Rabbit anti-Human, Mouse AGBL1 Polyclonal Antibody | anti-AGBL1 antibody
AGBL1 Antibody
Gene Names
AGBL1; CCP4; FECD8
Reactivity
Human, Mouse
Applications
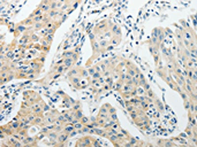
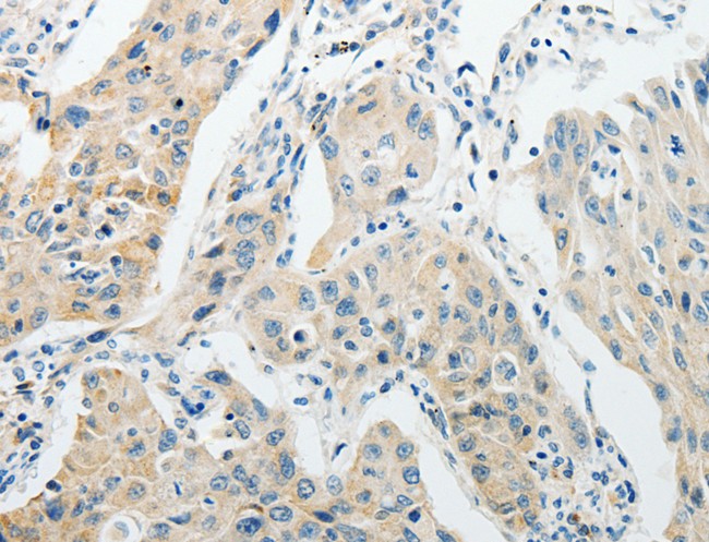
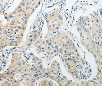
Immunohistochemistry
Purity
Antigen affinity purification.
Synonyms
AGBL1, Antibody; AGBL1 Antibody; CBPC4; CCP4; FLJ32310; MGC149239; anti-AGBL1 antibody
Host
Rabbit
Reactivity
Human, Mouse
Clonality
Polyclonal
Specificity
The antibody detects endogenous levels of total AGBL1 protein.
Purity/Purification
Antigen affinity purification.
Form/Format
Rabbit IgG in pH7.3 PBS, 0.05% NaN3, 50% Glycerol.
Concentration
0.5 mg/ml (varies by lot)
Sequence Length
1066
Applicable Applications for anti-AGBL1 antibody
IHC (Immunohistochemistry)
Immunogen Type
Peptide
Immunogen Description
Synthetic peptide corresponding to residues near the N terminal of human ATP/GTP binding protein-like 1
Target Name
AGBL1
Preparation and Storage
Store at -20 degree C
Related Product Information for anti-AGBL1 antibody
Metallocarboxypeptidase that mediates deglutamylation of target proteins. Catalyzes the deglutamylation of polyglutamate side chains generated by post-translational polyglutamylation in proteins such as tubulins. Also removes gene-encoded polyglutamates from the carboxy-terminus of target proteins such as MYLK. Acts as a long-chain deglutamylase and specifically shortens long polyglutamate chains, while it is not able to remove the branching point glutamate, a process catalyzed by AGBL5/CCP5.
Product Categories/Family for anti-AGBL1 antibody
NCBI and Uniprot Product Information
NCBI GI #
NCBI GeneID
NCBI Accession #
NCBI GenBank Nucleotide #
Molecular Weight
90,789 Da
NCBI Official Full Name
cytosolic carboxypeptidase 4
NCBI Official Synonym Full Names
ATP/GTP binding protein-like 1
NCBI Official Symbol
AGBL1
NCBI Official Synonym Symbols
CCP4; FECD8
NCBI Protein Information
cytosolic carboxypeptidase 4
UniProt Protein Name
Cytosolic carboxypeptidase 4
UniProt Gene Name
AGBL1
UniProt Synonym Gene Names
CCP4
UniProt Entry Name
CBPC4_HUMAN
Customer Reviews
Loading reviews...
Share Your Experience
Similar Products
Product Notes
The AGBL1 agbl1 (Catalog #AAA304733) is an Antibody produced from Rabbit and is intended for research purposes only. The product is available for immediate purchase. The AGBL1 Antibody reacts with Human, Mouse and may cross-react with other species as described in the data sheet. AAA Biotech's AGBL1 can be used in a range of immunoassay formats including, but not limited to, IHC (Immunohistochemistry). Researchers should empirically determine the suitability of the AGBL1 agbl1 for an application not listed in the data sheet. Researchers commonly develop new applications and it is an integral, important part of the investigative research process. It is sometimes possible for the material contained within the vial of "AGBL1, Polyclonal Antibody" to become dispersed throughout the inside of the vial, particularly around the seal of said vial, during shipment and storage. We always suggest centrifuging these vials to consolidate all of the liquid away from the lid and to the bottom of the vial prior to opening. Please be advised that certain products may require dry ice for shipping and that, if this is the case, an additional dry ice fee may also be required.Precautions
All products in the AAA Biotech catalog are strictly for research-use only, and are absolutely not suitable for use in any sort of medical, therapeutic, prophylactic, in-vivo, or diagnostic capacity. By purchasing a product from AAA Biotech, you are explicitly certifying that said products will be properly tested and used in line with industry standard. AAA Biotech and its authorized distribution partners reserve the right to refuse to fulfill any order if we have any indication that a purchaser may be intending to use a product outside of our accepted criteria.Disclaimer
Though we do strive to guarantee the information represented in this datasheet, AAA Biotech cannot be held responsible for any oversights or imprecisions. AAA Biotech reserves the right to adjust any aspect of this datasheet at any time and without notice. It is the responsibility of the customer to inform AAA Biotech of any product performance issues observed or experienced within 30 days of receipt of said product. To see additional details on this or any of our other policies, please see our Terms & Conditions page.Item has been added to Shopping Cart
If you are ready to order, navigate to Shopping Cart and get ready to checkout.
