Rabbit anti-Human Adiponectin Polyclonal Antibody | anti-ADIPOQ antibody
Anti-Adiponectin antibody
WB (Western Blot)
(Anti- Adiponectin antibody, AAA45633,Western blottingAll lanes: Anti Adiponectin (AAA45633) at 0.5ug/mlLane 1: Human Placenta Tissue Lysate at 50ugLane 2: HELA Whole Cell Lysate at 40ugLane 3: JURKAT Whole Cell Lysate at 40ugPredicted bind size: 30KDObserved bind size: 30KD)
IHC (Immunohistochemisry)
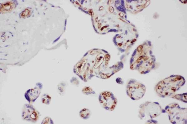
(Anti- Adiponectin antibody, AAA45633, IHC(P)IHC(P): Human Placenta Tissue)
IHC (Immunohiostchemistry)
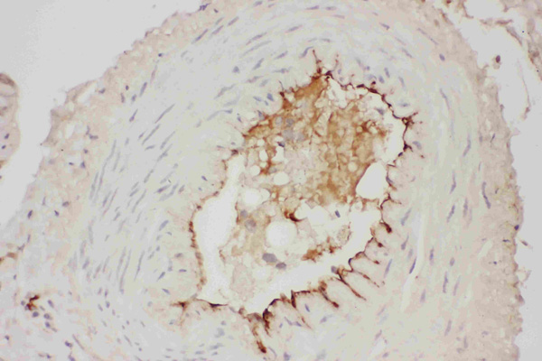
(Anti- Adiponectin antibody, AAA45633, IHC(P)IHC(P): Human Mammary Cancer Tissue)
IHC (Immunohistochemistry)
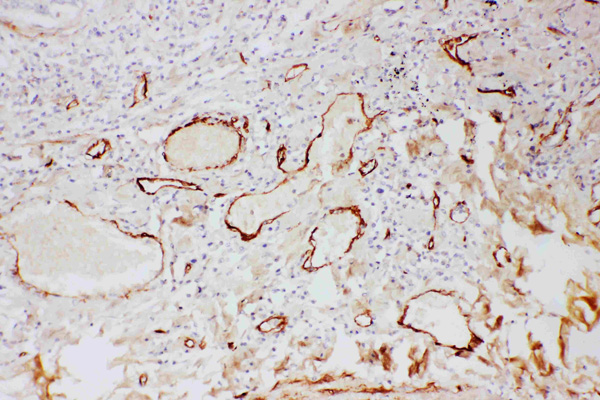
(Anti- Adiponectin antibody, AAA45633, IHC(P)IHC(P): Human Lung Cancer Tissue)
Background: ADIPOQ (Adipocyte-, C1q-, and Collagen Domain-Containing),also known as APM1, ADPN or ACDC, is a protein which in humans is encoded by the ADIPOQ gene. Using FISH, Das et al. (2001) mapped the mouse Acrp30 gene to chromosome 16 in a region showing homology of synteny with human 3q27. By RNase protection and Western blot analysis, Schaffler et al. (1999) showed that APM1 is expressed by differentiated adipocytes as a 33-kD protein that is also detectable in serum. By sequence comparisons, they found links between APM1 and TNF family ligands as well as to cytokines expressed by T cells. Adiponectin is a protein hormone that modulates a number of metabolic processes, including glucose regulation and fatty acid oxidation. Adiponectin is exclusively secreted from adipose tissue (and also from the placenta in pregnancy) into the bloodstream and is very abundant in plasma relative to many hormones.
NCBI and Uniprot Product Information
Customer Reviews
Loading reviews...
Share Your Experience
Similar Products
Product Notes
The ADIPOQ adipoq (Catalog #AAA45633) is an Antibody produced from Rabbit and is intended for research purposes only. The product is available for immediate purchase. The Anti-Adiponectin antibody reacts with Human and may cross-react with other species as described in the data sheet. AAA Biotech's Adiponectin can be used in a range of immunoassay formats including, but not limited to, IHC (Immunohistochemistry), WB (Western Blot). Researchers should empirically determine the suitability of the ADIPOQ adipoq for an application not listed in the data sheet. Researchers commonly develop new applications and it is an integral, important part of the investigative research process. It is sometimes possible for the material contained within the vial of "Adiponectin, Polyclonal Antibody" to become dispersed throughout the inside of the vial, particularly around the seal of said vial, during shipment and storage. We always suggest centrifuging these vials to consolidate all of the liquid away from the lid and to the bottom of the vial prior to opening. Please be advised that certain products may require dry ice for shipping and that, if this is the case, an additional dry ice fee may also be required.Precautions
All products in the AAA Biotech catalog are strictly for research-use only, and are absolutely not suitable for use in any sort of medical, therapeutic, prophylactic, in-vivo, or diagnostic capacity. By purchasing a product from AAA Biotech, you are explicitly certifying that said products will be properly tested and used in line with industry standard. AAA Biotech and its authorized distribution partners reserve the right to refuse to fulfill any order if we have any indication that a purchaser may be intending to use a product outside of our accepted criteria.Disclaimer
Though we do strive to guarantee the information represented in this datasheet, AAA Biotech cannot be held responsible for any oversights or imprecisions. AAA Biotech reserves the right to adjust any aspect of this datasheet at any time and without notice. It is the responsibility of the customer to inform AAA Biotech of any product performance issues observed or experienced within 30 days of receipt of said product. To see additional details on this or any of our other policies, please see our Terms & Conditions page.Item has been added to Shopping Cart
If you are ready to order, navigate to Shopping Cart and get ready to checkout.
