Rabbit anti-Human ADAMTSL4 Polyclonal Antibody | anti-ADAMTSL4 antibody
ADAMTSL4 Antibody
Gene Names
ADAMTSL4; TSRC1; ECTOL2; ADAMTSL-4
Reactivity
Human
Applications
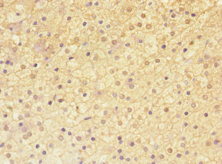
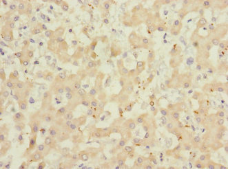
Immunohistochemistry, ELISA
Purity
Antigen Affinity Purified
Synonyms
ADAMTSL4, Antibody; ADAMTSL4 Antibody; ADAMTS-like protein 4; ADAMTSL-4; Thrombospondin repeat-containing protein 1; ADAMTSL4; TSRC1; anti-ADAMTSL4 antibody
Host
Rabbit
Reactivity
Human
Clonality
Polyclonal
Isotype
IgG
Purity/Purification
Antigen Affinity Purified
Form/Format
Liquid
Sequence Length
1035
Applicable Applications for anti-ADAMTSL4 antibody
IHC (Immunohistochemistry), ELISA
Species
Human
Immunogen
Recombinant human ADAMTS-like protein 4 protein (C-280AA)
Conjugate
Non-conjugated
Buffer
PBS with 0.02% sodium azide, 50% glycerol, pH7.3.
Preparation and Storage
Shipped at 4 degree C. Upon delivery aliquot and store at -20 degree C or -80 degree C. Avoid repeated freeze.
Related Product Information for anti-ADAMTSL4 antibody
Positive regulation of apoptosis. May facilitate FBN1 microfibril biogenesis.
NCBI and Uniprot Product Information
NCBI GI #
NCBI GeneID
NCBI Accession #
NCBI GenBank Nucleotide #
Molecular Weight
118,822 Da
NCBI Official Full Name
ADAMTS-like protein 4 isoform 3
NCBI Official Synonym Full Names
ADAMTS like 4
NCBI Official Symbol
ADAMTSL4
NCBI Official Synonym Symbols
TSRC1; ECTOL2; ADAMTSL-4
NCBI Protein Information
ADAMTS-like protein 4
UniProt Protein Name
ADAMTS-like protein 4
UniProt Gene Name
ADAMTSL4
UniProt Synonym Gene Names
; ADAMTSL-4
UniProt Entry Name
ATL4_HUMAN
Customer Reviews
Loading reviews...
Share Your Experience
Similar Products
Product Notes
The ADAMTSL4 adamtsl4 (Catalog #AAA230988) is an Antibody produced from Rabbit and is intended for research purposes only. The product is available for immediate purchase. The ADAMTSL4 Antibody reacts with Human and may cross-react with other species as described in the data sheet. AAA Biotech's ADAMTSL4 can be used in a range of immunoassay formats including, but not limited to, IHC (Immunohistochemistry), ELISA. Researchers should empirically determine the suitability of the ADAMTSL4 adamtsl4 for an application not listed in the data sheet. Researchers commonly develop new applications and it is an integral, important part of the investigative research process. It is sometimes possible for the material contained within the vial of "ADAMTSL4, Polyclonal Antibody" to become dispersed throughout the inside of the vial, particularly around the seal of said vial, during shipment and storage. We always suggest centrifuging these vials to consolidate all of the liquid away from the lid and to the bottom of the vial prior to opening. Please be advised that certain products may require dry ice for shipping and that, if this is the case, an additional dry ice fee may also be required.Precautions
All products in the AAA Biotech catalog are strictly for research-use only, and are absolutely not suitable for use in any sort of medical, therapeutic, prophylactic, in-vivo, or diagnostic capacity. By purchasing a product from AAA Biotech, you are explicitly certifying that said products will be properly tested and used in line with industry standard. AAA Biotech and its authorized distribution partners reserve the right to refuse to fulfill any order if we have any indication that a purchaser may be intending to use a product outside of our accepted criteria.Disclaimer
Though we do strive to guarantee the information represented in this datasheet, AAA Biotech cannot be held responsible for any oversights or imprecisions. AAA Biotech reserves the right to adjust any aspect of this datasheet at any time and without notice. It is the responsibility of the customer to inform AAA Biotech of any product performance issues observed or experienced within 30 days of receipt of said product. To see additional details on this or any of our other policies, please see our Terms & Conditions page.Item has been added to Shopping Cart
If you are ready to order, navigate to Shopping Cart and get ready to checkout.
