Rabbit Adrenergic Receptor beta2 Polyclonal Antibody | anti-ADRB2 antibody
Phospho-Adrenergic Receptor beta2 (Thr68) Antibody
Predicted: Pig, Bovine, Horse, Rabbit, Dog, Xenopus
Predicted: Pig, Bovine, Horse, Rabbit, Dog, Xenopus
WB (Western Blot)
(Western blot analysis of Phospho-Adrenergic Receptor beta2 (Thr68) in lysates of HuvEc serum 20% 15' , using Phospho-Adrenergic Receptor beta2 (Thr68) Antibody.)
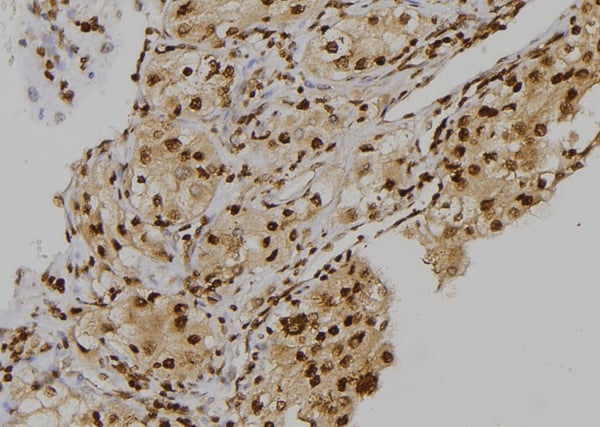
IHC (Immunohistochemistry)
(At 1/100 staining human kidney tissue sections by IHC-P. The tissue was formaldehyde fixed and a heat mediated antigen retrieval step in citrate buffer was performed. The tissue was then blocked and incubated with the antibody for 1.5 hours at 22 degree C. An HRP conjugated goat anti-rabbit antibody was used as the secondary)
Post Translational Modifications: Palmitoylated; may reduce accessibility of Ser-345 and Ser-346 by anchoring Cys-341 to the plasma membrane. Agonist stimulation promotes depalmitoylation and further allows Ser-345 and Ser-346 phosphorylation. Phosphorylated by PKA and BARK upon agonist stimulation, which mediates homologous desensitization of the receptor. PKA-mediated phosphorylation seems to facilitate phosphorylation by BARK. Phosphorylation of Tyr-141 is induced by insulin and leads to supersensitization of the receptor. Polyubiquitinated. Agonist-induced ubiquitination leads to sort internalized receptors to the lysosomes for degradation (PubMed:19424180, PubMed:20559325). Deubiquitination by USP20 and USP33, leads to ADRB2 recycling and resensitization after prolonged agonist stimulation. USP20 and USP33 are constitutively associated and are dissociated immediately after agonist stimulation. Ubiquitination by the VHL-E3 ligase complex is oxygen-dependent. Hydroxylation by EGLN3 occurs only under normoxia and increases the interaction with VHL and the subsequent ubiquitination and degradation of ADRB2.
Subunit Structure: Binds SLC9A3R1 and GPRASP1. Interacts with ARRB1 and ARRB2. Interacts with SRC, USP20 and USP33. Interacts with VHL; the interaction, which is increased on hydroxylation of ADRB2, ubiquitinates ADRB2 leading to its degradation. Interacts with EGLN3; the interaction hydroxylates ADRB2 facilitating VHL-E3 ligase-mediated ubiquitination. Interacts (via PDZ-binding motif) with SNX27 (via PDZ domain); the interaction is required when endocytosed to prevent degradation in lysosomes and promote recycling to the plasma membrane. Interacts with CNIH4 (PubMed:24405750). Interacts with ARRDC3 (PubMed:20559325, PubMed:25220262).
Similarity: Belongs to the G-protein coupled receptor 1 family. Adrenergic receptor subfamily. ADRB2 sub-subfamily.
NCBI and Uniprot Product Information
Predicted: 47 kDa
Customer Reviews
Loading reviews...
Share Your Experience
Similar Products
Product Notes
The ADRB2 adrb2 (Catalog #AAA328369) is an Antibody produced from Rabbit and is intended for research purposes only. The product is available for immediate purchase. The Phospho-Adrenergic Receptor beta2 (Thr68) Antibody reacts with Human, Mouse, Rat Predicted: Pig, Bovine, Horse, Rabbit, Dog, Xenopus and may cross-react with other species as described in the data sheet. AAA Biotech's Adrenergic Receptor beta2 can be used in a range of immunoassay formats including, but not limited to, ELISA (Peptide ELISA), IHC (Immunohistochemistry), WB (Western Blot). Researchers should empirically determine the suitability of the ADRB2 adrb2 for an application not listed in the data sheet. Researchers commonly develop new applications and it is an integral, important part of the investigative research process. It is sometimes possible for the material contained within the vial of "Adrenergic Receptor beta2, Polyclonal Antibody" to become dispersed throughout the inside of the vial, particularly around the seal of said vial, during shipment and storage. We always suggest centrifuging these vials to consolidate all of the liquid away from the lid and to the bottom of the vial prior to opening. Please be advised that certain products may require dry ice for shipping and that, if this is the case, an additional dry ice fee may also be required.Precautions
All products in the AAA Biotech catalog are strictly for research-use only, and are absolutely not suitable for use in any sort of medical, therapeutic, prophylactic, in-vivo, or diagnostic capacity. By purchasing a product from AAA Biotech, you are explicitly certifying that said products will be properly tested and used in line with industry standard. AAA Biotech and its authorized distribution partners reserve the right to refuse to fulfill any order if we have any indication that a purchaser may be intending to use a product outside of our accepted criteria.Disclaimer
Though we do strive to guarantee the information represented in this datasheet, AAA Biotech cannot be held responsible for any oversights or imprecisions. AAA Biotech reserves the right to adjust any aspect of this datasheet at any time and without notice. It is the responsibility of the customer to inform AAA Biotech of any product performance issues observed or experienced within 30 days of receipt of said product. To see additional details on this or any of our other policies, please see our Terms & Conditions page.Item has been added to Shopping Cart
If you are ready to order, navigate to Shopping Cart and get ready to checkout.
