Rabbit ADCY5/6 Polyclonal Antibody | anti-ADCY5 antibody
ADCY5/6 Antibody
Phosphate buffered saline, pH 7.4, 150mM NaCl, 0.02% sodium azide and 50% glycerol.
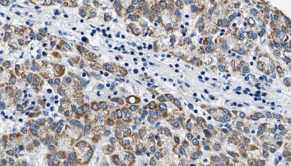
IHC (Immunohiostchemistry)
(AAA324197 at 1/100 staining Human liver cancer tissue by IHC-P. The sample was formaldehyde fixed and a heat mediated antigen retrieval step in citrate buffer was performed. The sample was then blocked and incubated with the antibody for 1.5 hours at 22 degree C. An HRP conjugated goat anti-rabbit antibody was used as the secondary.)
IF (Immunofluorescence)
(AAA324197 staining COLO205 cells by IF/ICC. The sample were fixed with PFA and permeabilized in 0.1% Triton X-100, then blocked in 10% serum for 45 minutes at 25 degree C. The primary antibody was diluted at 1/200 and incubated with the sample for 1 hour at 37 degree C. An Alexa Fluor 594 conjugated goat anti-rabbit IgG (H+L) antibody, diluted at 1/600, was used as secondary antibody.)
Subunit Structure: Interacts with GNAS, GNB1 and GNG2 (PubMed:26206488). Part of a complex containing AKAP5, ADCY6, PDE4C and PKD2 (By similarity). Interacts with RAF1 (PubMed:15385642).
Post-translational Modifications: Phosphorylated by RAF1.
Similarity: The protein contains two modules with six transmembrane helices each; both are required for catalytic activity. Isolated N-terminal or C-terminal guanylate cyclase domains have no catalytic activity, but when they are brought together, enzyme activity is restored. The active site is at the interface of the two domains. Both contribute substrate-binding residues, but the catalytic metal ions are bound exclusively via the N-terminal guanylate cyclase domain. Belongs to the adenylyl cyclase class-4/guanylyl cyclase family.
NCBI and Uniprot Product Information
Predicted: 139 kDa
Customer Reviews
Loading reviews...
Share Your Experience
Similar Products
Product Notes
The ADCY5 adcy5 (Catalog #AAA324197) is an Antibody produced from Rabbit and is intended for research purposes only. The product is available for immediate purchase. The ADCY5/6 Antibody reacts with Human, Mouse, Rat and may cross-react with other species as described in the data sheet. AAA Biotech's ADCY5/6 can be used in a range of immunoassay formats including, but not limited to, ELISA, ICC (Immunocytochemistry), IF (Immunofluorescence), IHC (Immunohistochemistry), WB (Western Blot). Researchers should empirically determine the suitability of the ADCY5 adcy5 for an application not listed in the data sheet. Researchers commonly develop new applications and it is an integral, important part of the investigative research process. It is sometimes possible for the material contained within the vial of "ADCY5/6, Polyclonal Antibody" to become dispersed throughout the inside of the vial, particularly around the seal of said vial, during shipment and storage. We always suggest centrifuging these vials to consolidate all of the liquid away from the lid and to the bottom of the vial prior to opening. Please be advised that certain products may require dry ice for shipping and that, if this is the case, an additional dry ice fee may also be required.Precautions
All products in the AAA Biotech catalog are strictly for research-use only, and are absolutely not suitable for use in any sort of medical, therapeutic, prophylactic, in-vivo, or diagnostic capacity. By purchasing a product from AAA Biotech, you are explicitly certifying that said products will be properly tested and used in line with industry standard. AAA Biotech and its authorized distribution partners reserve the right to refuse to fulfill any order if we have any indication that a purchaser may be intending to use a product outside of our accepted criteria.Disclaimer
Though we do strive to guarantee the information represented in this datasheet, AAA Biotech cannot be held responsible for any oversights or imprecisions. AAA Biotech reserves the right to adjust any aspect of this datasheet at any time and without notice. It is the responsibility of the customer to inform AAA Biotech of any product performance issues observed or experienced within 30 days of receipt of said product. To see additional details on this or any of our other policies, please see our Terms & Conditions page.Item has been added to Shopping Cart
If you are ready to order, navigate to Shopping Cart and get ready to checkout.
