest centrifuging these vials to consolidate all of the liquid away from the lid and to the bottom of the vial prior to opening. Please be advised that certain products may require dry ice for shipping and that, if this is the case, an additional dry ice fee may also be required.Precautions
All products in the AAA Biotech catalog are strictly for research-use only, and are absolutely not suitable for use in any sort of medical, therapeutic, prophylactic, in-vivo, or diagnostic capacity. By purchasing a product from AAA Biotech, you are explicitly certifying that said products will be properly tested and used in line with industry standard. AAA Biotech and its authorized distribution partners reserve the right to refuse to fulfill any order if we have any indication that a purchaser may be intending to use a product outside of our accepted criteria.Disclaimer
Though we do strive to guarantee the information represented in this datasheet, AAA Biotech cannot be held responsible for any oversights or imprecisions. AAA Biotech reserves the right to adjust any aspect of this datasheet at any time and without notice. It is the responsibility of the customer to inform AAA Biotech of any product performance issues observed or experienced within 30 days of receipt of said product. To see additional details on this or any of our other policies, please see our Terms & Conditions page.Item has been added to Shopping Cart
If you are ready to order, navigate to Shopping Cart and get ready to checkout.
