Rabbit AGPAT2 Polyclonal Antibody | anti-AGPAT2 antibody
AGPAT2 antibody - C-terminal region
WB (Western Blot)
(WB Suggested Anti-AGPAT2 AntibodyTitration: 1.0 ug/mlPositive Control: 721_B Whole Cell)
IHC (Immunohiostchemistry)
(Rabbit Anti-AGPAT2 antibodyFormalin Fixed Paraffin Embedded Tissue: Human Adult HeartObserved Staining: Cytoplasm in hepatocytesPrimary Antibody Concentration: 1:600Secondary Antibody: Donkey anti-Rabbit-Cy3Secondary Antibody Concentration: 1:200Magnification: 20XExposure Time: 0.5 - 2.0 sec)
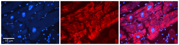
IHC (Immunohistochemistry)
(Rabbit Anti-AGPAT2 AntibodyFormalin Fixed Paraffin Embedded Tissue: Human heart TissueObserved Staining: CytoplasmicPrimary Antibody Concentration: N/AOther Working Concentrations: 1:600Secondary Antibody: Donkey anti-Rabbit-Cy3Secondary Antibody Concentration: 1:200Magnification: 20XExposure Time: 0.5 - 2.0 sec)
Target Description: AGPAT2 is a member of the 1-acylglycerol-3-phosphate O-acyltransferase family. The protein is located within the endoplasmic reticulum membrane and converts lysophosphatidic acid to phosphatidic acid, the second step in de novo phospholipid biosynthesis. Mutations in its gene have been associated with congenital generalized lipodystrophy (CGL), or Berardinelli-Seip syndrome, a disease characterized by a near absence of adipose tissue and severe insulin resistance.
NCBI and Uniprot Product Information
Customer Reviews
Loading reviews...
Share Your Experience
Similar Products
Product Notes
The AGPAT2 agpat2 (Catalog #AAA199469) is an Antibody produced from Rabbit and is intended for research purposes only. The product is available for immediate purchase. The AGPAT2 antibody - C-terminal region reacts with Cow, Dog, Horse, Human, Yeast and may cross-react with other species as described in the data sheet. AAA Biotech's AGPAT2 can be used in a range of immunoassay formats including, but not limited to, IHC (Immunohistochemistry), WB (Western Blot). Researchers should empirically determine the suitability of the AGPAT2 agpat2 for an application not listed in the data sheet. Researchers commonly develop new applications and it is an integral, important part of the investigative research process. The amino acid sequence is listed below: Synthetic peptide located within the following region: QVPIVPVVYS SFSSFYNTKK KFFTSGTVTV QVLEAIPTSG LTAADVPALV. It is sometimes possible for the material contained within the vial of "AGPAT2, Polyclonal Antibody" to become dispersed throughout the inside of the vial, particularly around the seal of said vial, during shipment and storage. We always suggest centrifuging these vials to consolidate all of the liquid away from the lid and to the bottom of the vial prior to opening. Please be advised that certain products may require dry ice for shipping and that, if this is the case, an additional dry ice fee may also be required.Precautions
All products in the AAA Biotech catalog are strictly for research-use only, and are absolutely not suitable for use in any sort of medical, therapeutic, prophylactic, in-vivo, or diagnostic capacity. By purchasing a product from AAA Biotech, you are explicitly certifying that said products will be properly tested and used in line with industry standard. AAA Biotech and its authorized distribution partners reserve the right to refuse to fulfill any order if we have any indication that a purchaser may be intending to use a product outside of our accepted criteria.Disclaimer
Though we do strive to guarantee the information represented in this datasheet, AAA Biotech cannot be held responsible for any oversights or imprecisions. AAA Biotech reserves the right to adjust any aspect of this datasheet at any time and without notice. It is the responsibility of the customer to inform AAA Biotech of any product performance issues observed or experienced within 30 days of receipt of said product. To see additional details on this or any of our other policies, please see our Terms & Conditions page.Item has been added to Shopping Cart
If you are ready to order, navigate to Shopping Cart and get ready to checkout.
